裏側矯正

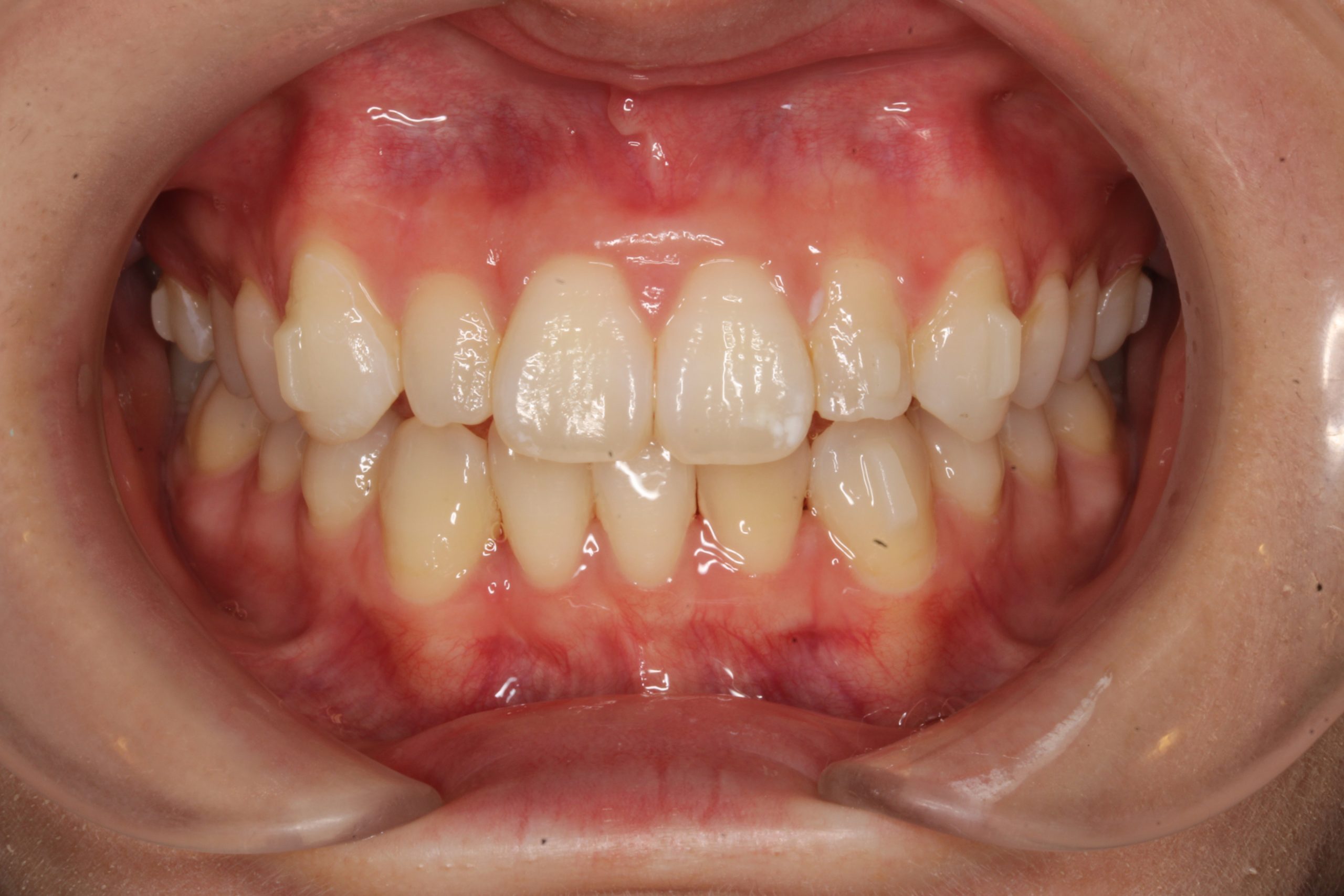
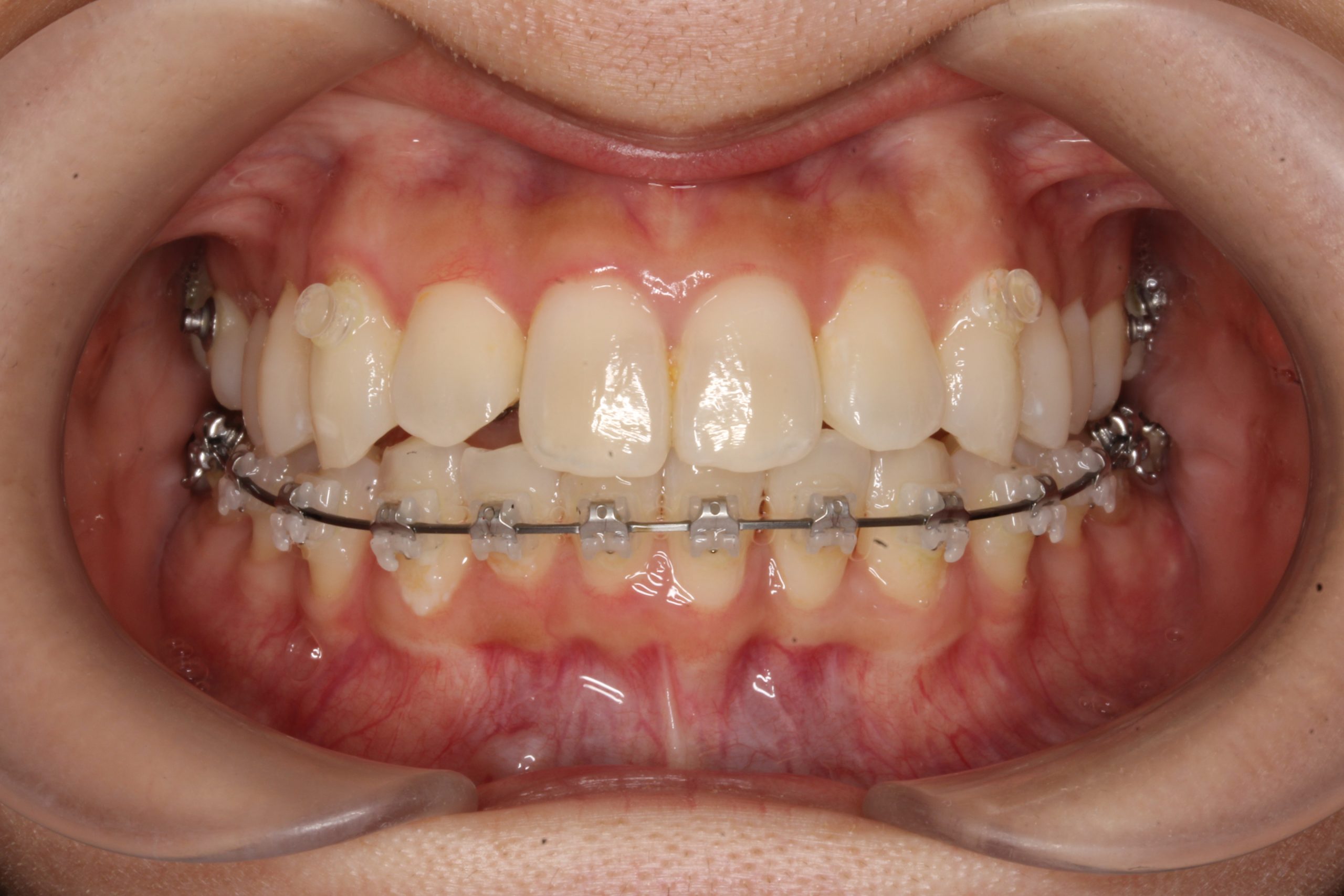
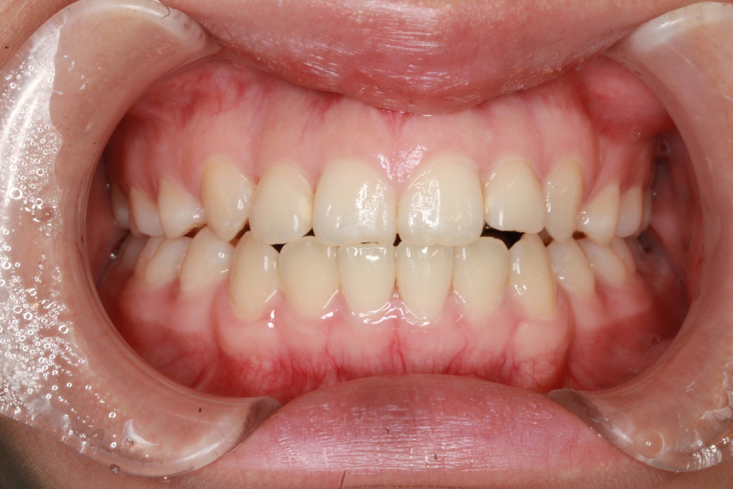
受け口を治したい(治療期間:1年3か月 治療回数:13回)

年齢層 30代
性別 女性
主訴 【主訴】受け口を治したい【診断・症状】上下凸凹
治療費用 検査・診断:税込38,500円/裏側矯正治療(リンガル矯正):税込1,397,000円
治療期間 1年3か月(13回)
抜歯 非抜歯
矯正の装置 リンガル矯正
副作用・リスク 歯肉退縮,歯根吸収,疼痛,咬合の違和感,装置の違和感,虫歯,歯肉炎
歯の凸凹を治したい‐リンガルの症例

Before

歯の凸凹を治したい‐リンガルの症例

After

詳しく見る


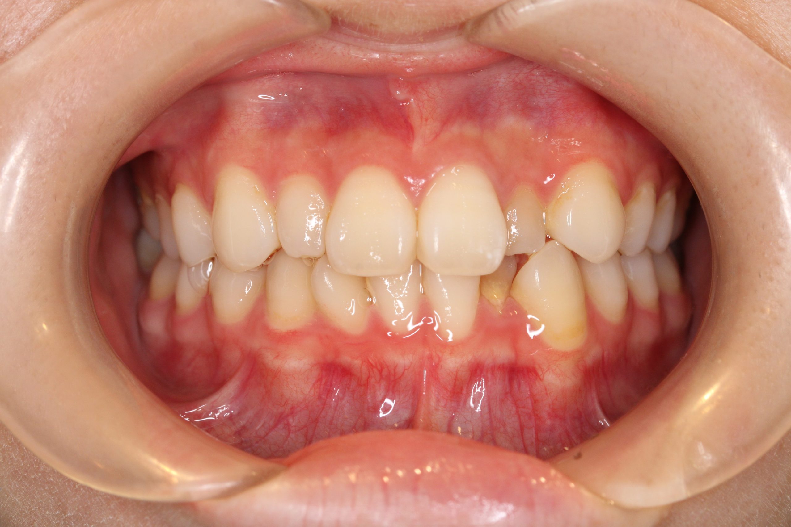
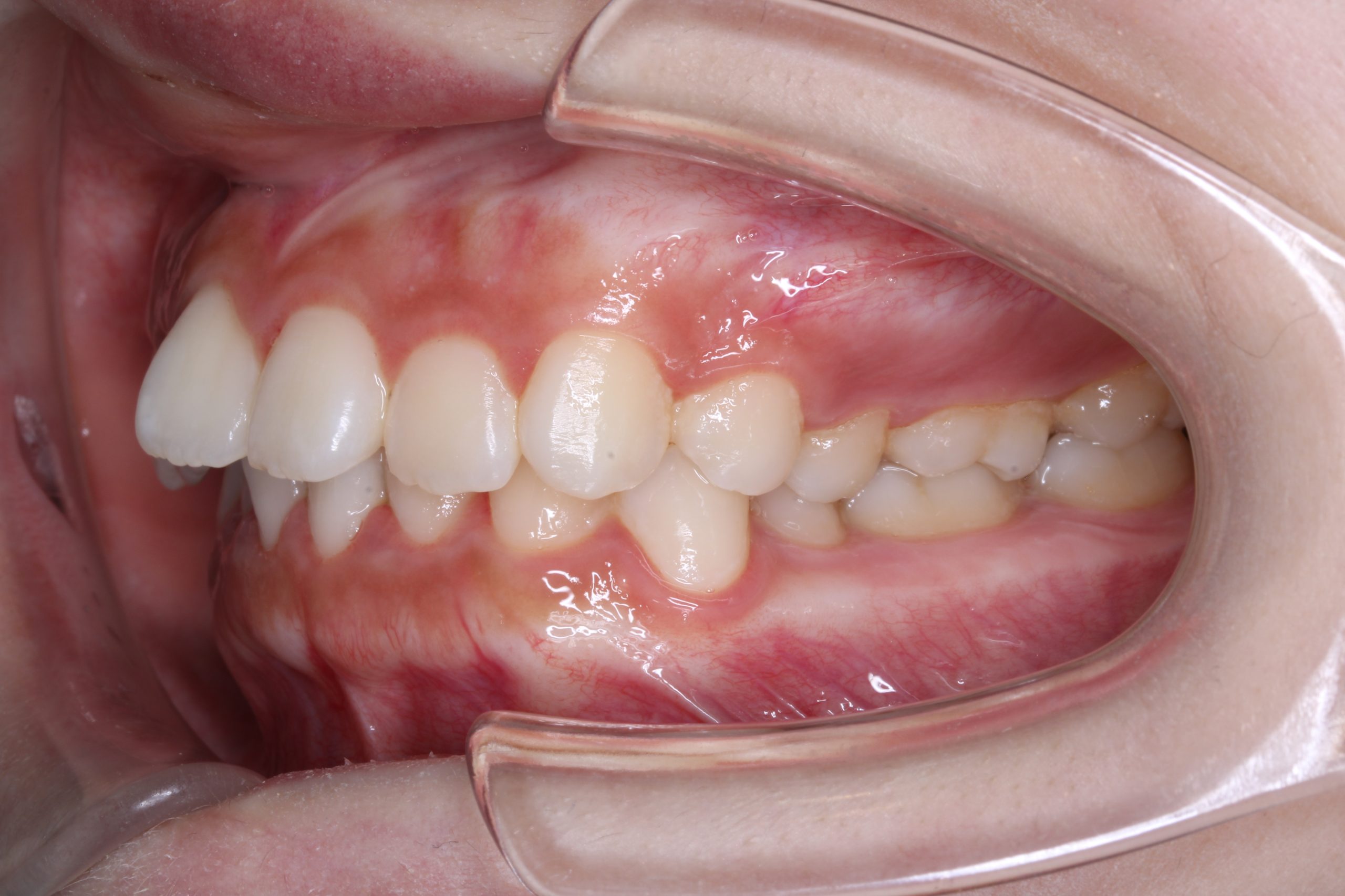
八重歯を治したい(治療期間:2年7か月/治療回数28回)

年齢層 20代
性別 女性
主訴 【主訴】八重歯が気になる 【診断・症状】上下凸凹
治療費用 検査・診断:税込38,500円/裏側矯正治療(リンガル矯正):税込1,397,000円
治療期間 2年7か月(28回)
抜歯 有(上4,5)(下4,4)
矯正の装置 リンガル矯正
副作用・リスク 歯肉退縮,歯根吸収,疼痛,咬合の違和感,装置の違和感,虫歯,歯肉炎
八重歯を治したい₋リンガルの症例

Before

八重歯を治したい₋リンガルの症例

After

詳しく見る


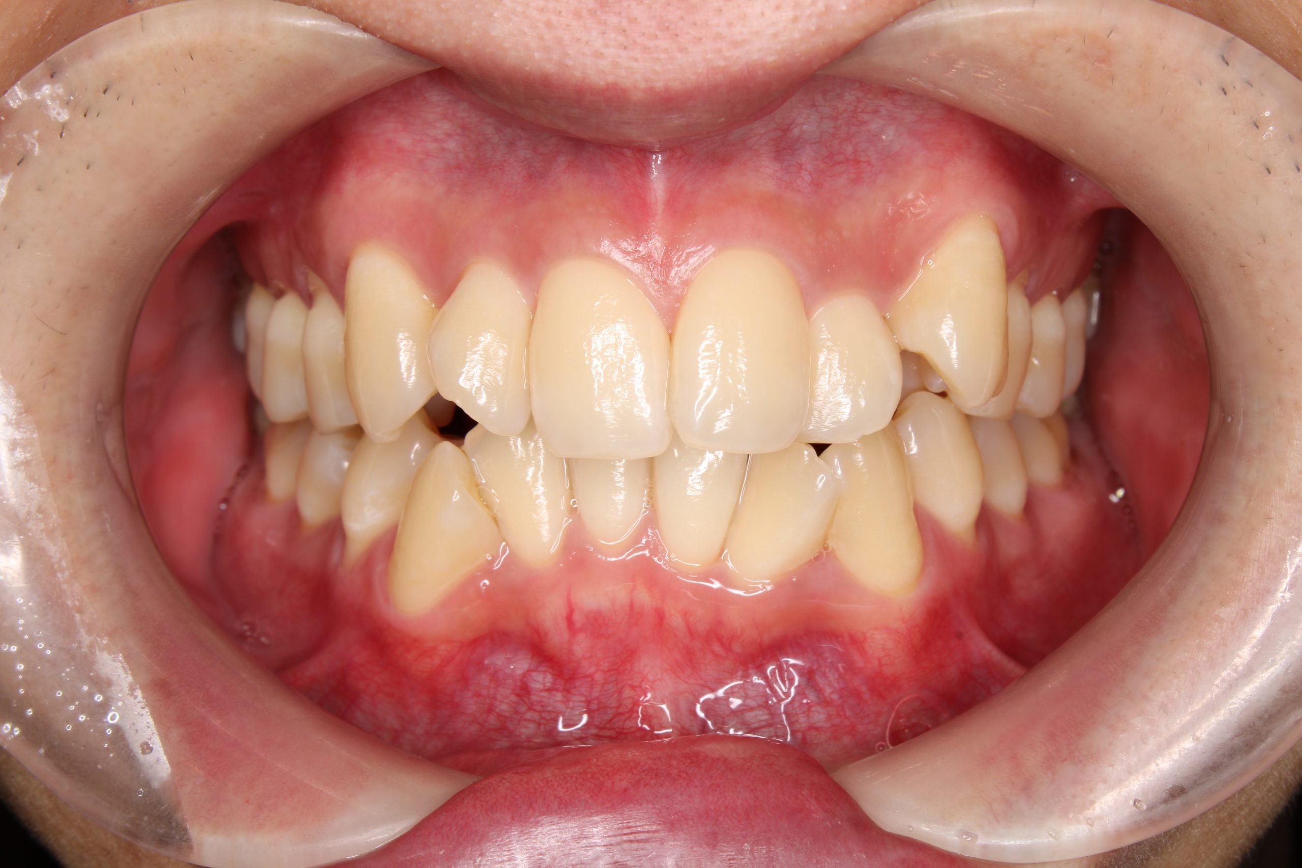
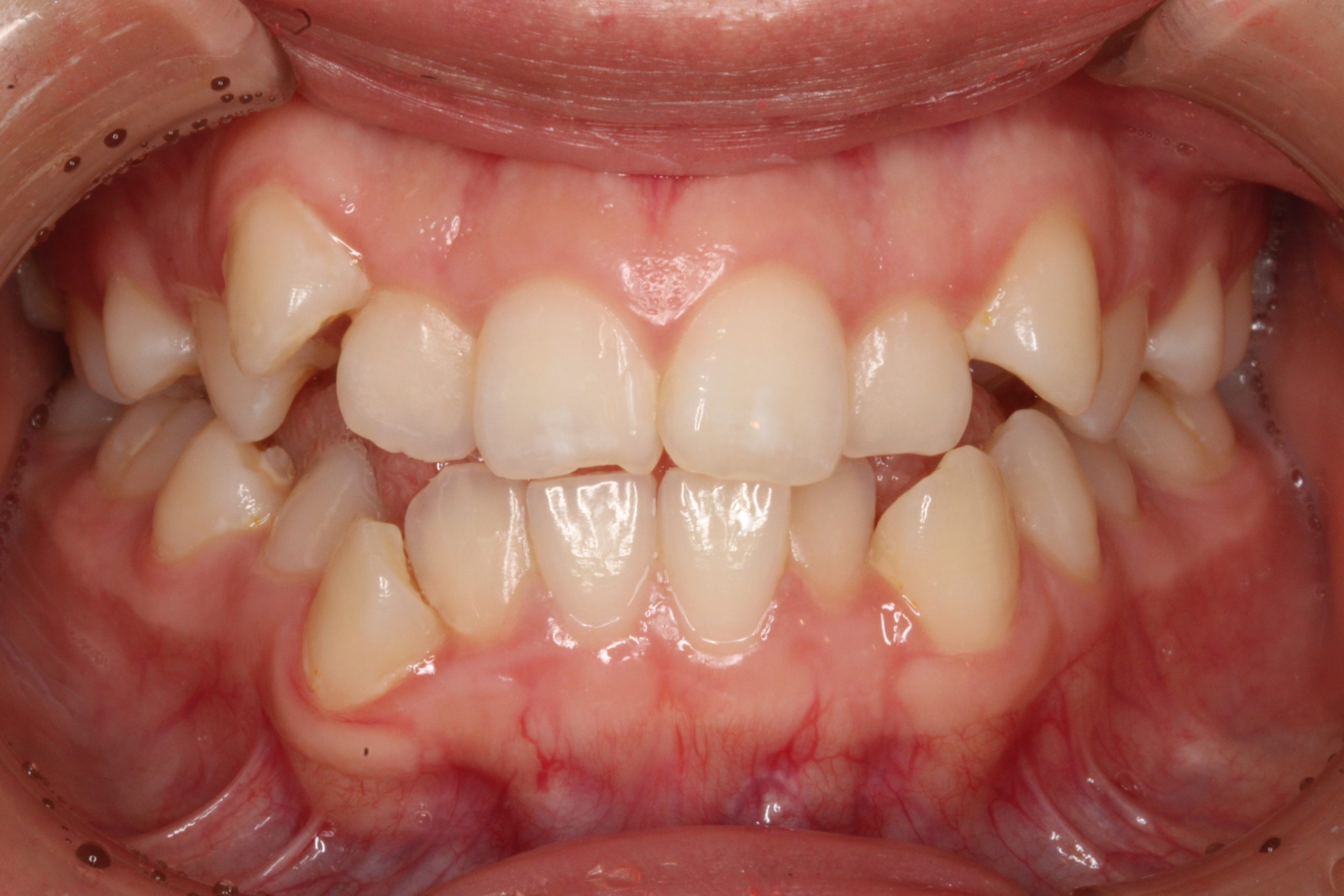
歯の凸凹を治したい(治療期間:2年1か月/治療回数28回)

年齢層 30代
性別 男性
主訴 【主訴】歯の凸凹を治したい 【診断・症状】上下凸凹
治療費用 検査・診断:税込38,500円/裏側矯正治療(リンガル矯正):税込1,397,000円
治療期間 2年1か月(21回)
抜歯 有(上4,4)(下5,5)
矯正の装置 リンガル矯正
副作用・リスク 歯肉退縮,歯根吸収,疼痛,咬合の違和感,装置の違和感,虫歯,歯肉炎
歯の凸凹を治したい‐リンガルの症例

Before

歯の凸凹を治したい‐リンガルの症例

After

詳しく見る


出っ歯を治したい(治療期間:2年6か月/治療回数:26回)

年齢層 20代
性別 女性
主訴 【主訴】上の歯が出ている 【診断・症状】出っ歯(上顎前突)
治療費用 検査・診断:税込38,500円/裏側矯正治療(リンガル矯正):税込1,397,000円
治療期間 2年6か月(26回)
抜歯 有(上4,4)(下5,5)
矯正の装置 リンガル矯正
副作用・リスク 歯肉退縮,歯根吸収,疼痛,咬合の違和感,装置の違和感,虫歯,歯肉炎
出っ歯を治したい‐リンガルの症例

Before

出っ歯を治したい‐リンガルの症例

After

詳しく見る


歯の凸凹を治したい(治療期間:治療回数20回)

年齢層 20代
性別 女性
主訴 【主訴】歯の凸凹を治したい 【診断・症状】上下凸凹、出っ歯(上顎前突)
治療費用 検査・診断:税込38,500円/裏側矯正治療(リンガル矯正):税込1,397,000円
治療期間 1年9か月(27回)
抜歯
矯正の装置 リンガル矯正
副作用・リスク 歯肉退縮,歯根吸収,疼痛,咬合の違和感,装置の違和感,虫歯,歯肉炎
歯の凸凹を治したい‐リンガルの症例

Before

歯の凸凹を治したい‐リンガルの症例

After

詳しく見る


歯の凸凹を治したい(治療期間:1年11か月/通院期間22回)

年齢層 20代
性別 女性
主訴 【主訴】歯の凸凹を治したい 【診断・症状】上下凸凹
治療費用 検査・診断:税込38,500円/裏側矯正治療(リンガル矯正):税込1,397,000円
治療期間 1年11か月(22回)
抜歯 有(上5,5)(下5,5)
矯正の装置 裏側矯正(舌側矯正)
副作用・リスク 歯肉退縮,歯根吸収,疼痛,咬合の違和感,装置の違和感,虫歯,歯肉炎
歯の凸凹を治したい₋リンガルの症例

Before

歯の凸凹を治したい₋リンガルの症例

After

詳しく見る


歯の凸凹を治したい(治療期間:2年11か月/通院期間35回)

年齢層 30代
性別 女性
主訴 【主訴】歯の凸凹を治したい 【診断・症状】上凸凹
治療費用 検査・診断:税込38,500円/裏側矯正治療(リンガル矯正):税込1,397,000円
治療期間 2年11か月(35回)
抜歯 有(上4,4)(下右5)
矯正の装置 リンガル矯正
副作用・リスク 歯肉退縮,歯根吸収,疼痛,咬合の違和感,装置の違和感,虫歯,歯肉炎
出っ歯を治したい₋リンガルの症例

Before

出っ歯を治したい₋リンガルの症例

After

詳しく見る


歯の凸凹を治したい(通院期間:7カ月/通院9回)

年齢層 30代
性別 女性
主訴 【主訴】歯の凸凹を治したい 【診断・症状】上下凸凹
治療費用 検査・診断:税込38,500円/裏側矯正治療(リンガル矯正):税込1,397,000円
治療期間 7か月(9回)
抜歯 無(非抜歯)
矯正の装置 リンガル矯正
副作用・リスク 歯肉退縮,歯根吸収,疼痛,咬合の違和感,装置の違和感,虫歯,歯肉炎
歯の凸凹を治したい‐リンガルの症例

Before

歯の凸凹を治したい‐リンガルの症例

After

詳しく見る


かみ合わせを治したい(通院期間:1年4か月/通院17回)

年齢層 20代
性別 女性
主訴 【主訴】かみ合わせが深い【診断・症状】過蓋咬合 
治療費用 検査・診断:税込38,500円/裏側矯正治療(リンガル矯正):税込1,397,000円
治療期間 1年4か月(17回)
抜歯 無(非抜歯)
矯正の装置 リンガル矯正
副作用・リスク 歯肉退縮,歯根吸収,疼痛,咬合の違和感,装置の違和感,虫歯,歯肉炎
かみ合わせを治したい₋リンガルの症例

Before

かみ合わせを治したい₋リンガルの症例

After

詳しく見る


かみ合わせを治したい(治療期間:1年4カ月/通院17回)

年齢層 30代
性別 女性
主訴 【主訴】かみ合わせが深い【診断・症状】過蓋咬合
治療費用 検査・診断:税込38,500円/裏側矯正治療(リンガル矯正):税込1,397,000円
治療期間 1年4カ月(17回)
抜歯 非抜歯
矯正の装置 裏側矯正(舌側矯正)
副作用・リスク 歯肉退縮,歯根吸収,疼痛,咬合の違和感,装置の違和感,虫歯,歯肉炎
かみ合わせを直したい・リンガルの症例

Before

かみ合わせを治したい・リンガルの症例

After

詳しく見る


歯の凸凹を治したい(治療期間:1年/通院14回)

年齢層 20代
性別 女性
主訴 【主訴】歯の凸凹を治したい【診断・症状】上下凸凹
治療費用 検査・診断:税込38,500円/裏側矯正治療(リンガル矯正):税込1,397,000円
治療期間 1年(14回)
抜歯 有(上2,2)(下5,5)
矯正の装置 裏側矯正(舌側矯正)
副作用・リスク 歯肉退縮,歯根吸収,疼痛,咬合の違和感,装置の違和感,虫歯,歯肉炎
歯の凸凹を治したい・リンガルの症例

Before

歯の凸凹を治したい・リンガルの症例

After

詳しく見る


出っ歯を治したい(治療期間:1年6か月/通院18回)

年齢層 20代
性別 男性
主訴 【主訴】出っ歯を治したい 【診断・症状】上下凸凹、出っ歯(上顎前突)
治療費用 検査・診断:税込38,500円/裏側矯正治療(リンガル矯正):税込1,397,000円
治療期間 1年6か月(18回)
抜歯 有(上4,4)(下4,4)
矯正の装置 裏側矯正(舌側矯正)
副作用・リスク 歯肉退縮,歯根吸収,疼痛,咬合の違和感,装置の違和感,虫歯,歯肉炎
前歯の前突・リンガルの症例

Before

前歯の前突・リンガルの症例

After

詳しく見る


噛み合わせが深い(治療期間:1年/通院11回)

年齢層 30代
性別 女性
主訴 【主訴】噛み合わせが深い 【診断・症状】過蓋咬合
治療費用 検査・診断:税込38,500円/裏側矯正治療(リンガル矯正):税込1,397,000円
治療期間 1年(11回)
抜歯
矯正の装置 リンガル矯正
副作用・リスク 歯肉退縮,歯根吸収,疼痛,咬合の違和感,装置の違和感,虫歯,歯肉炎
噛み合わせが深い・裏側矯正の症例

Before

噛み合わせが深い・裏側矯正の症例

After

詳しく見る


出っ歯を治したい(治療期間:1年7か月/通院19回)

年齢層 20代
性別 女性
主訴 【主訴】出っ歯を治したい 【診断・症状】出っ歯(上顎前突)
治療費用 検査・診断:税込38,500円/裏側矯正治療(リンガル矯正):税込1,397,000円
治療期間 1年7か月(19回)
抜歯 有(上4,4)
矯正の装置 リンガル矯正
副作用・リスク 歯肉退縮,歯根吸収,疼痛,咬合の違和感,装置の違和感,虫歯,歯肉炎
出っ歯・裏側矯正の症例

Before

出っ歯・裏側矯正の症例

After

詳しく見る


嚙み合わせが深い

年齢層 20代
性別 女性
主訴 【主訴】かみ合わせが深い・歯の凸凹を治したい【診断・症状】過蓋咬合・上下凸凹
治療費用 検査・診断:税込38,500円/裏側矯正治療(リンガル矯正):税込1,397,000円
治療期間 1年7か月(19回)
抜歯 有(上4,4)
矯正の装置 裏側矯正(舌側矯正)
副作用・リスク 歯肉退縮,歯根吸収,疼痛,咬合の違和感,装置の違和感,虫歯,歯肉炎
かみ合わせが深い₋before

Before

かみ合わせが深い₋after

After

詳しく見る


かみ合わせが深い

年齢層 20代
性別 女性
主訴 【主訴】かみ合わせが深い【診断・症状】過蓋咬合 
治療費用 検査・診断:税込38,500円/裏側矯正治療(リンガル矯正):税込1,397,000円
治療期間 1年5か月(26回)
抜歯 有(上4,4)
矯正の装置 裏側矯正(舌側矯正)
副作用・リスク 歯肉退縮,歯根吸収,疼痛,咬合の違和感,装置の違和感,虫歯,歯肉炎
かみ合わせが深い_before

Before

かみ合わせが深い__after

After

詳しく見る


歯の凸凹を治したい3

年齢層 20代
性別 女性
主訴 【主訴】歯の凸凹を治したい 【診断・症状】上下凸凹
治療費用 検査・診断:税込38,500円/裏側矯正治療(リンガル矯正):税込1,397,000円
治療期間 2年(27回)
抜歯 有(上4,4)(下右下4,左下5)
矯正の装置 裏側矯正(舌側矯正)
副作用・リスク 歯肉退縮,歯根吸収,疼痛,咬合の違和感,装置の違和感,虫歯,歯肉炎
case35_歯の凹凸_before

Before

case35_歯の凹凸_after

After

詳しく見る


かみ合わせが深い3

年齢層 20代
性別 女性
主訴 【主訴】かみ合わせが深い【診断・症状】過蓋咬合
治療費用 検査・診断:税込38,500円/裏側矯正治療(リンガル矯正):税込1,397,000円
治療期間 2年3か月(40回)
抜歯 有(上4,4)
矯正の装置 裏側矯正(舌側矯正)
副作用・リスク 歯肉退縮,歯根吸収,疼痛,咬合の違和感,装置の違和感,虫歯,歯肉炎
case33_かみ合わせが深い__before

Before

case33_かみ合わせが深い__after

After

詳しく見る


開咬を治したい

年齢層 20代
性別 女性
主訴 【主訴】開咬を治したい 【診断・症状】開咬(オープンバイト)
治療費用 検査・診断:税込38,500円/裏側矯正治療(リンガル矯正):税込1,397,000円
治療期間 1年(11回)
抜歯 非抜歯
矯正の装置 裏側矯正(舌側矯正)
副作用・リスク 歯肉退縮,歯根吸収,疼痛,咬合の違和感,装置の違和感,虫歯,歯肉炎
case32_開咬_before

Before

case32_開咬_after

After

詳しく見る


出っ歯を治したい

年齢層 20代
性別 女性
主訴 【主訴】出っ歯を治したい 【診断・症状】上下凸凹、出っ歯(上顎前突)
治療費用 検査・診断:税込38,500円/裏側矯正治療(リンガル矯正):税込1,397,000円
治療期間 2年3か月(27回)
抜歯 有(上5,5)(下5,5)
矯正の装置 裏側矯正(舌側矯正)
副作用・リスク 歯肉退縮,歯根吸収,疼痛,咬合の違和感,装置の違和感,虫歯,歯肉炎
case31_出っ歯_before

Before

case31_出っ歯_after

After

詳しく見る