上下の歯の噛み合わせが逆になってる(クロスバイト)が気になる

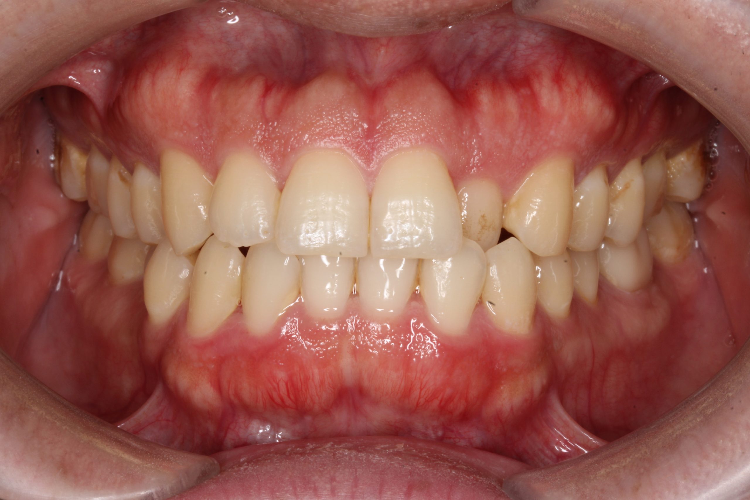
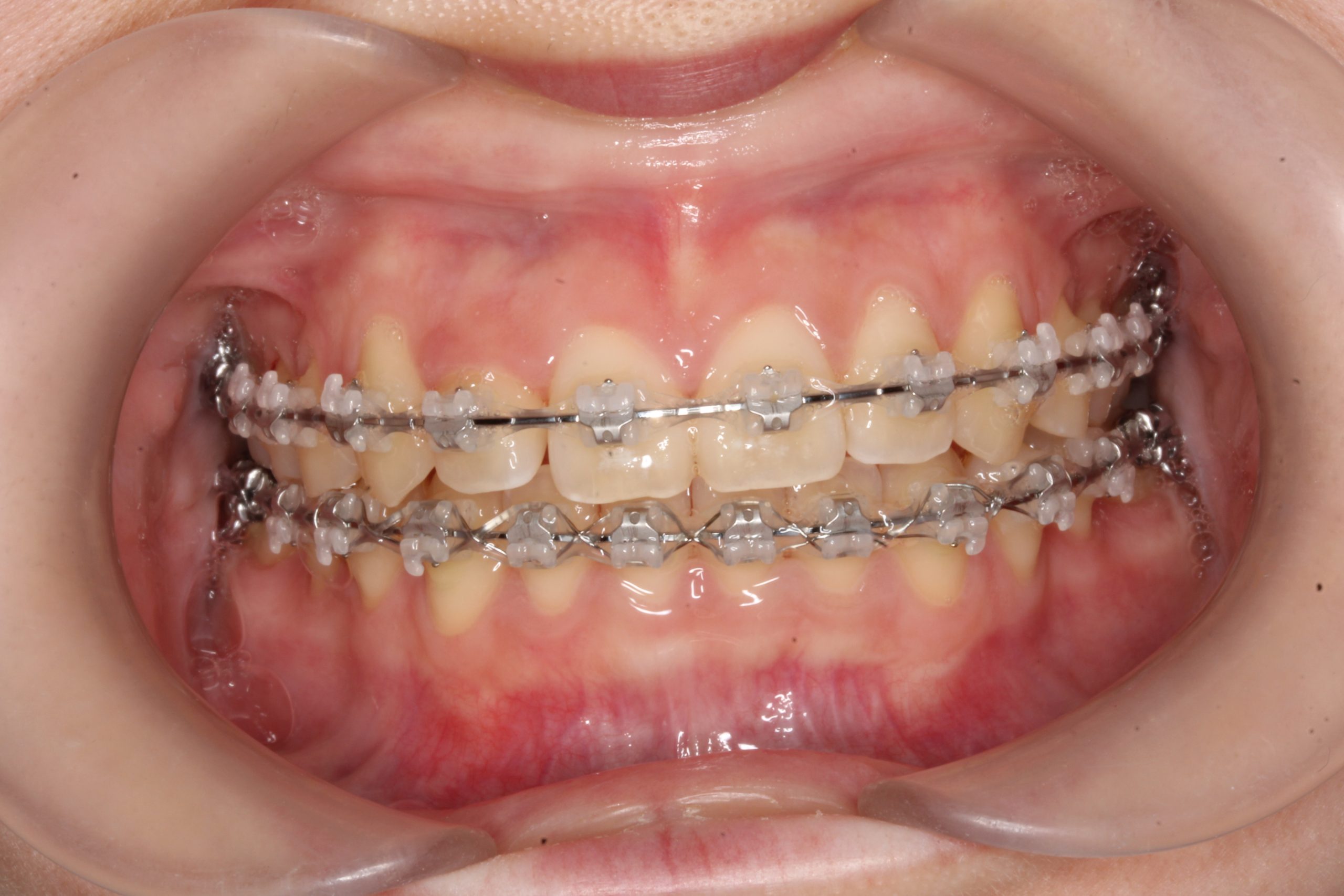
歯の凸凹を治したい(治療期間:8か月/通院8回)

年齢層 30代
性別 男性
主訴 【主訴】歯の凸凹を治したい 【診断・症状】上下凸凹
治療費用 検査・診断:税込38,500円/表側矯正治療(ラビアル矯正):税込1,177,000
治療期間 8か月(8回)
抜歯 無(非抜歯)
矯正の装置 表側矯正
副作用・リスク 歯肉退縮,歯根吸収,疼痛,咬合の違和感,装置の違和感,虫歯,歯肉炎
歯の凸凹を治したい₋ラビアルの症例

Before

歯の凸凹を治したい₋ラビアルの症例

After

詳しく見る


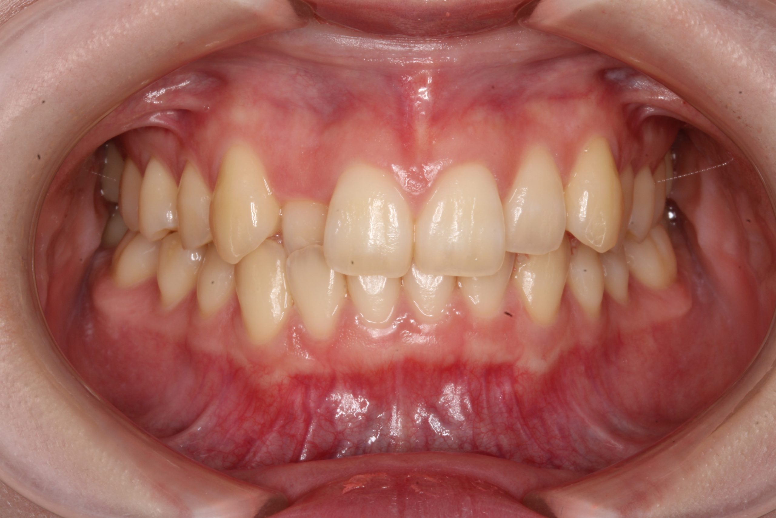
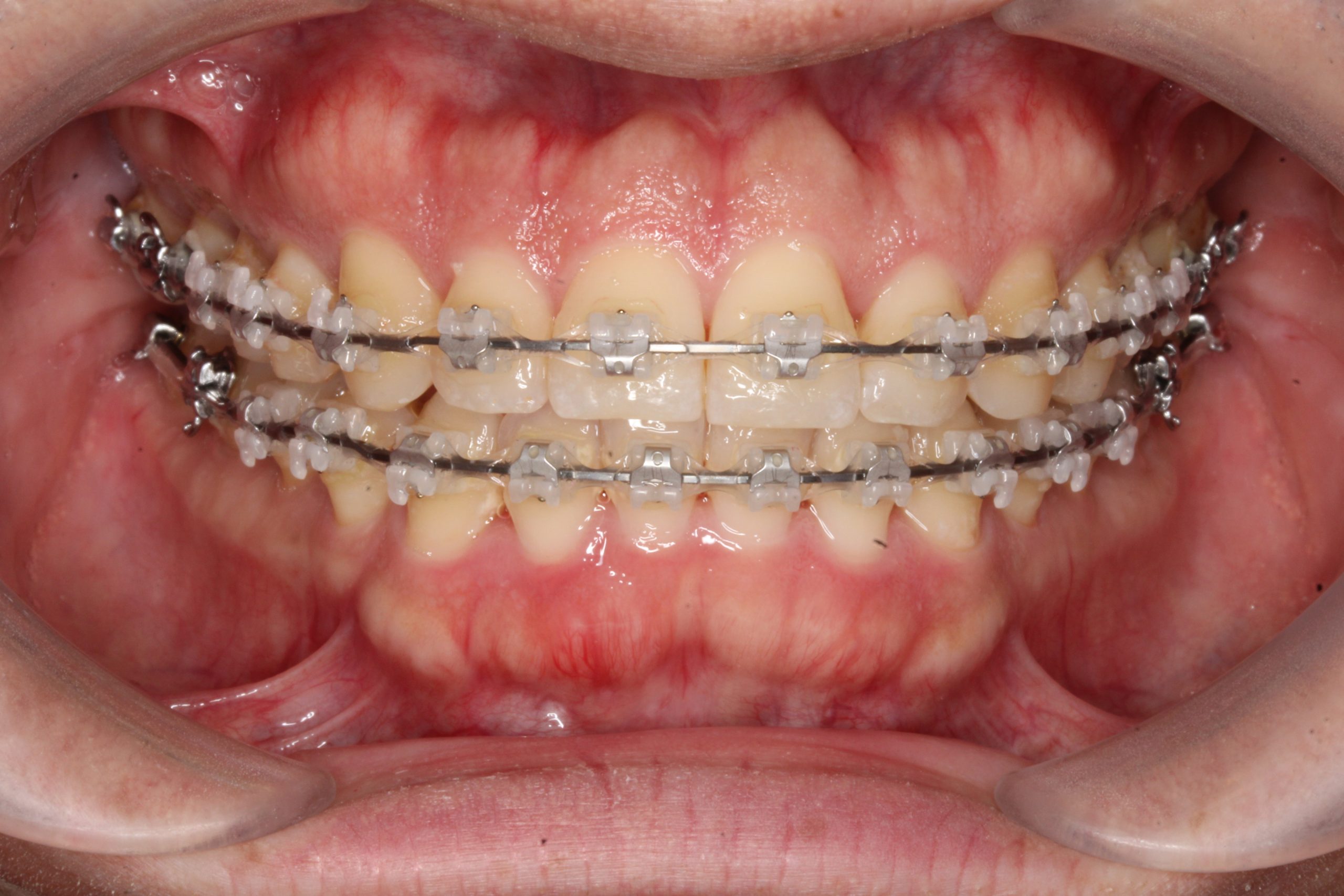
歯の凸凹を治したい(治療期間:1年/通院14回)

年齢層 20代
性別 女性
主訴 【主訴】歯の凸凹を治したい【診断・症状】上下凸凹
治療費用 検査・診断:税込38,500円/裏側矯正治療(リンガル矯正):税込1,397,000円
治療期間 1年(14回)
抜歯 有(上2,2)(下5,5)
矯正の装置 裏側矯正(舌側矯正)
副作用・リスク 歯肉退縮,歯根吸収,疼痛,咬合の違和感,装置の違和感,虫歯,歯肉炎
歯の凸凹を治したい・リンガルの症例

Before

歯の凸凹を治したい・リンガルの症例

After

詳しく見る