かみ合わせが深い(治療期間1年8か月/通院回数18回)
Before
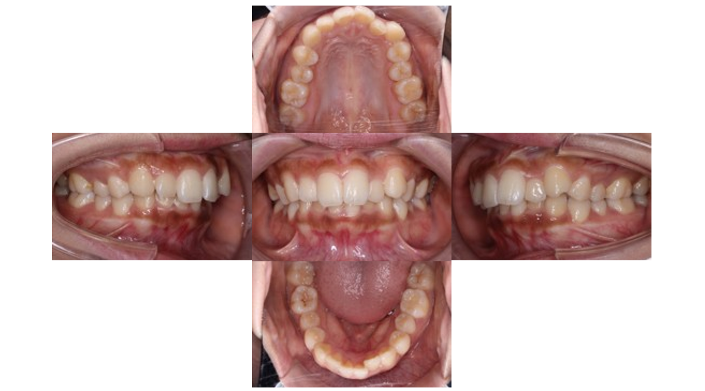
After
| 年齢層 | 20代 |
|---|---|
| 性別 | 女性 |
| 主訴 | 【主訴】かみ合わせが深い【診断・症状】過蓋咬合 |
| 治療費用 | 検査・診断:税込38,500円/裏側矯正治療(リンガル矯正):税込1,397,000円 |
| 治療期間 | 1年8か月(18回) |
| 抜歯 | 有(上4,4) |
| 矯正の装置 | 裏側矯正(舌側矯正) |
| 副作用・リスク | 歯肉退縮,歯根吸収,疼痛,咬合の違和感,装置の違和感,虫歯,歯肉炎 |
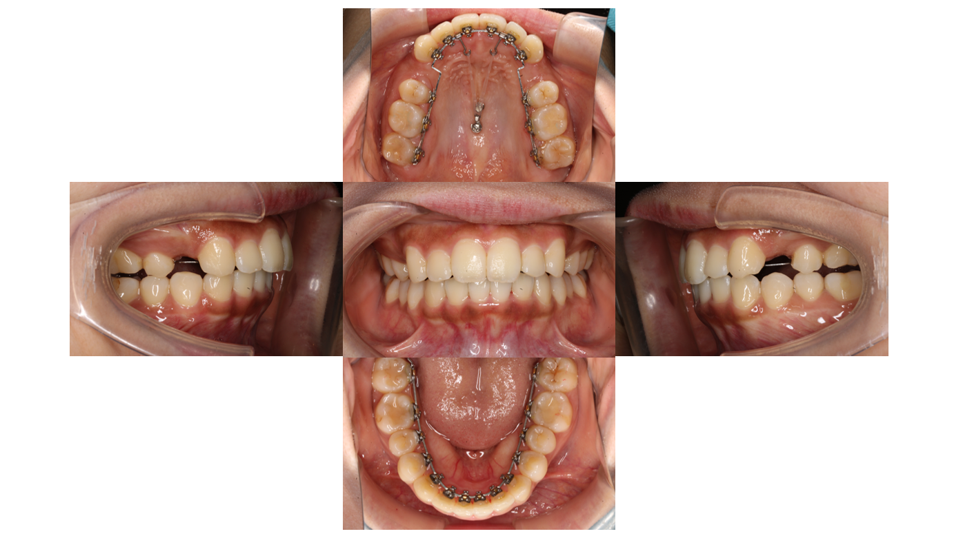
初診
装置装着後
上下とも裏側に装置が付きました
上の歯についている青い材料は歯と装置が当たらないようにしています
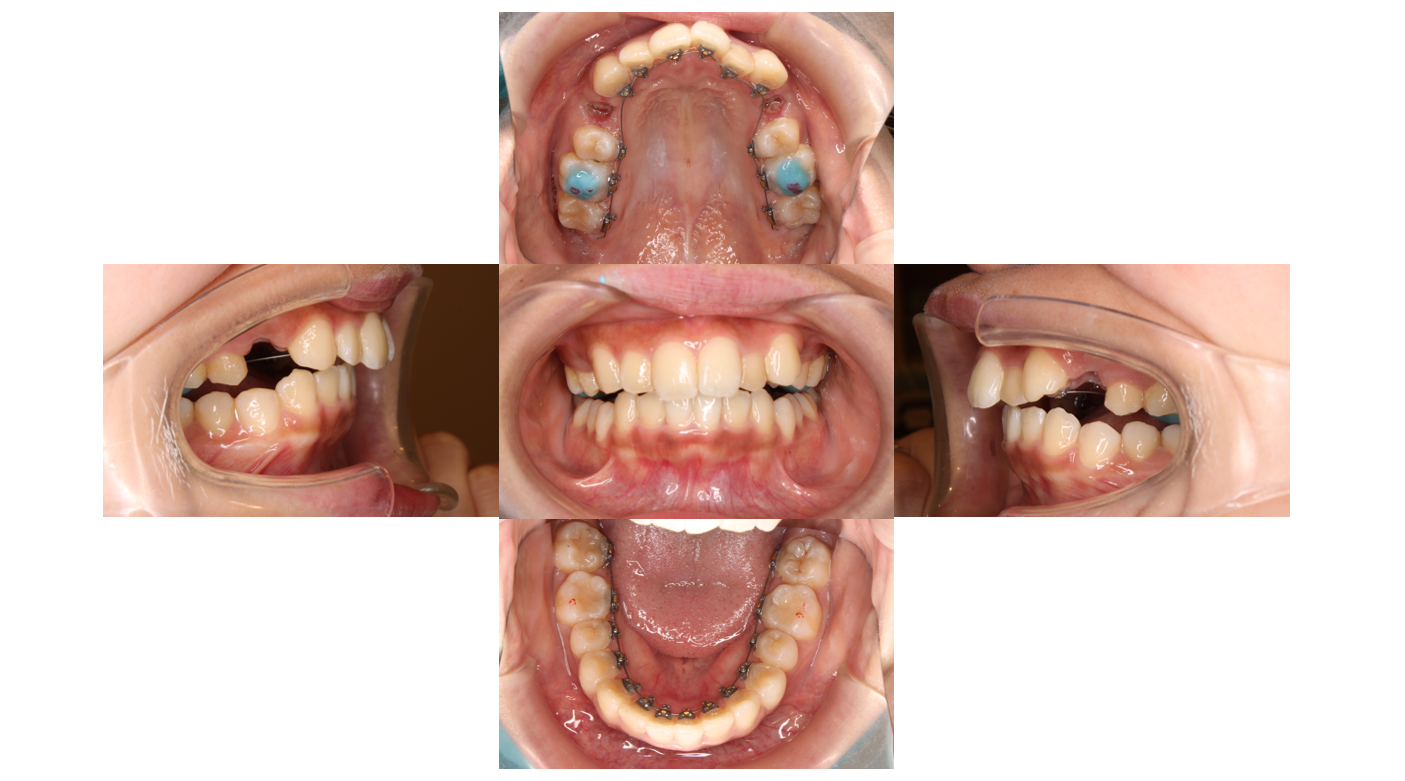
6か月経過
上にフックを付けてフックからゴムをつなぎ前歯を後ろに下げます
1年経過
歯にボタンを付けて噛み合わせを整えていきます
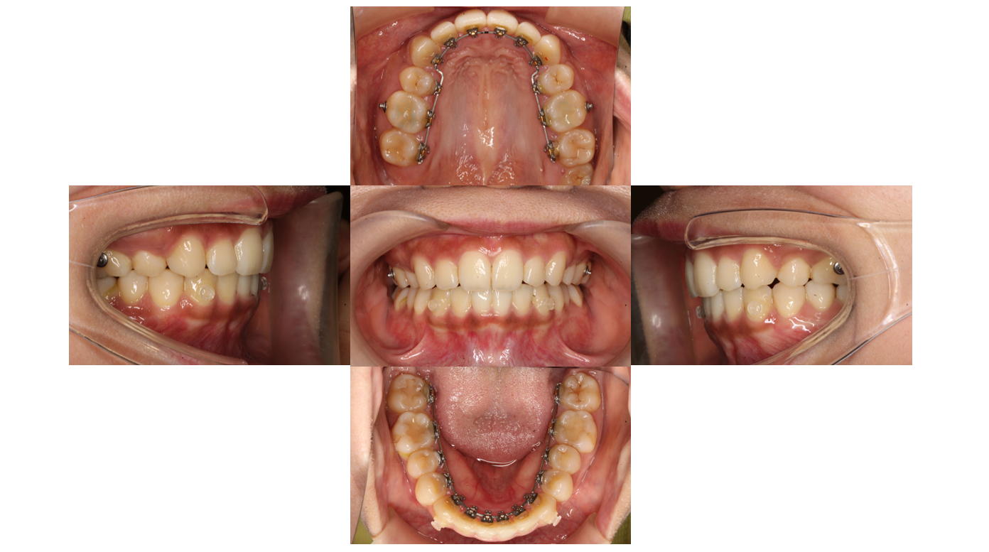
1年8か月経過
前回の治療と同様、歯にボタンを付けて噛み合わせを整えていきます

