八重歯を治したい(治療期間:1年7か月 治療回数:18回)
Before
After
| 年齢層 | 20代 |
|---|---|
| 性別 | 女性 |
| 主訴 | 【主訴】八重歯が気になる 【診断・症状】上下凸凹 |
| 治療費用 | 検査・診断:税込38,500円/ハーフリンガル矯正:税込1,287,000円 |
| 治療期間 | 1年7か月(18回) |
| 抜歯 | 非抜歯 |
| 矯正の装置 | ハーフリンガル矯正 |
| 副作用・リスク | 歯肉退縮,歯根吸収,疼痛,咬合の違和感,装置の違和感,虫歯,歯肉炎 |
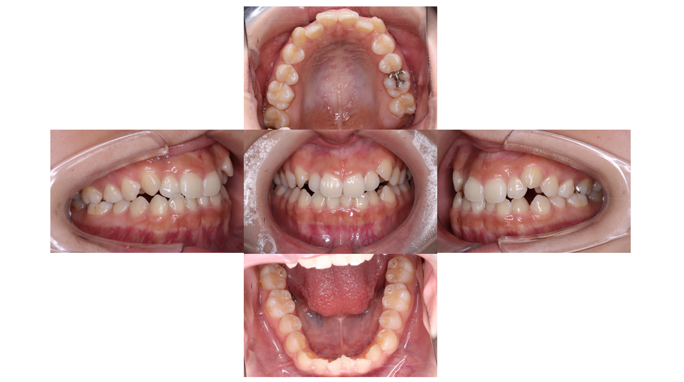
初診
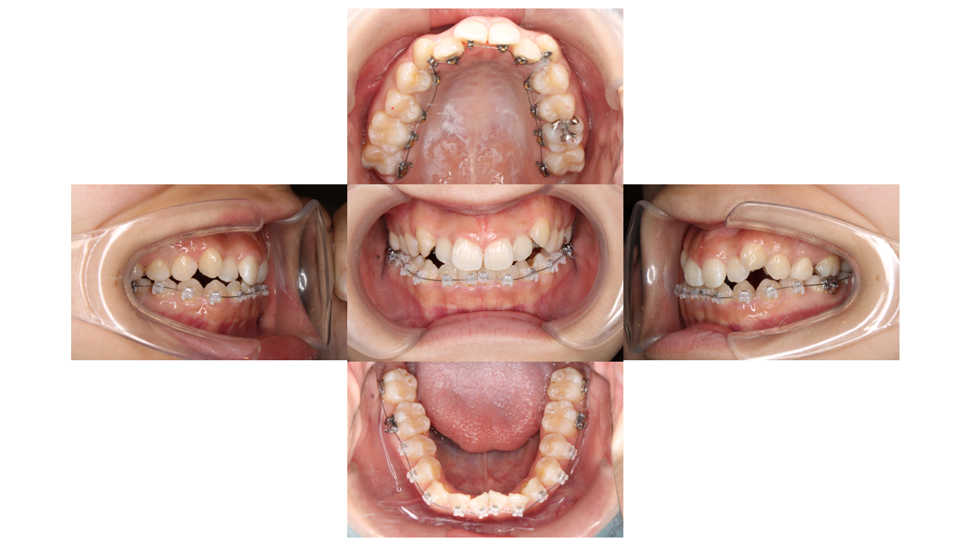
装置装着後
上下とも装置が付きました
5か月経過
上下ともワイヤーをサイズアップし歯を並べていきます
青い材料は歯と装置が当たらないようにしています
1年経過
全体的にゴムをかけて歯と歯の間に隙間が空いてこないようにします
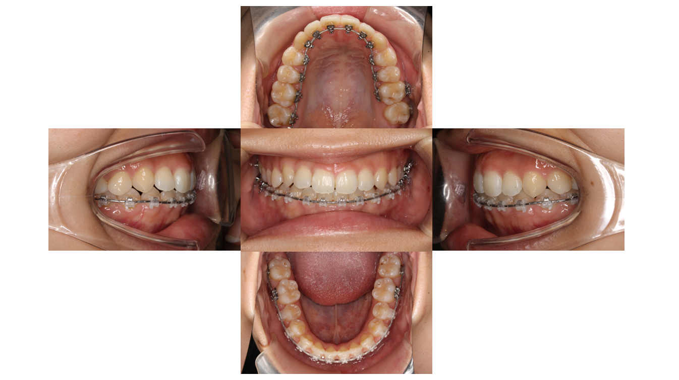
1年7か月経過
患者様にゴムかけをして頂き、かみ合わせを整えていきます

