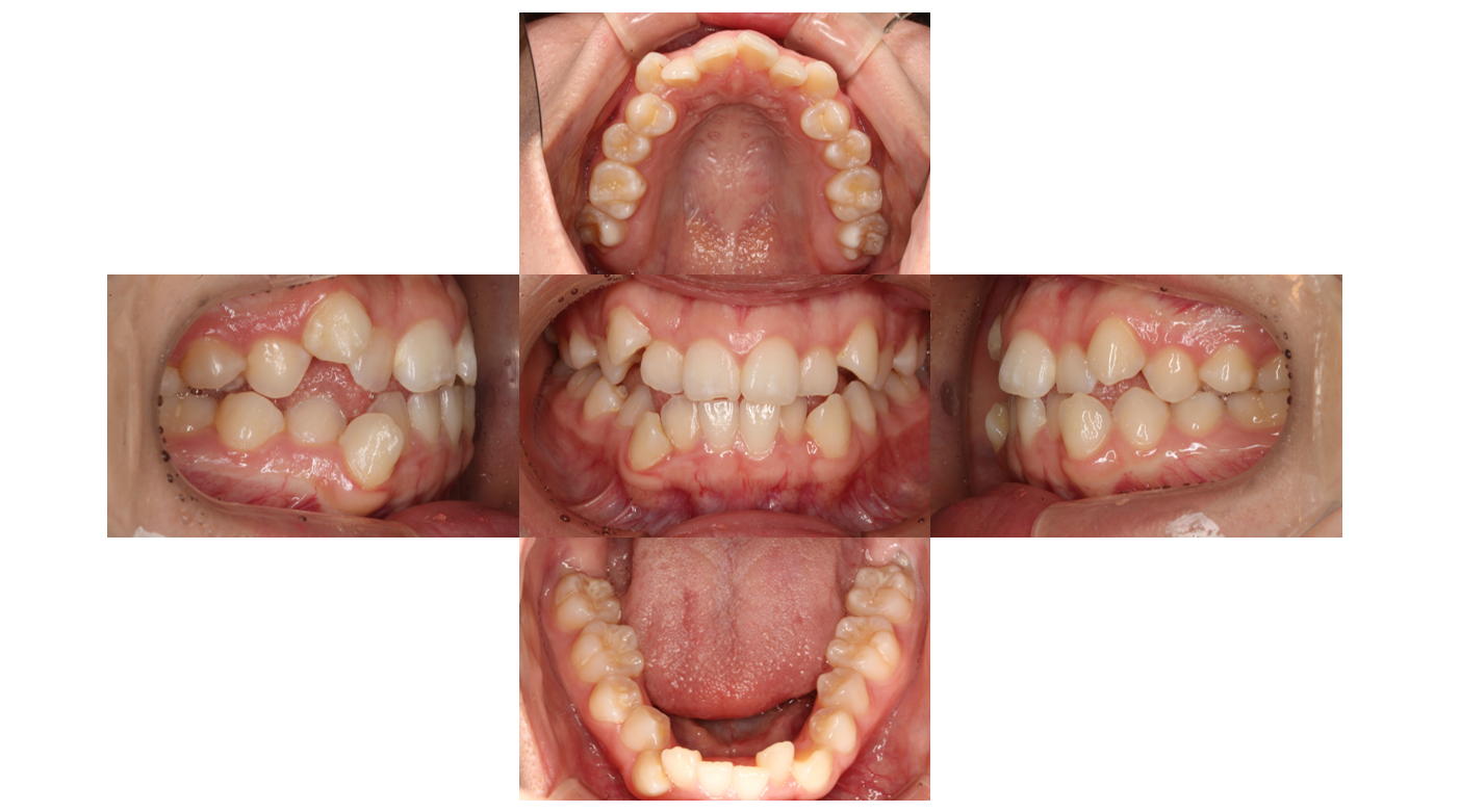
八重歯を治したい(治療期間:1年7カ月 治療回数:21回)
Before
After
| 年齢層 | 10代 |
|---|---|
| 性別 | 女性 |
| 主訴 | 【主訴】八重歯が気になる 【診断・症状】上凸凹 |
| 治療費用 | 検査・診断:税込38,500円/裏側矯正治療(リンガル矯正):税込1,397,000円 |
| 治療期間 | 1年7か月(21回) |
| 抜歯 | 有(上4,4)(下4,4) |
| 矯正の装置 | リンガル矯正 |
| 副作用・リスク | 歯肉退縮,歯根吸収,疼痛,咬合の違和感,装置の違和感,虫歯,歯肉炎 |
初診
装置装着後
上下とも裏側に装置が付きました
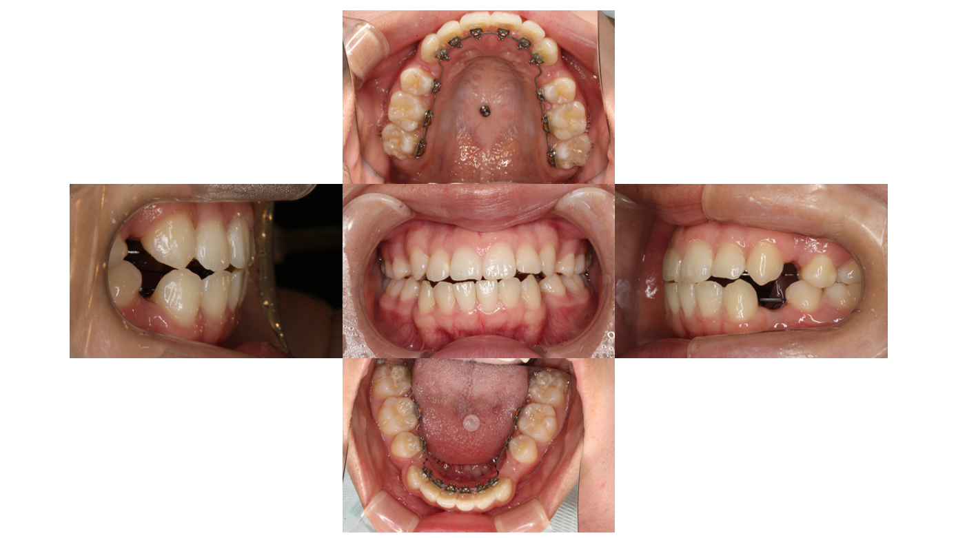
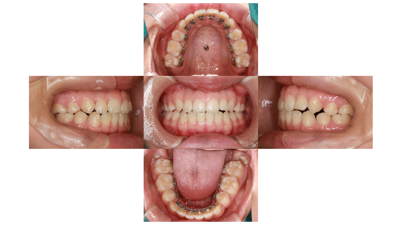
5か月経過
ワイヤーのサイズを上げていき歯のがたつきを改善します
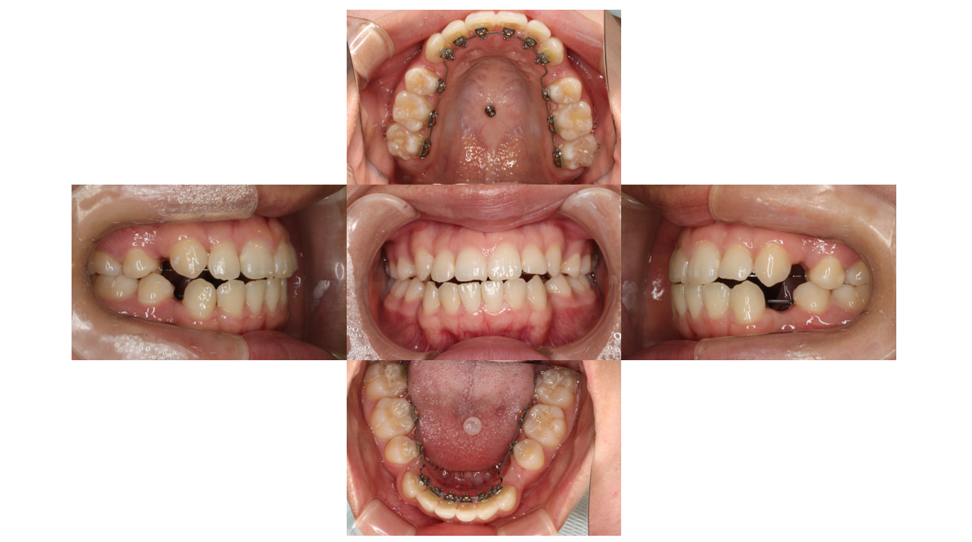
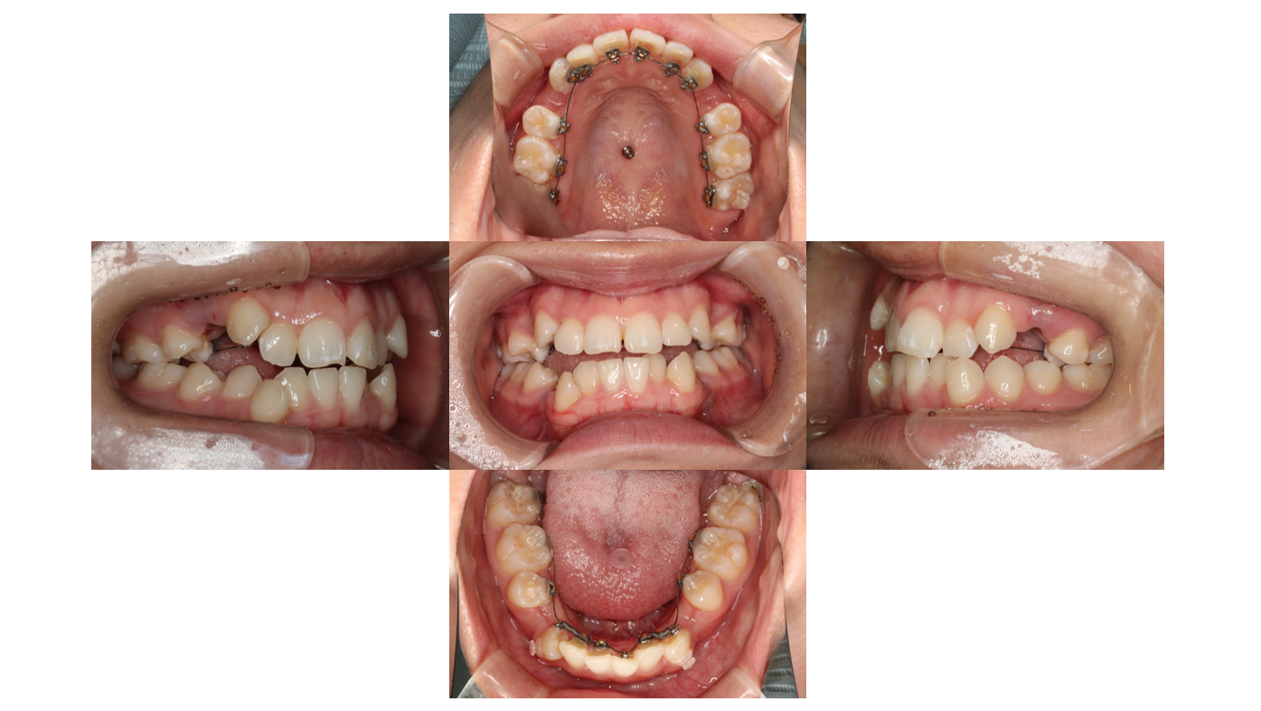
10か月経過
前回と同様ワイヤーのサイズを上げて歯のがたつきを改善します
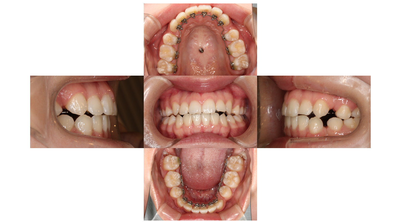
1年7か月経過
全体的にゴムをかけて歯の空いたスペース改善します

