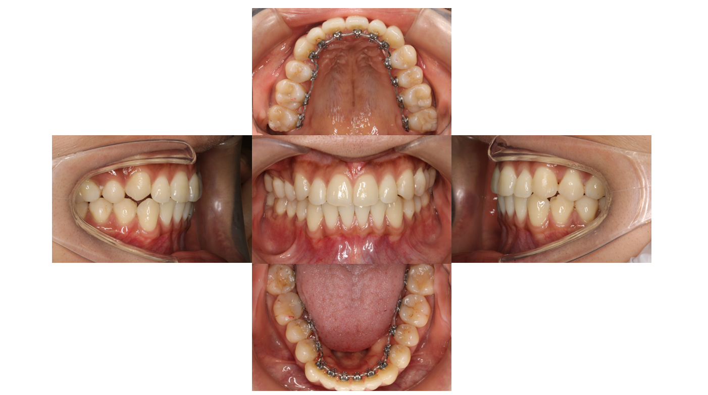
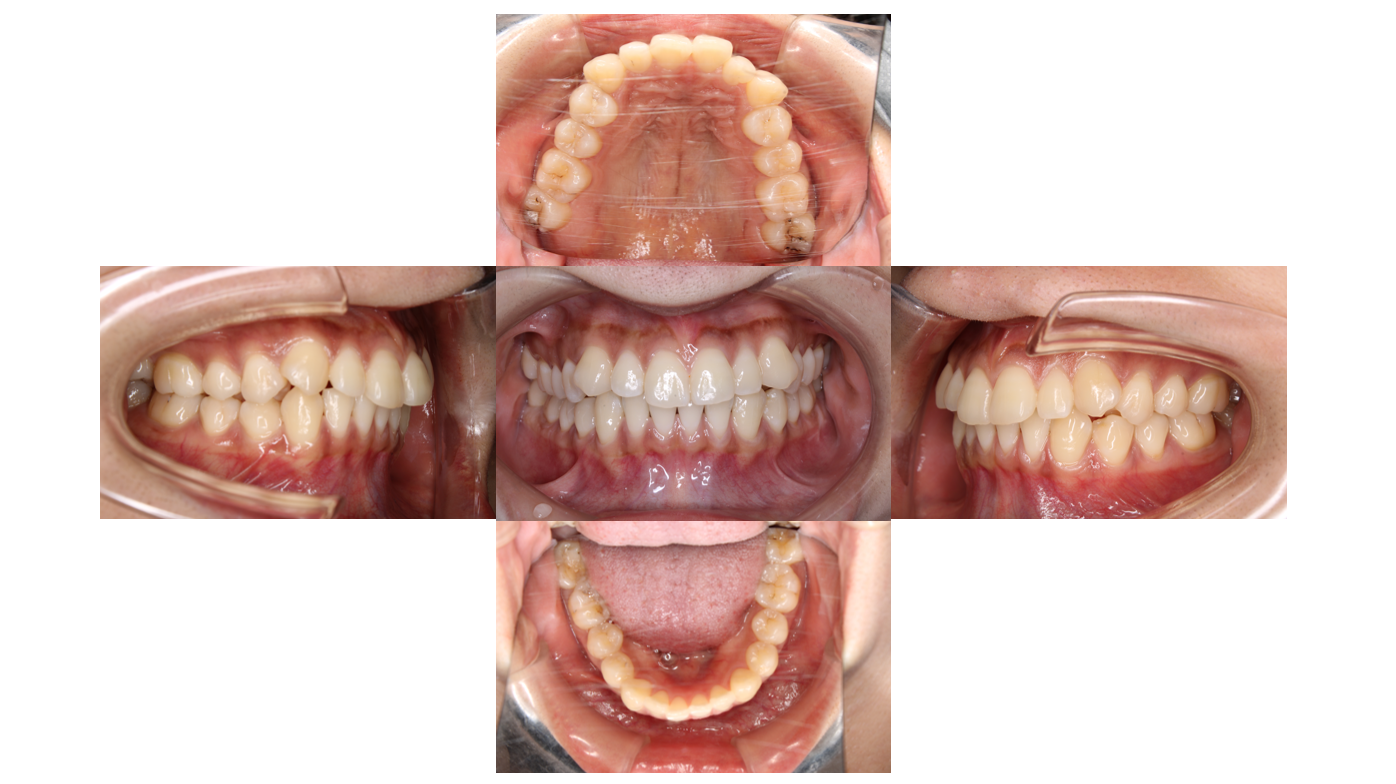
かみ合わせを治したい(治療期間:1年6か月経過 治療回数:19回)
Before
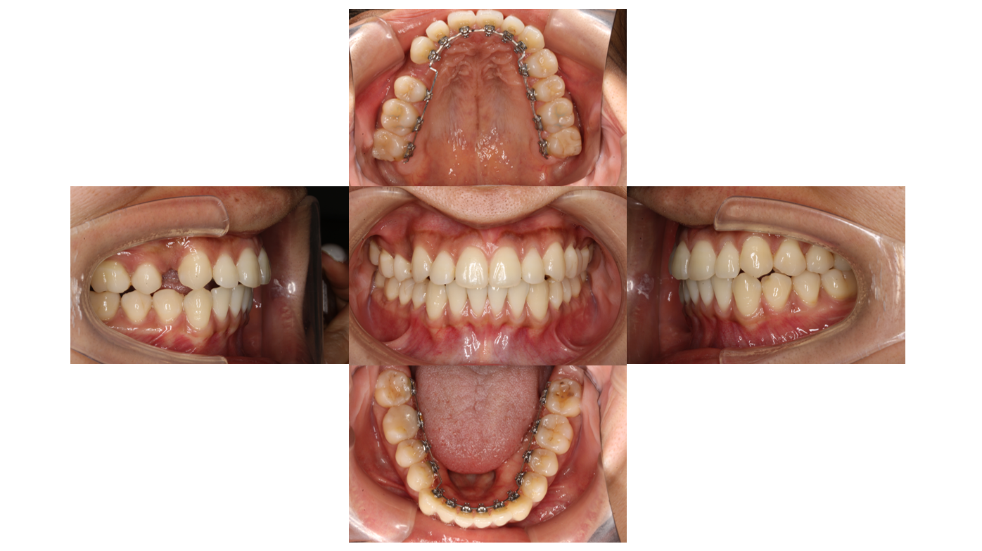
After
| 年齢層 | 20代 |
|---|---|
| 性別 | 女性 |
| 主訴 | 【主訴】かみ合わせが合わない 【診断・症状】不正咬合 |
| 治療費用 | 検査・診断:税込38,500円/裏側矯正治療(リンガル矯正):税込1,397,000円 |
| 治療期間 | 1年6か月(19回) |
| 抜歯 | 有(上4) |
| 矯正の装置 | 裏側矯正(舌側矯正) |
| 副作用・リスク | 歯肉退縮,歯根吸収,疼痛,咬合の違和感,装置の違和感,虫歯,歯肉炎 |
初診
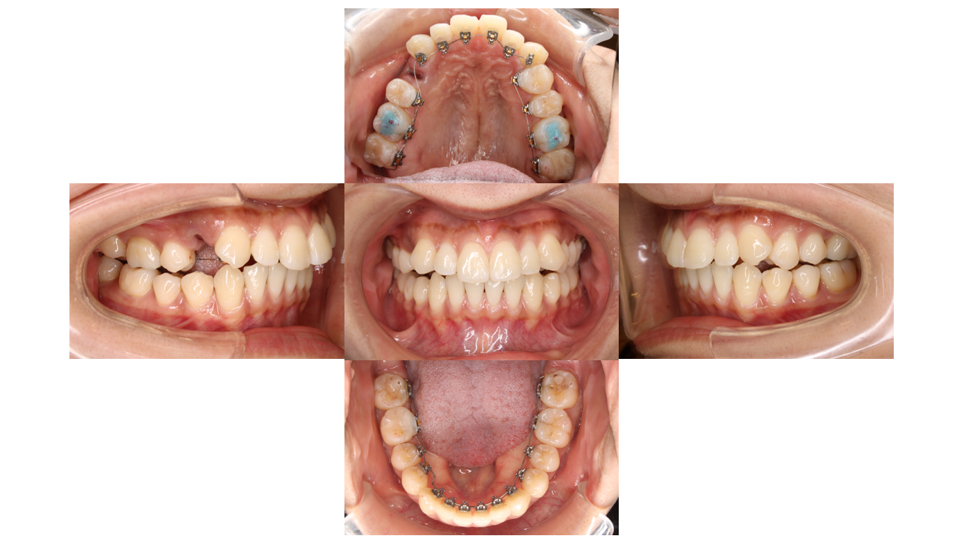
装置装着後
上下とも裏側に矯正装置が付きました
上の青い材料は下の歯と装置が当たらないようにつけています
6か月経過
歯並びのがたつきを改善するためにワイヤーのサイズをあげていきます
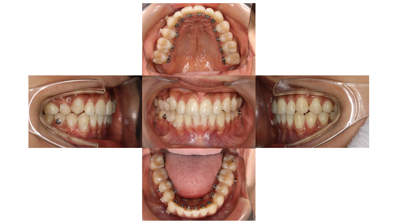
1年2か月経過
歯の表面にボタンを付けて噛み合わせを整えます
1年6か月経過
上下とも全体的にゴムをかけて隙間が空いてこないようにします

