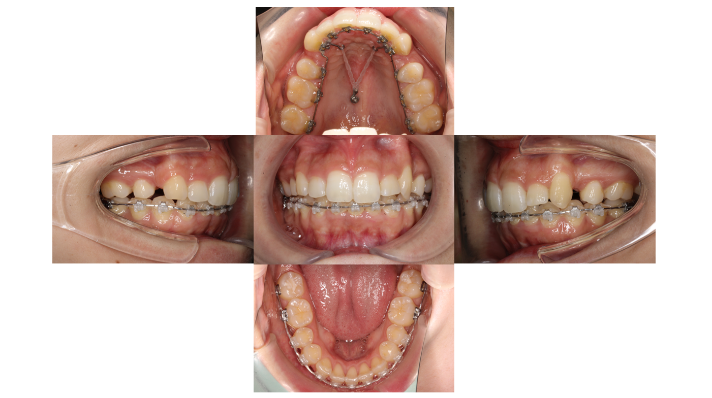
出っ歯を治したい(治療期間:2年 治療回数:25回)
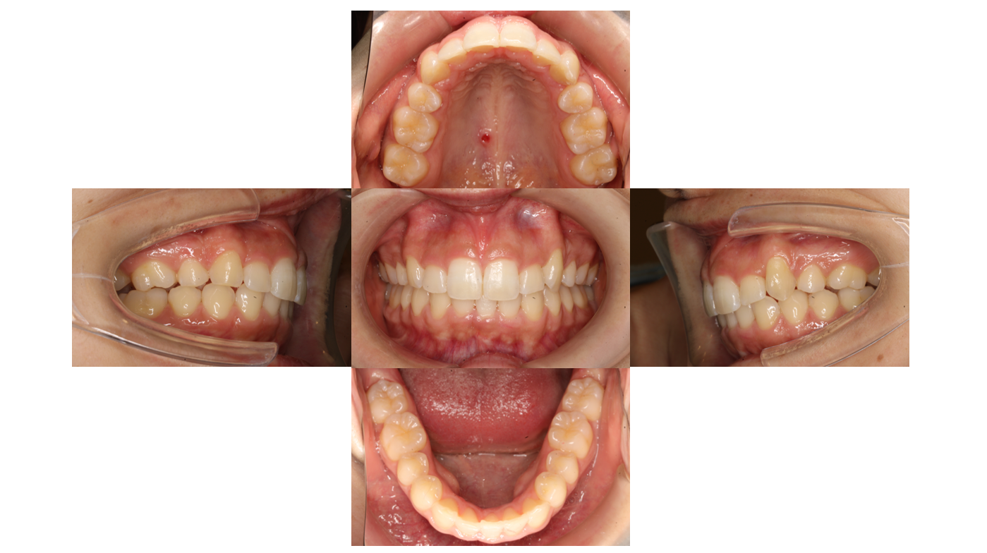
Before
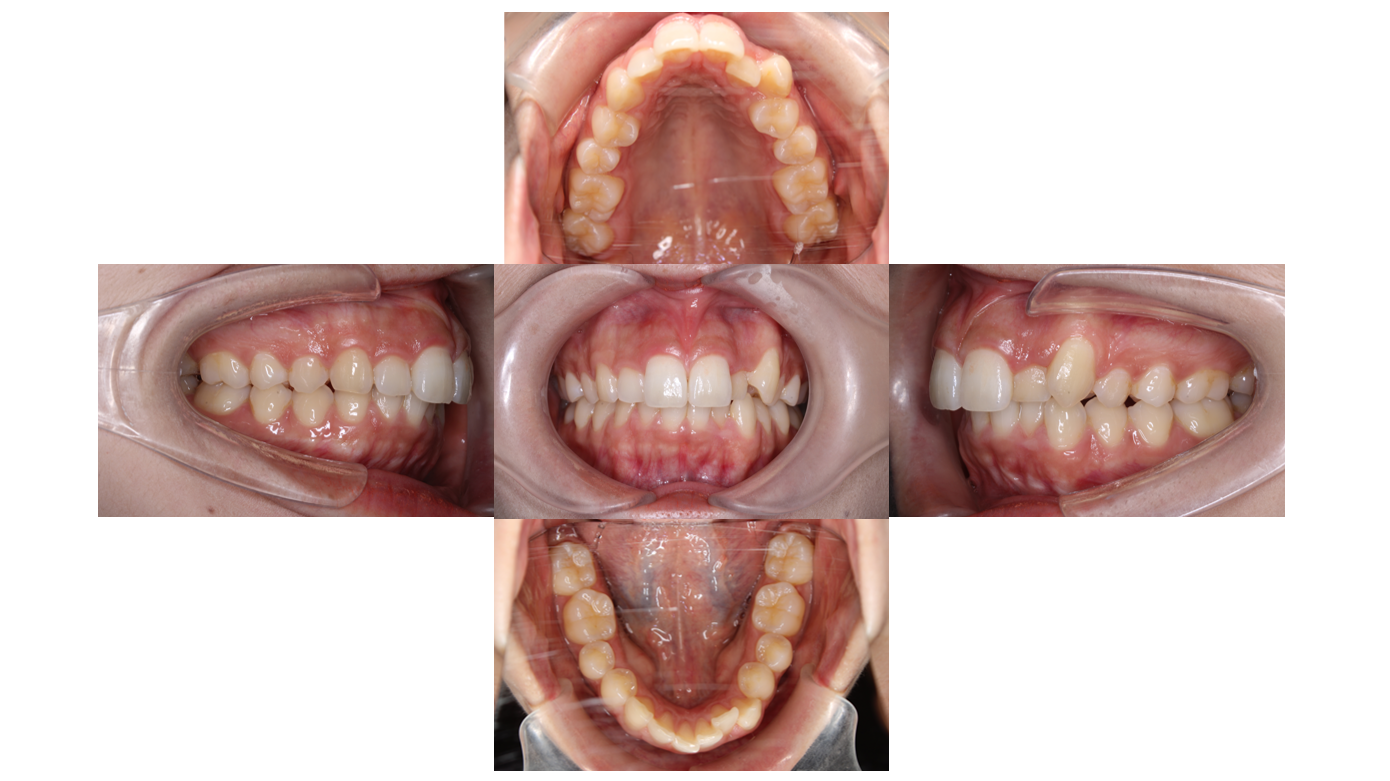
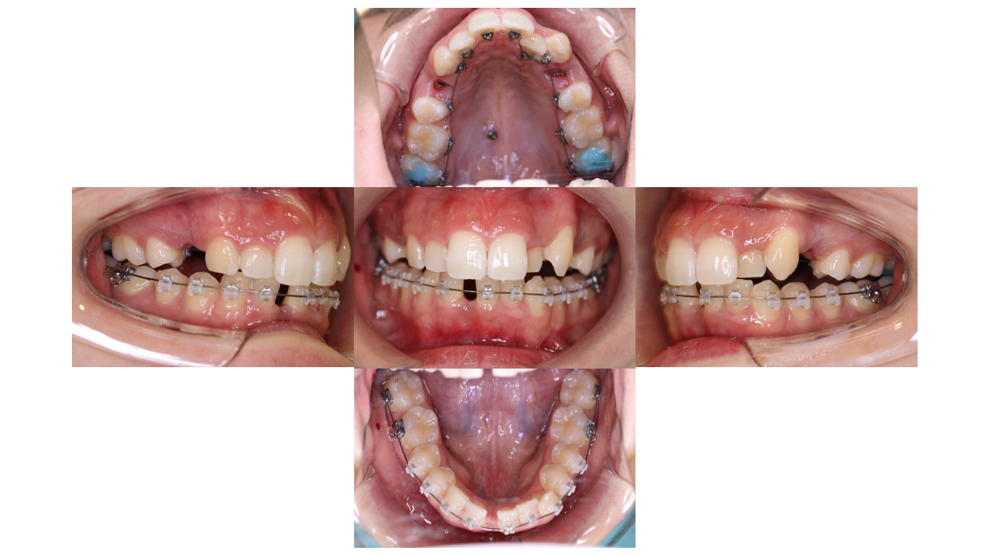
After
| 年齢層 | 30代 |
|---|---|
| 性別 | 女性 |
| 主訴 | 【主訴】出っ歯を治したい 【診断・症状】上凸凹、出っ歯(上顎前突) |
| 治療費用 | 検査・診断:税込38,500円/ハーフリンガル矯正:税込1,287,000円 |
| 治療期間 | 2年(25回) |
| 抜歯 | 有(上4,4)(下1) |
| 矯正の装置 | ハーフリンガル矯正 |
| 副作用・リスク | 歯肉退縮,歯根吸収,疼痛,咬合の違和感,装置の違和感,虫歯,歯肉炎 |
初診
装置装着後
上は裏側 下は表側に装置が付きました
青い材料は装置が下の歯に当たらないようにしています
5か月経過
ネジからゴムをかけて前歯を後ろに下げています
10か月経過
前回と同様に前歯を後ろに下げる調整をしています
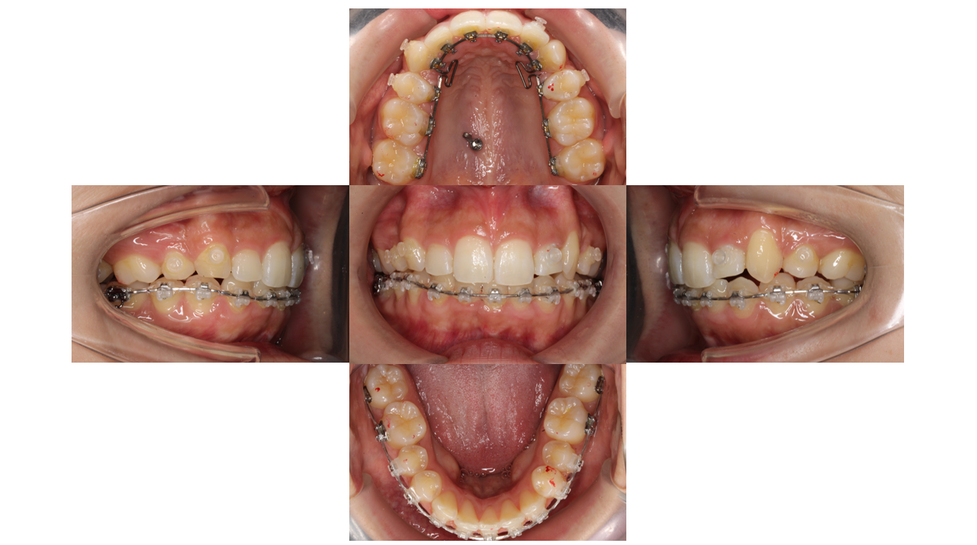
1年7か月経過
歯にボタンを付けて患者さんにゴムかけをして頂き、かみ合わせを良くしていきます
2年経過
ワイヤー矯正装置を外し、微調整をする為にマウスピース矯正に移行します

