出っ歯を治したい(治療期間:1年3か月/治療回数:13回)
Before
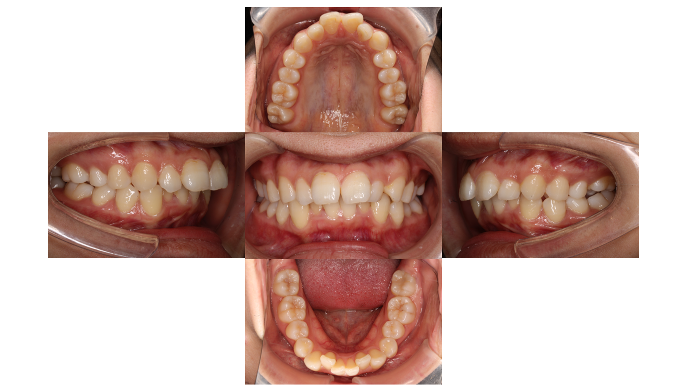
After
| 年齢層 | 20代 |
|---|---|
| 性別 | 女性 |
| 主訴 | 【主訴】上の歯が出ている 【診断・症状】上下凸凹、出っ歯(上顎前突) |
| 治療費用 | 検査・診断:税込38,500円/ハーフリンガル矯正:税込1,287,000円 |
| 治療期間 | 1年3か月(13回) |
| 抜歯 | 有(上4,4) |
| 矯正の装置 | ハーフリンガル矯正 |
| 副作用・リスク | 歯肉退縮,歯根吸収,疼痛,咬合の違和感,装置の違和感,虫歯,歯肉炎 |
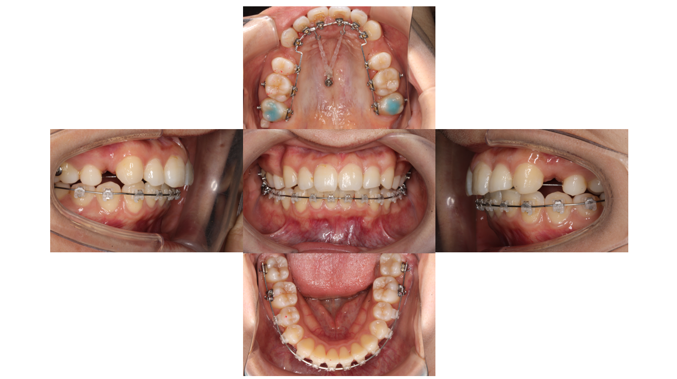
初診
装置装着後
上下とも装置が付きました
上の歯についている青い材料は装置と歯が当たらないようにしています
下の歯のバネは歯が入ってくるスペースを作るために入れています
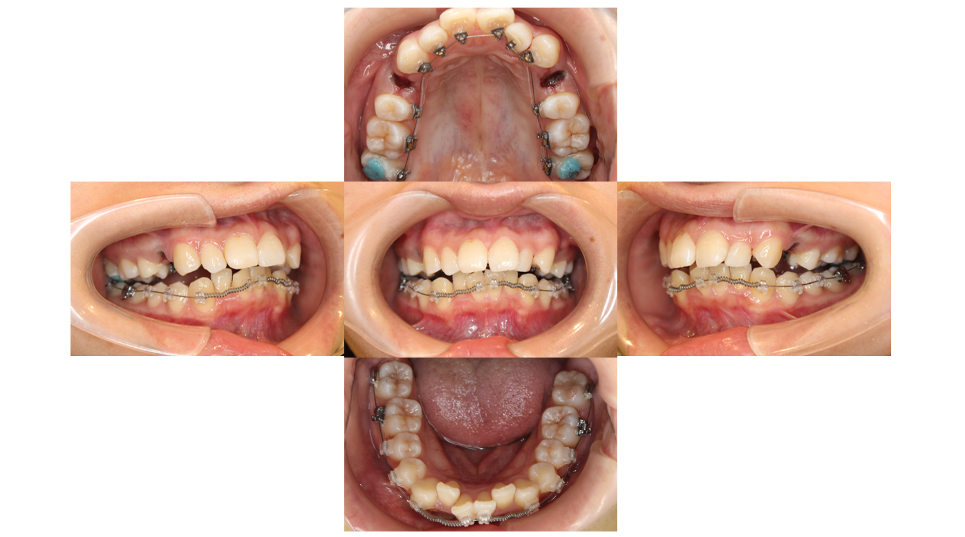
4か月経過
ワイヤーのサイズを上げていき歯のがたつきを改善しています
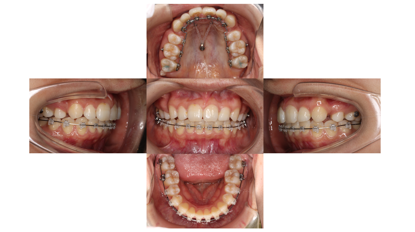
8か月経過
ワイヤーについているフックからネジでゴムをつないで前歯を後ろに下げます
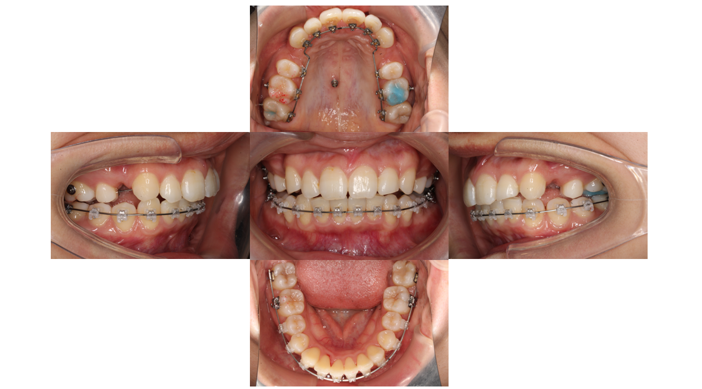
1年3か月経過
前回と同様に前歯を後ろに下げています

