出っ歯を治したい(治療期間:2年 治療回数:24回)
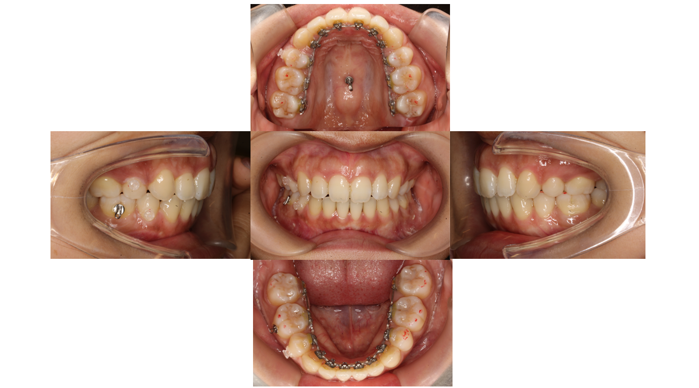
Before
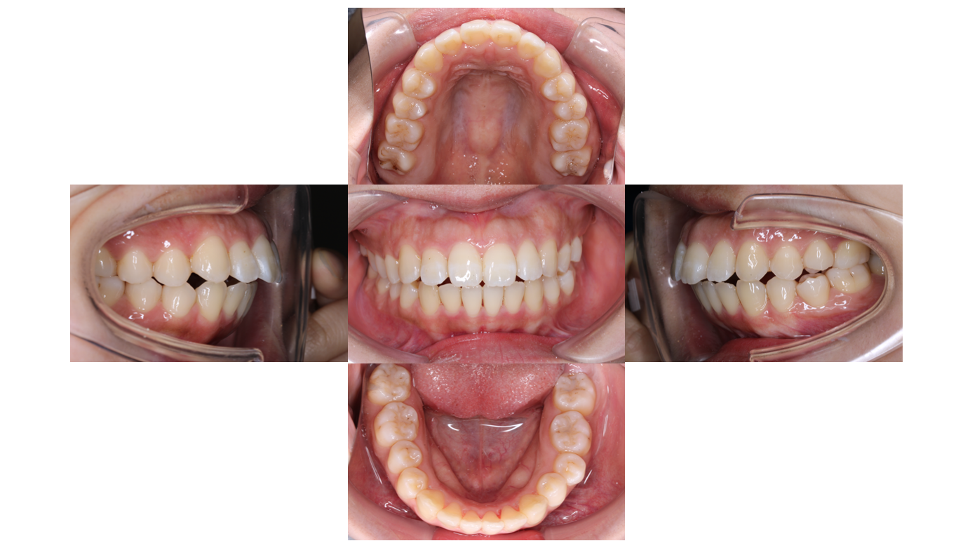
After
| 年齢層 | 20代 |
|---|---|
| 性別 | 女性 |
| 主訴 | 【主訴】出っ歯を治したい 【診断・症状】上顎前突 |
| 治療費用 | 検査・診断:税込38,500円/裏側矯正治療(リンガル矯正):税込1,397,000円 |
| 治療期間 | 2年(24回) |
| 抜歯 | 有(上4,4)(下5,5) |
| 矯正の装置 | リンガル矯正 |
| 副作用・リスク | 歯肉退縮,歯根吸収,疼痛,咬合の違和感,装置の違和感,虫歯,歯肉炎 |
初診
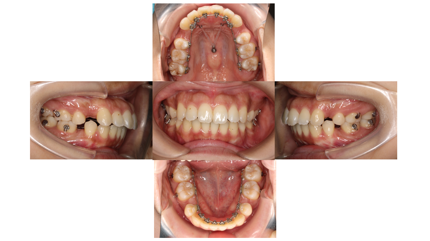
装置装着後
装置が裏側につきました
青い材料は歯と装置が当たらないように付与しています
6か月経過
ワイヤーにフックを付けてネジからゴムを使用し前歯を後ろに下げます
1年2か月経過
前回と同様に前歯を後ろに下げます
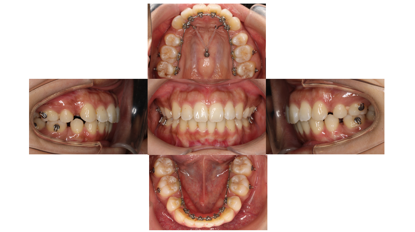
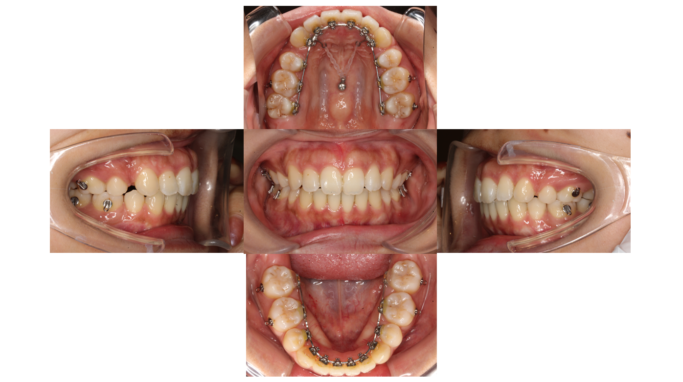
1年8か月経過
前回と同様に前歯を後ろに下げます
2年経過
全体的にゴムをかけて隙間が空いてこないようにします

