受け口を治したい(治療期間:1年3か月 治療回数:13回)
Before
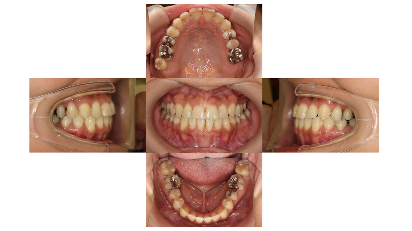
After
| 年齢層 | 30代 |
|---|---|
| 性別 | 女性 |
| 主訴 | 【主訴】受け口を治したい【診断・症状】上下凸凹 |
| 治療費用 | 検査・診断:税込38,500円/裏側矯正治療(リンガル矯正):税込1,397,000円 |
| 治療期間 | 1年3か月(13回) |
| 抜歯 | 非抜歯 |
| 矯正の装置 | リンガル矯正 |
| 副作用・リスク | 歯肉退縮,歯根吸収,疼痛,咬合の違和感,装置の違和感,虫歯,歯肉炎 |
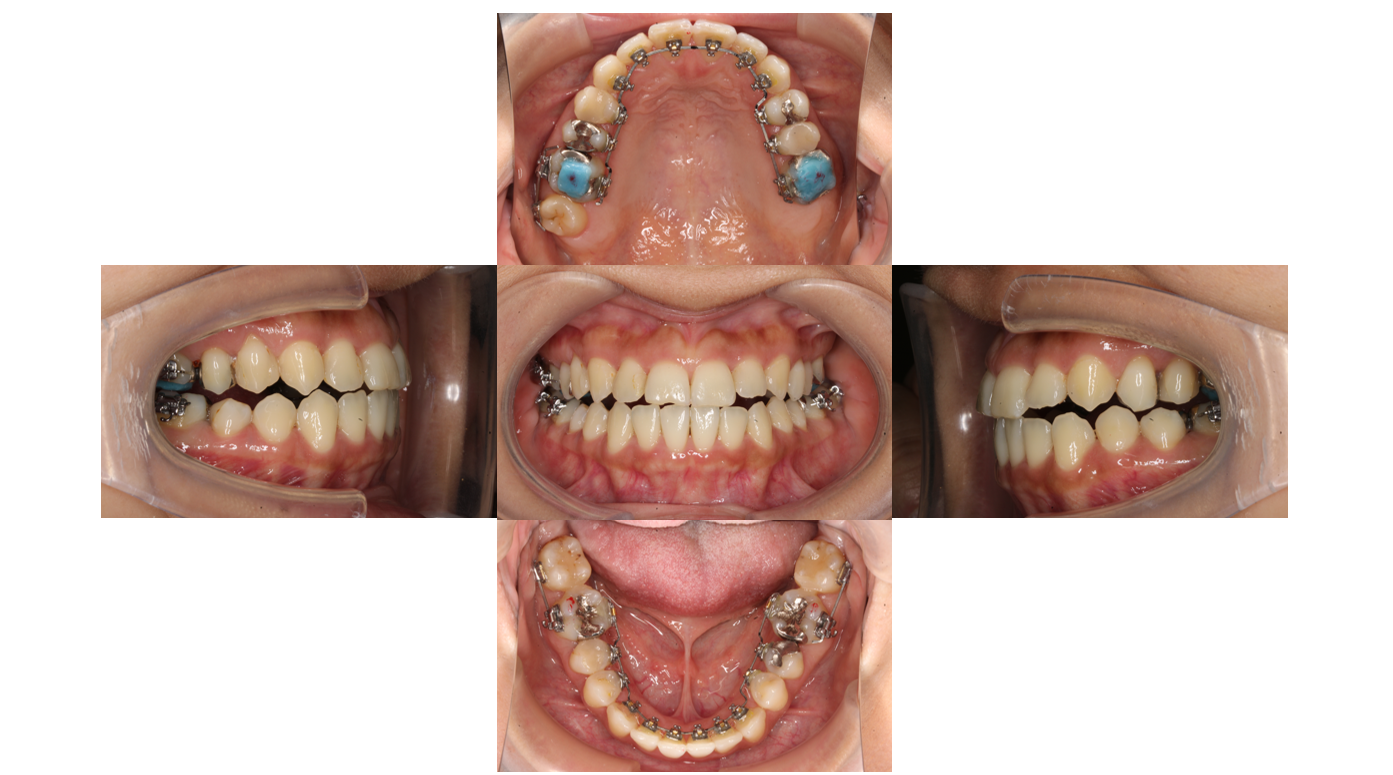
初診
上下とも裏側に装置が付きました
青い材料は歯と装置がぶつからないようにつけてます
装置装着後
上下とも裏側に装置が付きました
青い材料は歯と装置がぶつからないようにつけてます
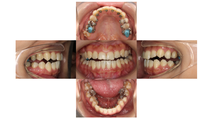
4か月経過
ワイヤーのサイズを上げて歯を綺麗に並べていきます
8か月経過
全体的にゴムをかけて歯と歯の間にスペースが空いてこないようにしています
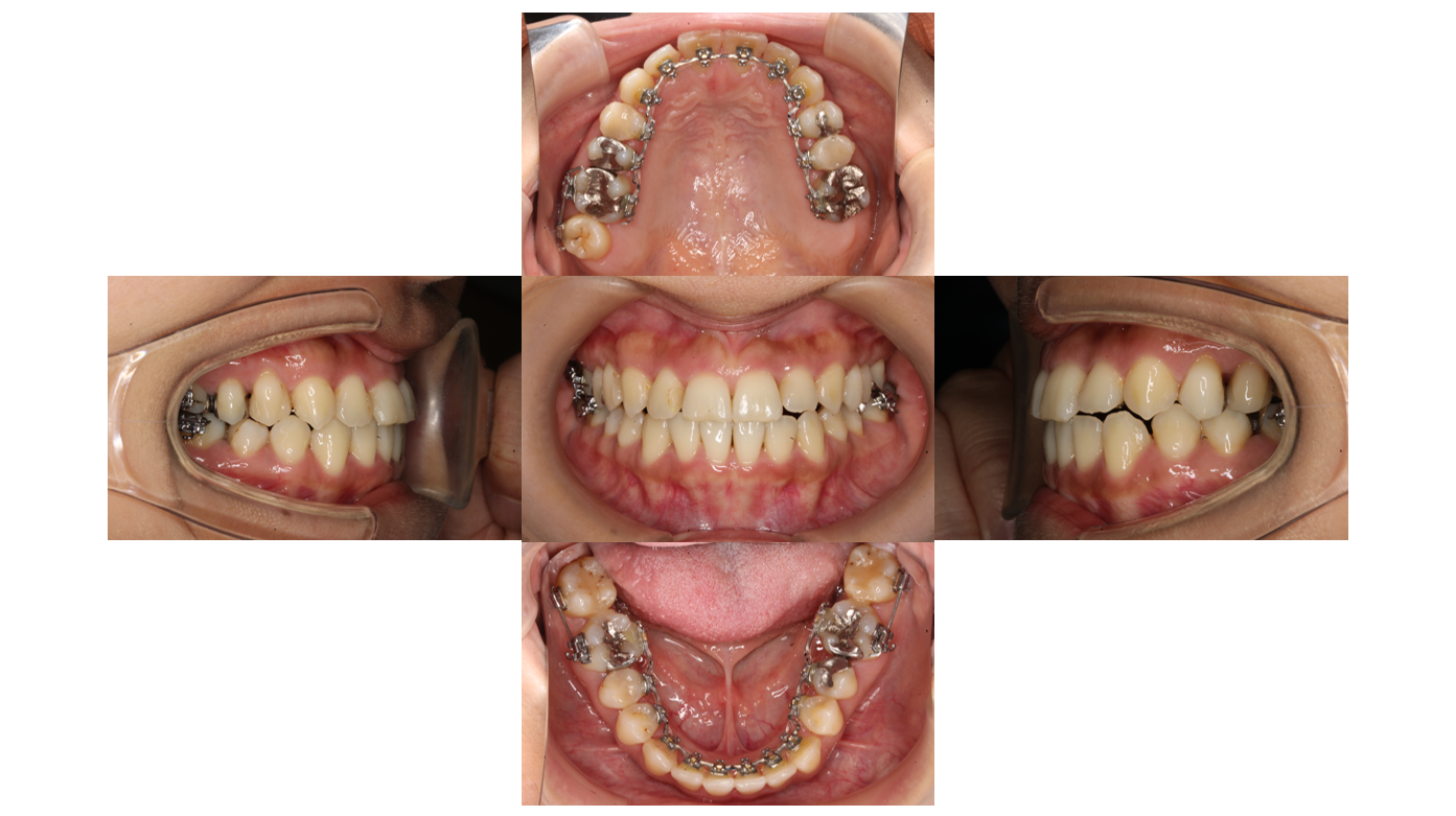
1年3ヶ月経過
マウスピースへ移行して微調整を行います

