歯の凹凸を治したい(治療期間:1年6か月/治療回数:18)
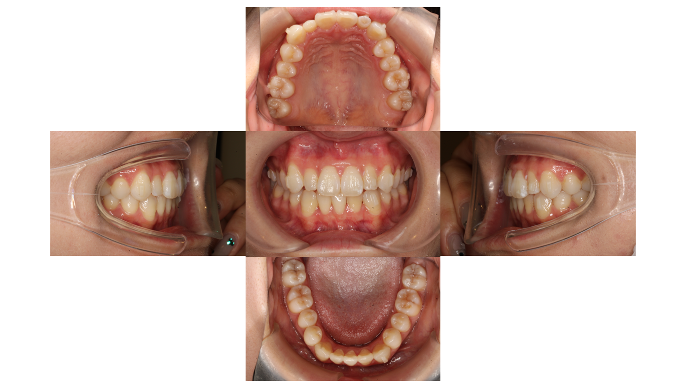
Before
After
| 年齢層 | 20代 |
|---|---|
| 性別 | 女性 |
| 主訴 | 【主訴】歯の凸凹を治したい【診断・症状】上下凸凹 |
| 治療費用 | 検査・診断:税込38,500円/裏側矯正治療(リンガル矯正):税込1,397,000円 |
| 治療期間 | 1年6か月(18回) |
| 抜歯 | 有(下2) |
| 矯正の装置 | 裏側矯正(舌側矯正) |
| 副作用・リスク | 歯肉退縮,歯根吸収,疼痛,咬合の違和感,装置の違和感,虫歯,歯肉炎 |
初診
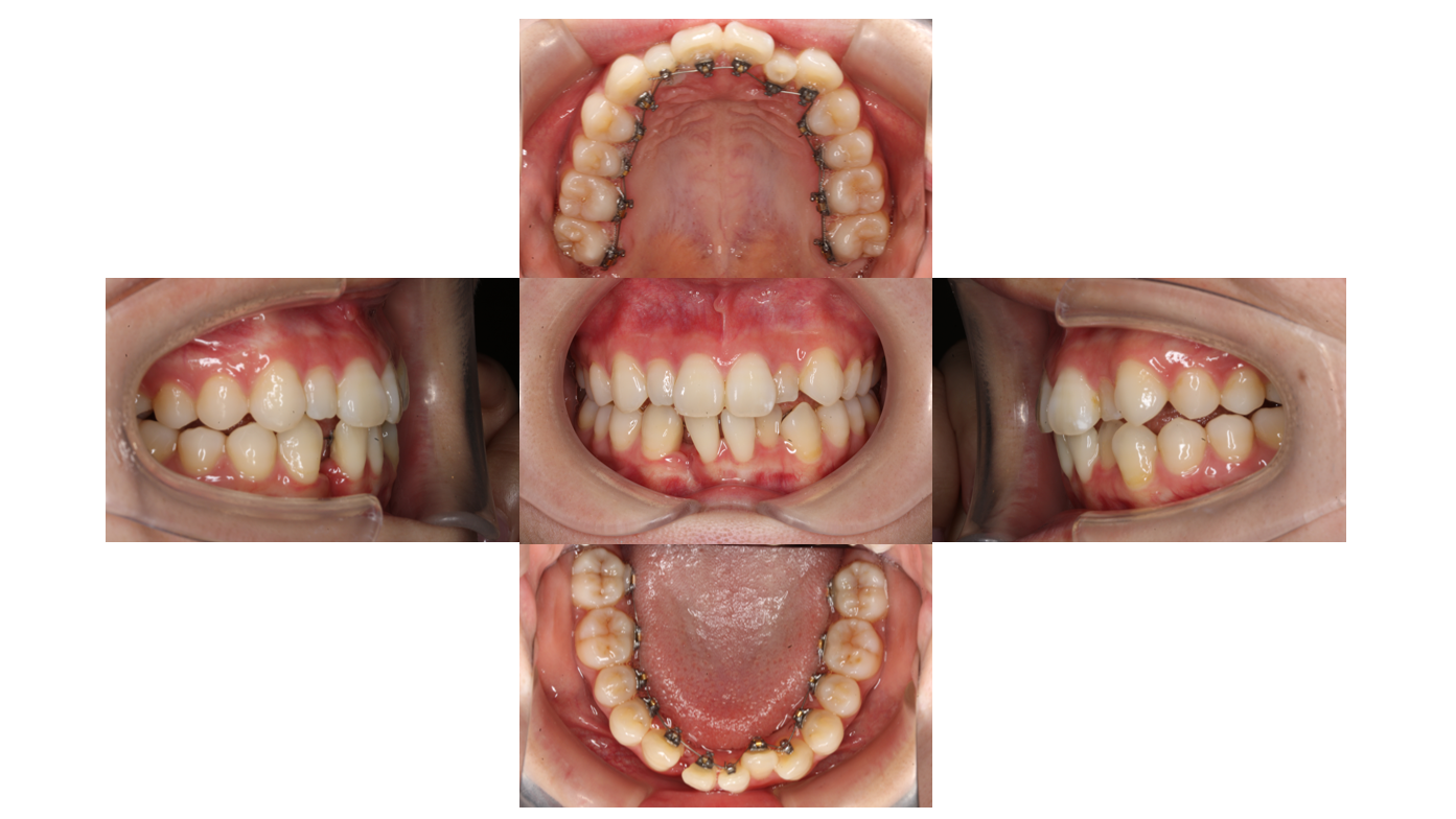
装置装着後
上下とも裏側に装置が付きました
5か月経過
ワイヤーのサイズを上げて歯のがたつきを治していきます
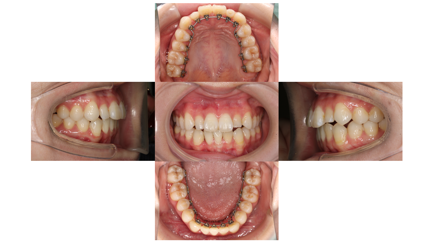
1年経過
表側にボタンを付けて嚙み合わせを治していきます
1年6か月経過
最後の微調整でマウスピース矯正に移行します

