歯の凸凹を治したい(治療期間:8か月/通院8回)
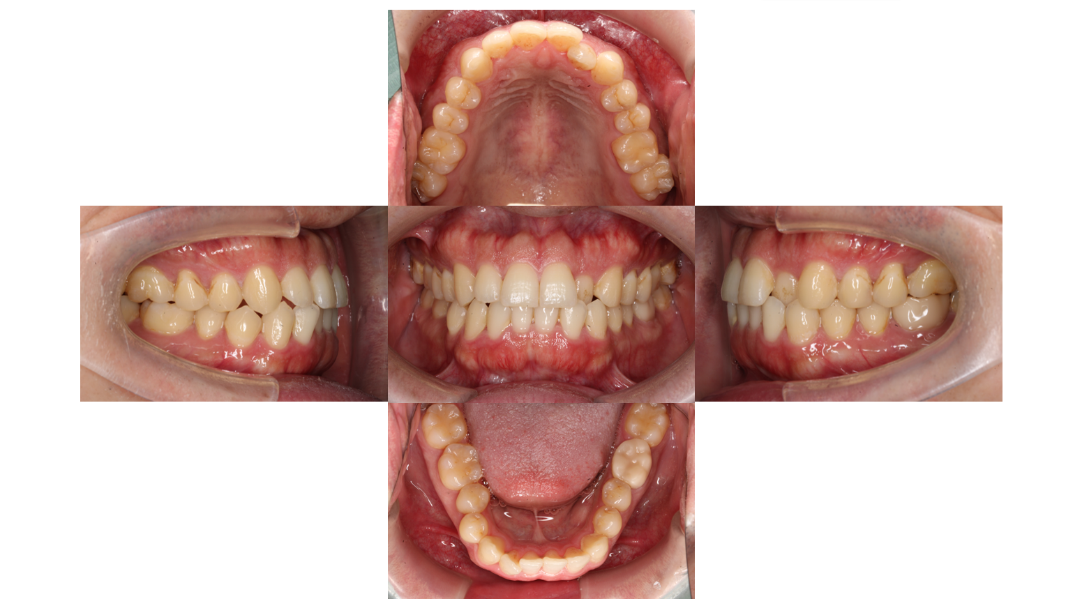
Before
After
| 年齢層 | 30代 |
|---|---|
| 性別 | 男性 |
| 主訴 | 【主訴】歯の凸凹を治したい 【診断・症状】上下凸凹 |
| 治療費用 | 検査・診断:税込38,500円/表側矯正治療(ラビアル矯正):税込1,177,000 |
| 治療期間 | 8か月(8回) |
| 抜歯 | 無(非抜歯) |
| 矯正の装置 | 表側矯正 |
| 副作用・リスク | 歯肉退縮,歯根吸収,疼痛,咬合の違和感,装置の違和感,虫歯,歯肉炎 |
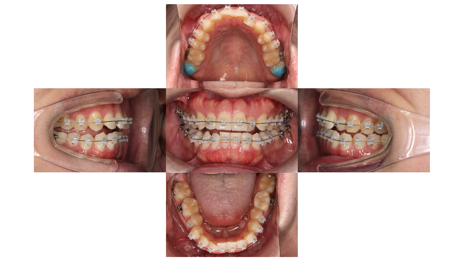
初診
装置装着後
上下表側に装置がつきました
奥の歯に青い材料を盛り下の歯と当たらないようにしています
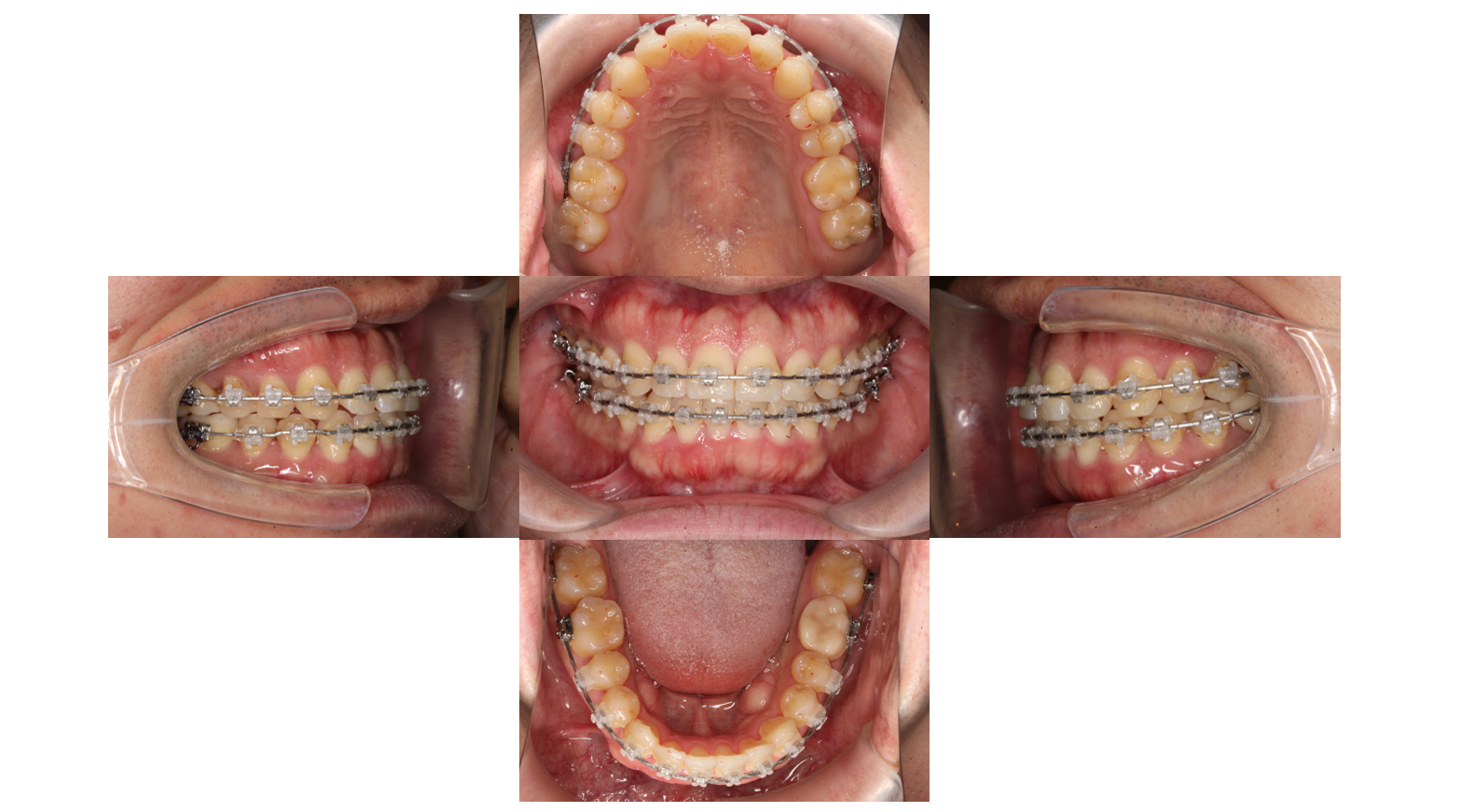
4か月経過
徐々に太いワイヤーに交換していきます
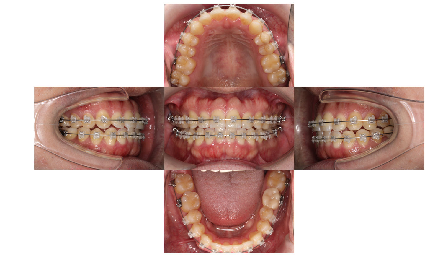
8か月経過
最後に太くてかたいワイヤーを使用し微調整していきます

