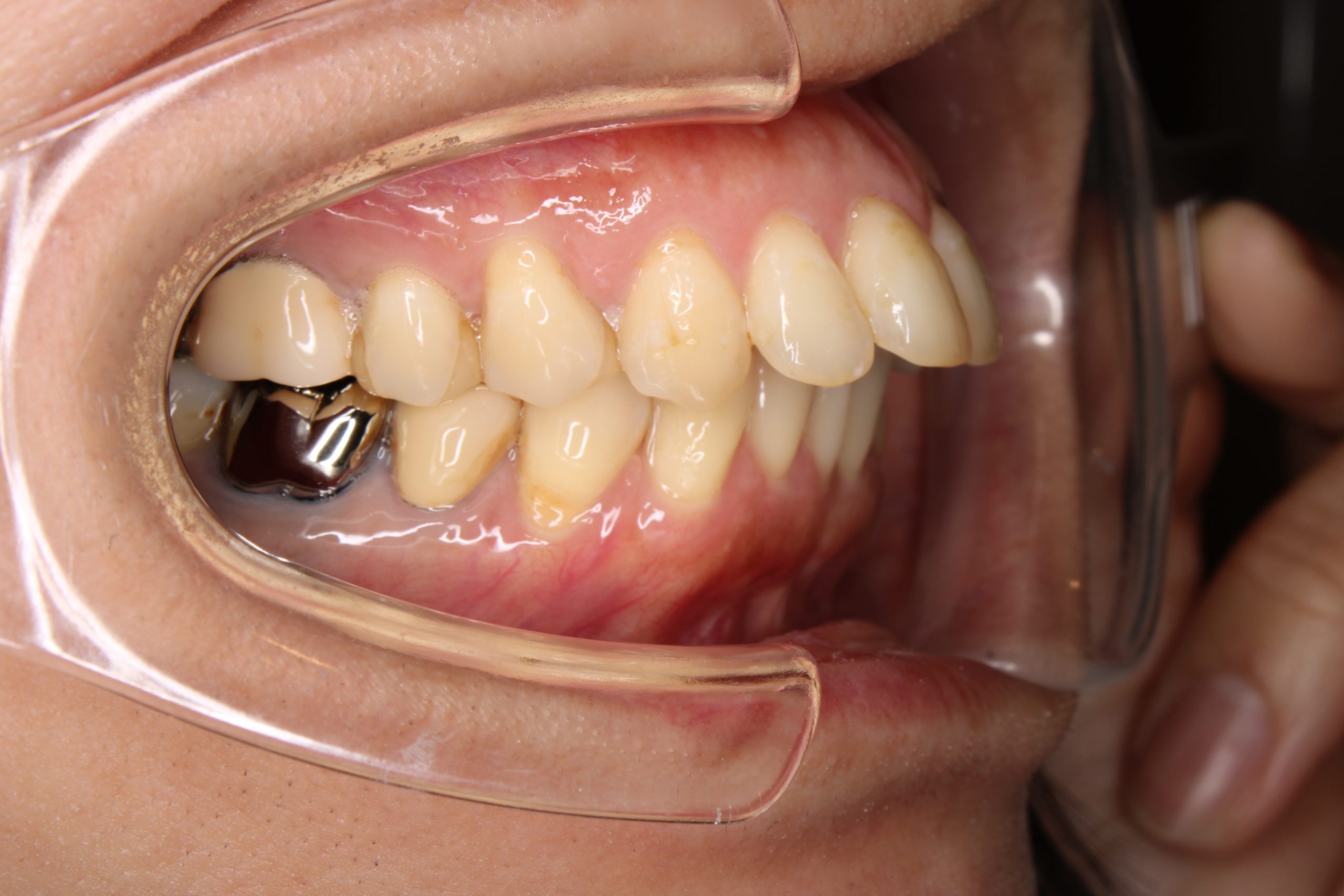
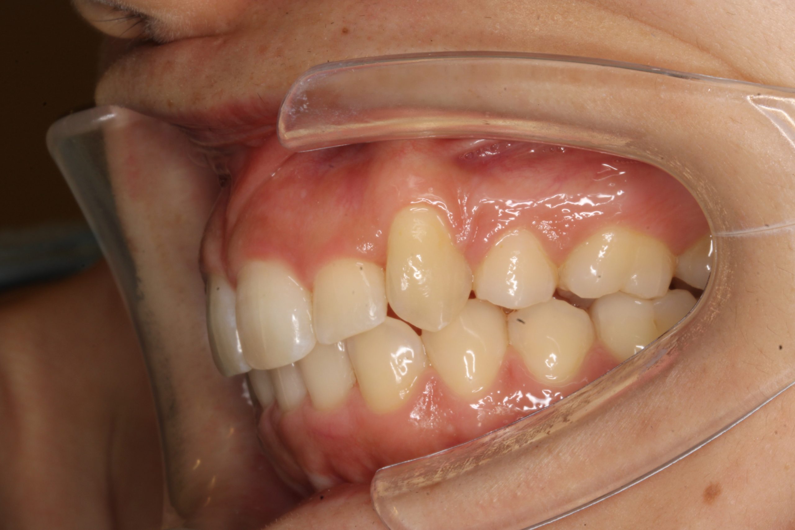
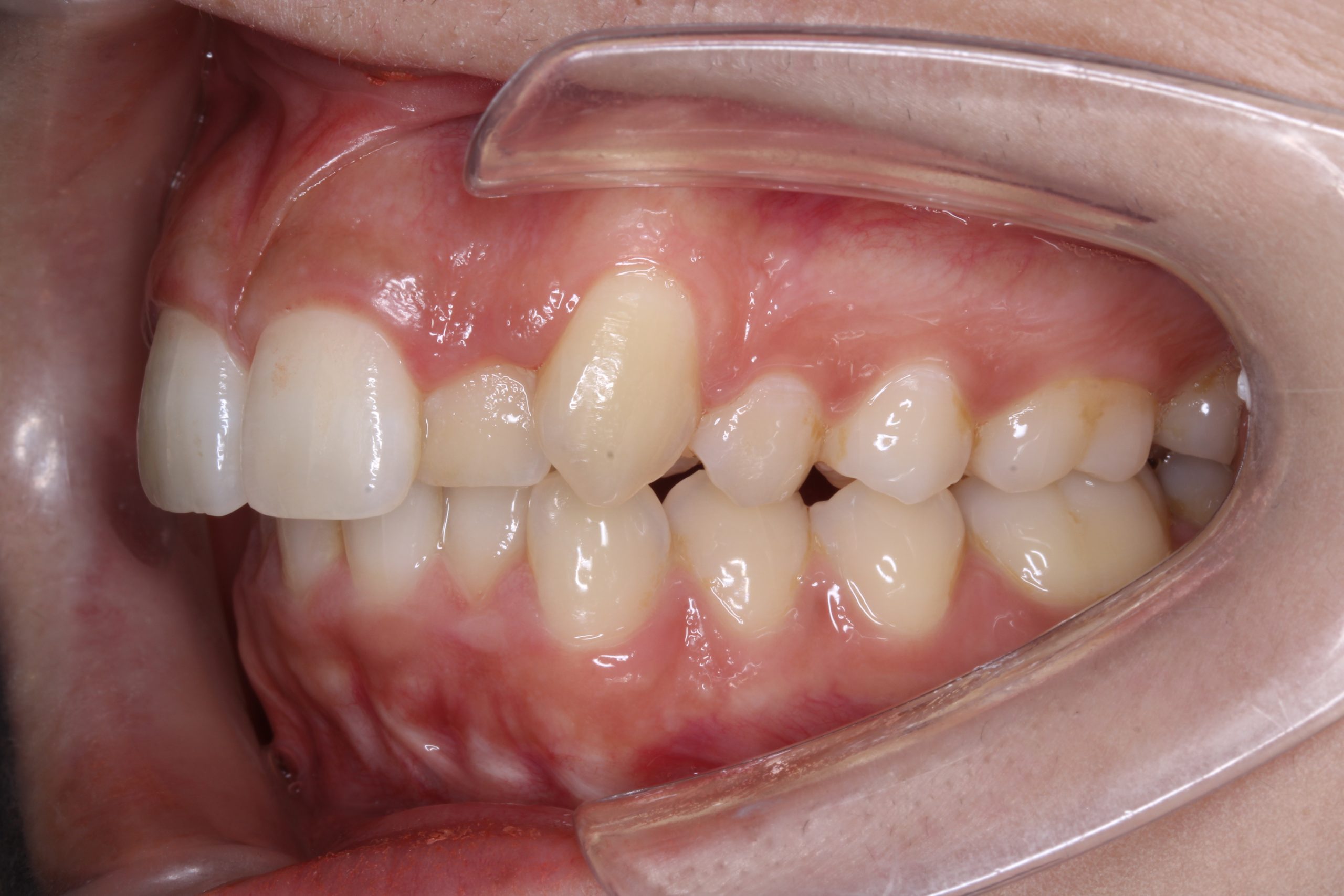
出っ歯を治したい(治療期間:1年2か月 治療回数:13回)
| 年齢層 | 20代 |
|---|---|
| 性別 | 女性 |
| 主訴 | 【主訴】上の歯が出ている・かみ合わせが深い 【診断・症状】上下凸凹・出っ歯(上顎前突)・過蓋咬合 |
| 治療費用 | 検査・診断:税込38,500円/裏側矯正治療(リンガル矯正):税込1,397,000円 |
| 治療期間 | 1年2か月(13回) |
| 抜歯 | 有(上4,4)(下左4) |
| 矯正の装置 | 裏側矯正(舌側矯正) |
| 副作用・リスク | 歯肉退縮,歯根吸収,疼痛,咬合の違和感,装置の違和感,虫歯,歯肉炎 |
Before

