出っ歯を治したい(治療期間:1年11か月/通院回数:20回)

Before

After
年齢層 | 40代 |
---|---|
性別 | 女性 |
主訴 | 【主訴】出っ歯を治したい【診断・症状】上顎前突 |
治療費用 | 検査・診断:税込38,500円/ハーフリンガル矯正:税込1,287,000円 |
治療期間 | 1年11か月(20回) |
抜歯 | 有(上5) |
矯正の装置 | ハーフリンガル矯正 |
副作用・リスク | 歯肉退縮,歯根吸収,疼痛,咬合の違和感,装置の違和感,虫歯,歯肉炎 |
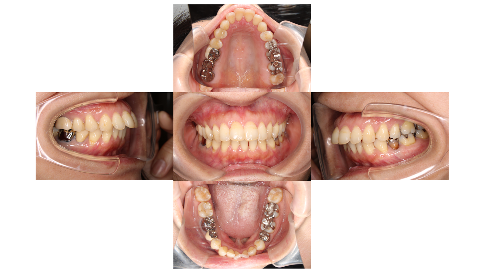
初診

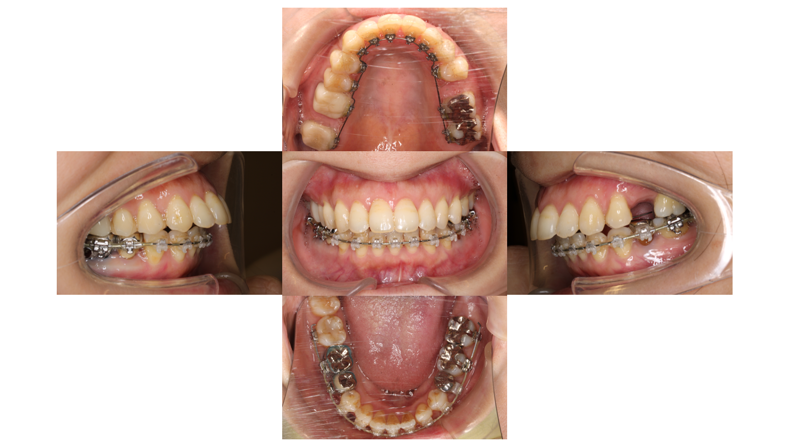
装置装着後

上は裏側 下は表側に装置がつきました
5か月経過

細いワイヤーで歯のがたつきを改善していきます
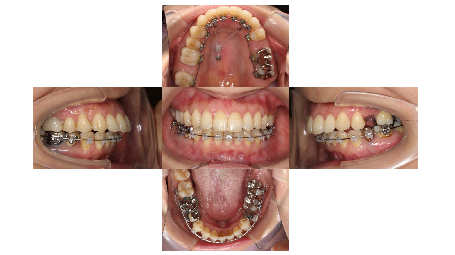
1年経過

ネジとフックを繋ぎ前歯を後ろに下げていきます
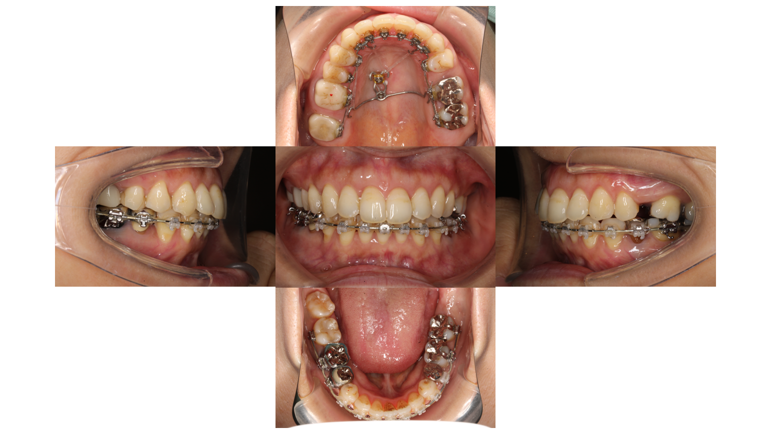
1年6か月経過

大きめのフックを使い前歯を後ろに下げます
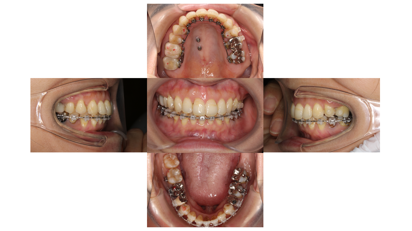
1年11か月経過

太いワイヤーとボタンでゴムかけをしてもらい最後の微調整をしていきます