アンカースクリュー

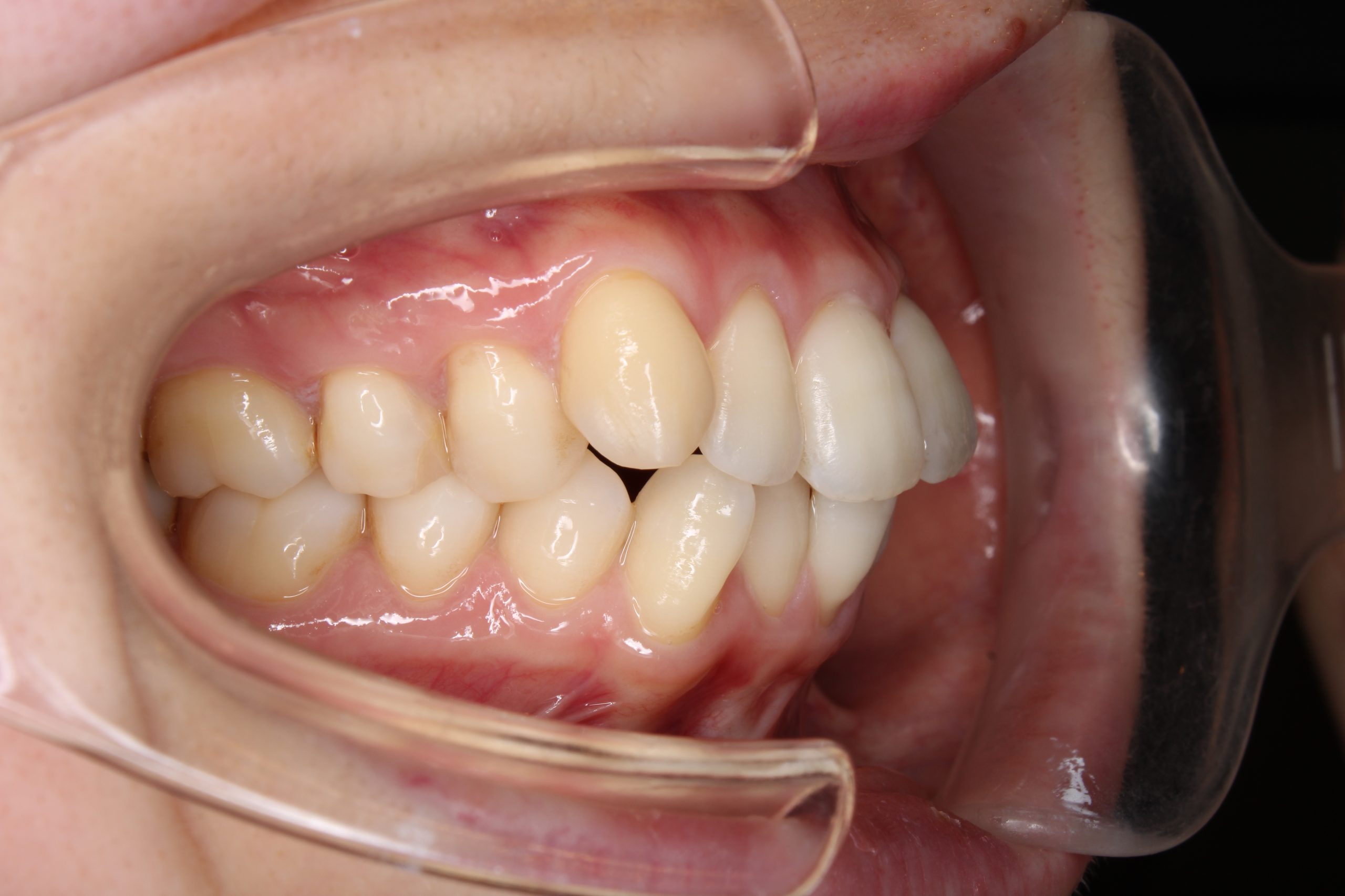
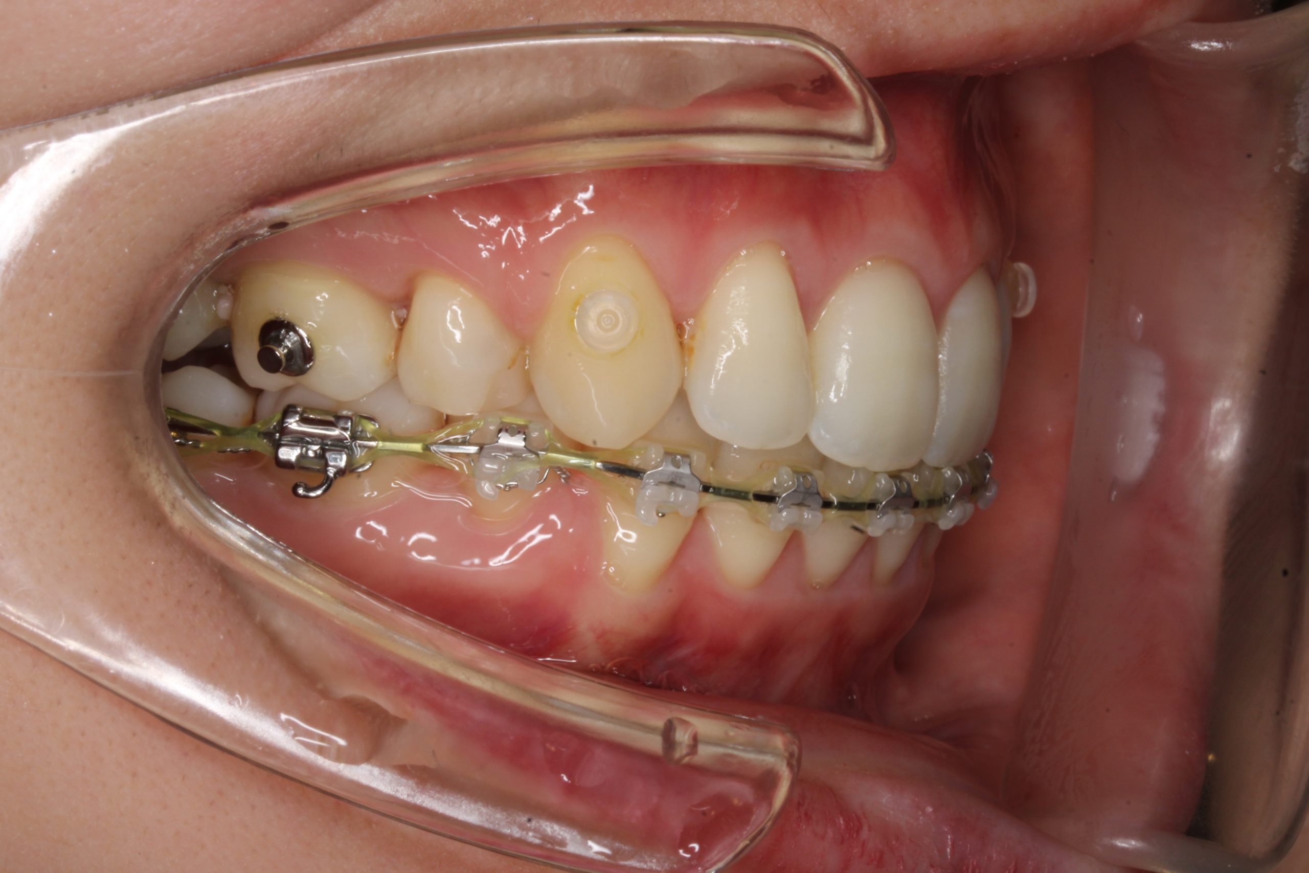
出っ歯を治したい(治療期間:2年 治療回数:24回)

年齢層 20代
性別 女性
主訴 【主訴】出っ歯を治したい 【診断・症状】上顎前突
治療費用 検査・診断:税込38,500円/裏側矯正治療(リンガル矯正):税込1,397,000円
治療期間 2年(24回)
抜歯 有(上4,4)(下5,5)
矯正の装置 リンガル矯正
副作用・リスク 歯肉退縮,歯根吸収,疼痛,咬合の違和感,装置の違和感,虫歯,歯肉炎
出っ歯を治したい‐リンガルの症例

Before

出っ歯を治したい‐リンガルの症例

After

詳しく見る


出っ歯を治したい(治療期間:1年2か月 治療回数:13回)

年齢層 20代
性別 女性
主訴 【主訴】上の歯が出ている・かみ合わせが深い 【診断・症状】上下凸凹・出っ歯(上顎前突)・過蓋咬合
治療費用 検査・診断:税込38,500円/裏側矯正治療(リンガル矯正):税込1,397,000円
治療期間 1年2か月(13回)
抜歯 有(上4,4)(下左4)
矯正の装置 裏側矯正(舌側矯正)
副作用・リスク 歯肉退縮,歯根吸収,疼痛,咬合の違和感,装置の違和感,虫歯,歯肉炎
出っ歯を治したい‐リンガルの症例

Before

After

詳しく見る


出っ歯を治したい(治療期間:1年3か月/治療回数:13回)

年齢層 20代
性別 女性
主訴 【主訴】上の歯が出ている 【診断・症状】上下凸凹、出っ歯(上顎前突)
治療費用 検査・診断:税込38,500円/ハーフリンガル矯正:税込1,287,000円
治療期間 1年3か月(13回)
抜歯 有(上4,4)
矯正の装置 ハーフリンガル矯正
副作用・リスク 歯肉退縮,歯根吸収,疼痛,咬合の違和感,装置の違和感,虫歯,歯肉炎
出っ歯を治したい‐ハーフリンガルの症例

Before

出っ歯を治したい‐ハーフリンガルの症例

After

詳しく見る


八重歯を治したい(治療期間:1年7カ月 治療回数:21回)

年齢層 10代
性別 女性
主訴 【主訴】八重歯が気になる 【診断・症状】上凸凹
治療費用 検査・診断:税込38,500円/裏側矯正治療(リンガル矯正):税込1,397,000円
治療期間 1年7か月(21回)
抜歯 有(上4,4)(下4,4)
矯正の装置 リンガル矯正
副作用・リスク 歯肉退縮,歯根吸収,疼痛,咬合の違和感,装置の違和感,虫歯,歯肉炎
八重歯を治したい₋リンガルの症例

Before

八重歯を治したい₋リンガルの症例

After

詳しく見る


かみ合わせが深い(治療期間1年8か月/通院回数18回)

年齢層 20代
性別 女性
主訴 【主訴】かみ合わせが深い【診断・症状】過蓋咬合
治療費用 検査・診断:税込38,500円/裏側矯正治療(リンガル矯正):税込1,397,000円
治療期間 1年8か月(18回)
抜歯 有(上4,4)
矯正の装置 裏側矯正(舌側矯正)
副作用・リスク 歯肉退縮,歯根吸収,疼痛,咬合の違和感,装置の違和感,虫歯,歯肉炎
かみ合わせが深い‐リンガルの症例

Before

かみ合わせが深い₋リンガルの症例

After

詳しく見る


出っ歯を治したい(治療期間:2年 治療回数:25回)

年齢層 30代
性別 女性
主訴 【主訴】出っ歯を治したい 【診断・症状】上凸凹、出っ歯(上顎前突)
治療費用 検査・診断:税込38,500円/ハーフリンガル矯正:税込1,287,000円
治療期間 2年(25回)
抜歯 有(上4,4)(下1)
矯正の装置 ハーフリンガル矯正
副作用・リスク 歯肉退縮,歯根吸収,疼痛,咬合の違和感,装置の違和感,虫歯,歯肉炎
出っ歯を治したい₋ハーフリンガルの症例

Before

After

詳しく見る


八重歯を治したい(治療期間:2年7か月/治療回数28回)

年齢層 20代
性別 女性
主訴 【主訴】八重歯が気になる 【診断・症状】上下凸凹
治療費用 検査・診断:税込38,500円/裏側矯正治療(リンガル矯正):税込1,397,000円
治療期間 2年7か月(28回)
抜歯 有(上4,5)(下4,4)
矯正の装置 リンガル矯正
副作用・リスク 歯肉退縮,歯根吸収,疼痛,咬合の違和感,装置の違和感,虫歯,歯肉炎
八重歯を治したい₋リンガルの症例

Before

八重歯を治したい₋リンガルの症例

After

詳しく見る


Eラインを整えたい(治療期間2年 通院回数31回)

年齢層 20代
性別 男性
主訴 【主訴】Eラインを整えたい 【診断・症状】上下顎前突
治療費用 検査・診断:税込38,500円/ハーフリンガル矯正:税込1,287,000円
治療期間 7か月(7回)
抜歯 有(上4,4)
矯正の装置 ハーフリンガル矯正
副作用・リスク 歯肉退縮,歯根吸収,疼痛,咬合の違和感,装置の違和感,虫歯,歯肉炎
Eラインを整えたい

Before

Eラインを整えたい

After

詳しく見る


Eライン整えたい(治療期間2年2か月 通院回数25回)

年齢層 20代
性別 女性
主訴 【主訴】Eラインを整えたい 【診断・症状】上下顎前突
治療費用 検査・診断:税込38,500円/ハーフリンガル矯正:税込1,287,000円
治療期間 2年1か月(25回)
抜歯 有(上4,4)
矯正の装置 ハーフリンガル矯正
副作用・リスク 歯肉退縮,歯根吸収,疼痛,咬合の違和感,装置の違和感,虫歯,歯肉炎
Eラインを整えたい₋ハーフリンガルの症例

Before

Eラインを整えたい₋ハーフリンガルの症例

After

詳しく見る


出っ歯を治したい(治療期間:2年2か月 通院期間:26回)

年齢層 30代
性別 女性
主訴 【主訴】出っ歯を治したい 【診断・症状】出っ歯(上顎前突)
治療費用 検査・診断:税込38,500円/ハーフリンガル矯正:税込1,287,000円
治療期間 2年2か月(26回)
抜歯 有(上4,4)(右下4,左下5)
矯正の装置 ハーフリンガル矯正
副作用・リスク 歯肉退縮,歯根吸収,疼痛,咬合の違和感,装置の違和感,虫歯,歯肉炎
出っ歯を治したい₋ハーフリンガルの症例

Before

出っ歯を治したい₋ハーフリンガルの症例

After

詳しく見る


歯の凸凹を治したい(治療期間:2年1か月/治療回数28回)

年齢層 30代
性別 男性
主訴 【主訴】歯の凸凹を治したい 【診断・症状】上下凸凹
治療費用 検査・診断:税込38,500円/裏側矯正治療(リンガル矯正):税込1,397,000円
治療期間 2年1か月(21回)
抜歯 有(上4,4)(下5,5)
矯正の装置 リンガル矯正
副作用・リスク 歯肉退縮,歯根吸収,疼痛,咬合の違和感,装置の違和感,虫歯,歯肉炎
歯の凸凹を治したい‐リンガルの症例

Before

歯の凸凹を治したい‐リンガルの症例

After

詳しく見る


出っ歯を治したい(治療期間:2年6か月/治療回数:26回)

年齢層 20代
性別 女性
主訴 【主訴】上の歯が出ている 【診断・症状】出っ歯(上顎前突)
治療費用 検査・診断:税込38,500円/裏側矯正治療(リンガル矯正):税込1,397,000円
治療期間 2年6か月(26回)
抜歯 有(上4,4)(下5,5)
矯正の装置 リンガル矯正
副作用・リスク 歯肉退縮,歯根吸収,疼痛,咬合の違和感,装置の違和感,虫歯,歯肉炎
出っ歯を治したい‐リンガルの症例

Before

出っ歯を治したい‐リンガルの症例

After

詳しく見る


八重歯を治したい(治療期間:2年/治療回数23回)

年齢層 20代
性別 女性
主訴 【主訴】八重歯が気になる 【診断・症状】上下凸凹
治療費用 検査・診断:税込38,500円/ハーフリンガル矯正:税込1,287,000円
治療期間 2年(23回)
抜歯 有(上4,4)(右下1)
矯正の装置 ハーフリンガル矯正
副作用・リスク 歯肉退縮,歯根吸収,疼痛,咬合の違和感,装置の違和感,虫歯,歯肉炎
八重歯を治したい‐ハーフリンガルの症例

Before

八重歯を治したい‐ハーフリンガルの症例

After

詳しく見る


歯の凸凹を治したい(治療期間:1年11か月/通院期間22回)

年齢層 20代
性別 女性
主訴 【主訴】歯の凸凹を治したい 【診断・症状】上下凸凹
治療費用 検査・診断:税込38,500円/裏側矯正治療(リンガル矯正):税込1,397,000円
治療期間 1年11か月(22回)
抜歯 有(上5,5)(下5,5)
矯正の装置 裏側矯正(舌側矯正)
副作用・リスク 歯肉退縮,歯根吸収,疼痛,咬合の違和感,装置の違和感,虫歯,歯肉炎
歯の凸凹を治したい₋リンガルの症例

Before

歯の凸凹を治したい₋リンガルの症例

After

詳しく見る


歯の凸凹を治したい(治療期間:2年11か月/通院期間35回)

年齢層 30代
性別 女性
主訴 【主訴】歯の凸凹を治したい 【診断・症状】上凸凹
治療費用 検査・診断:税込38,500円/裏側矯正治療(リンガル矯正):税込1,397,000円
治療期間 2年11か月(35回)
抜歯 有(上4,4)(下右5)
矯正の装置 リンガル矯正
副作用・リスク 歯肉退縮,歯根吸収,疼痛,咬合の違和感,装置の違和感,虫歯,歯肉炎
出っ歯を治したい₋リンガルの症例

Before

出っ歯を治したい₋リンガルの症例

After

詳しく見る


出っ歯を治したい(治療期間:1年11か月/通院回数:20回)

年齢層 40代
性別 女性
主訴 【主訴】出っ歯を治したい【診断・症状】上顎前突
治療費用 検査・診断:税込38,500円/ハーフリンガル矯正:税込1,287,000円
治療期間 1年11か月(20回)
抜歯 有(上5)
矯正の装置 ハーフリンガル矯正
副作用・リスク 歯肉退縮,歯根吸収,疼痛,咬合の違和感,装置の違和感,虫歯,歯肉炎
出っ歯を治したい₋ハーフリンガルの症例

Before

出っ歯を治したい₋ハーフリンガルの症例

After

詳しく見る


かみ合わせを治したい(通院期間:1年4か月/通院17回)

年齢層 20代
性別 女性
主訴 【主訴】かみ合わせが深い【診断・症状】過蓋咬合 
治療費用 検査・診断:税込38,500円/裏側矯正治療(リンガル矯正):税込1,397,000円
治療期間 1年4か月(17回)
抜歯 無(非抜歯)
矯正の装置 リンガル矯正
副作用・リスク 歯肉退縮,歯根吸収,疼痛,咬合の違和感,装置の違和感,虫歯,歯肉炎
かみ合わせを治したい₋リンガルの症例

Before

かみ合わせを治したい₋リンガルの症例

After

詳しく見る


出っ歯を治したい(治療期間:2年1か月/通院25回)

年齢層 20代
性別 女性
主訴 【主訴】出っ歯を治したい 【診断・症状】上下凸凹、出っ歯(上顎前突)
治療費用 検査・診断:税込38,500円/ハーフリンガル矯正:税込1,287,000円
治療期間 2年1か月(25回)
抜歯 有(上4,4)(下4,4)
矯正の装置 ハーフリンガル矯正
副作用・リスク 歯肉退縮,歯根吸収,疼痛,咬合の違和感,装置の違和感,虫歯,歯肉炎
出っ歯を治したい・ハーフリンガルの症例

Before

出っ歯を治したい・ハーフリンガルの症例

After

詳しく見る


出っ歯を治したい(治療期間:1年6か月/通院18回)

年齢層 20代
性別 男性
主訴 【主訴】出っ歯を治したい 【診断・症状】上下凸凹、出っ歯(上顎前突)
治療費用 検査・診断:税込38,500円/裏側矯正治療(リンガル矯正):税込1,397,000円
治療期間 1年6か月(18回)
抜歯 有(上4,4)(下4,4)
矯正の装置 裏側矯正(舌側矯正)
副作用・リスク 歯肉退縮,歯根吸収,疼痛,咬合の違和感,装置の違和感,虫歯,歯肉炎
前歯の前突・リンガルの症例

Before

前歯の前突・リンガルの症例

After

詳しく見る


出っ歯を治したい(治療期間:1年6か月/通院21回)

年齢層 20代
性別 女性
主訴 【主訴】出っ歯を治したい 【診断・症状】上下凸凹、出っ歯(上顎前突)
治療費用 検査・診断:税込38,500円/ハーフリンガル矯正:税込1,287,000円
治療期間 1年6か月(21回)
抜歯 有(上4,4)(下4,4)
矯正の装置 ハーフリンガル矯正
副作用・リスク 歯肉退縮,歯根吸収,疼痛,咬合の違和感,装置の違和感,虫歯,歯肉炎
出っ歯を治したい・ハーフリンガルの症例

Before

出っ歯を治したい・ハーフリンガルの症例

After

詳しく見る