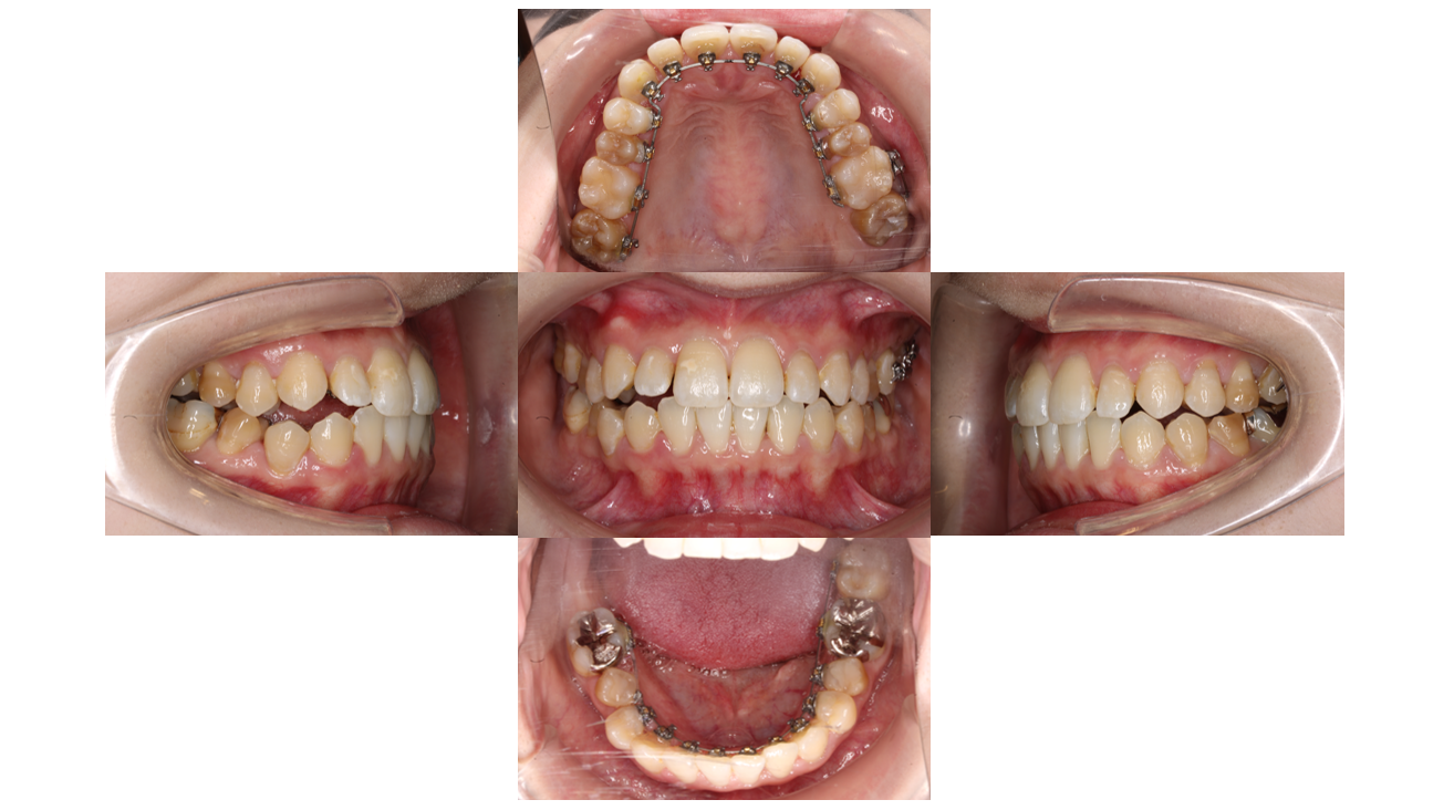
かみ合わせを治したい(治療期間:1年4カ月/通院17回)
Before
After
| 年齢層 | 30代 |
|---|---|
| 性別 | 女性 |
| 主訴 | 【主訴】かみ合わせが深い【診断・症状】過蓋咬合 |
| 治療費用 | 検査・診断:税込38,500円/裏側矯正治療(リンガル矯正):税込1,397,000円 |
| 治療期間 | 1年4カ月(17回) |
| 抜歯 | 非抜歯 |
| 矯正の装置 | 裏側矯正(舌側矯正) |
| 副作用・リスク | 歯肉退縮,歯根吸収,疼痛,咬合の違和感,装置の違和感,虫歯,歯肉炎 |
初診
装置装着後
上下裏側に装置がつきました
4か月経過
最初に全体的ながたつきを改善します
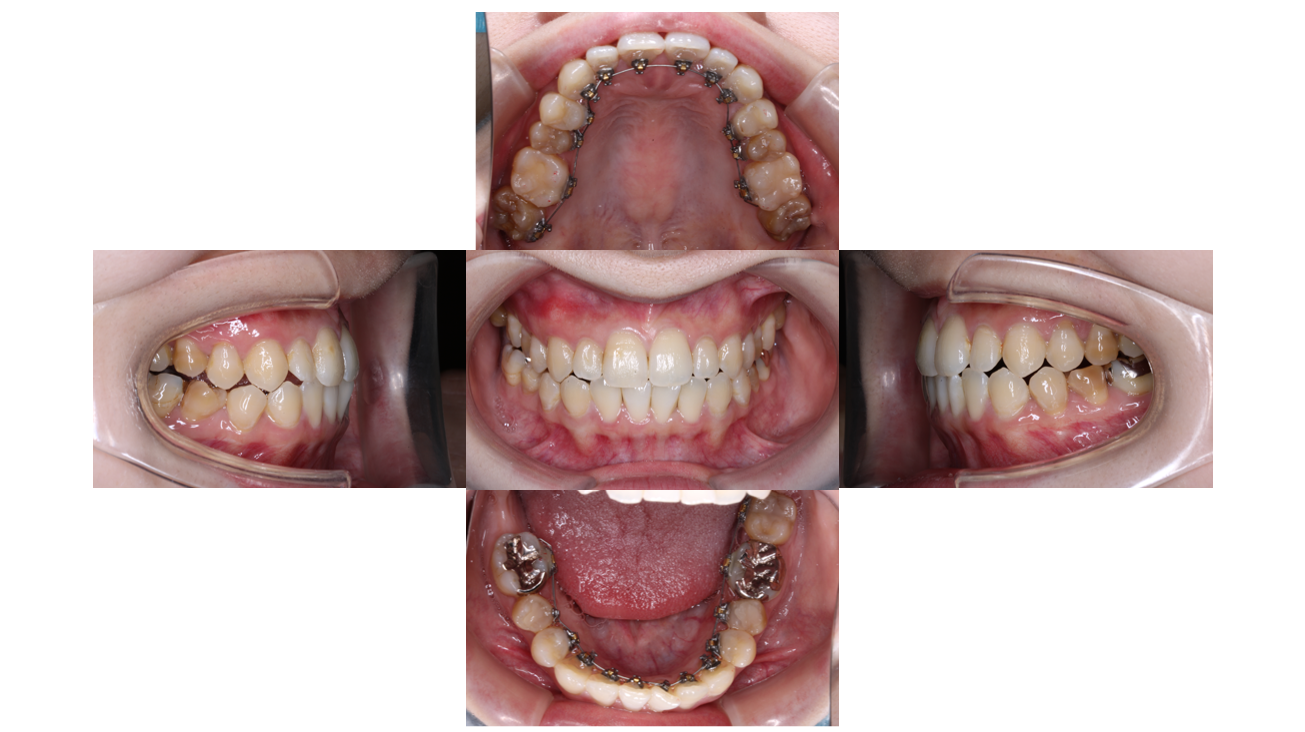
8カ月経過
徐々にワイヤーのサイズを上げていき、歯の動きにより力を加えていきます
1年経過
上下にボタンをつけて顎間ゴムをかけ、かみ合わせを整えていきます
1年4か月経過
ゴムかけしていることで上下のかみ合わせが綺麗になってきました

