歯の凸凹を治したい(通院期間:7カ月/通院9回)
Before
After
| 年齢層 | 30代 |
|---|---|
| 性別 | 女性 |
| 主訴 | 【主訴】歯の凸凹を治したい 【診断・症状】上下凸凹 |
| 治療費用 | 検査・診断:税込38,500円/裏側矯正治療(リンガル矯正):税込1,397,000円 |
| 治療期間 | 7か月(9回) |
| 抜歯 | 無(非抜歯) |
| 矯正の装置 | リンガル矯正 |
| 副作用・リスク | 歯肉退縮,歯根吸収,疼痛,咬合の違和感,装置の違和感,虫歯,歯肉炎 |
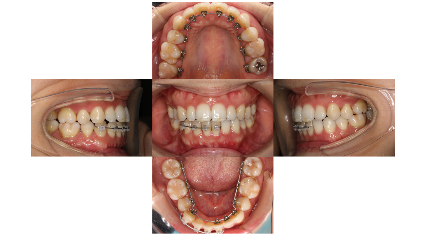
初診
装置装着後
上下裏側に矯正装置が付きました
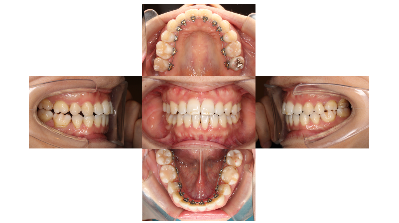
4か月経過
ある程度歯のがたつきが改善したら太いワイヤーにサイズを交換していきます
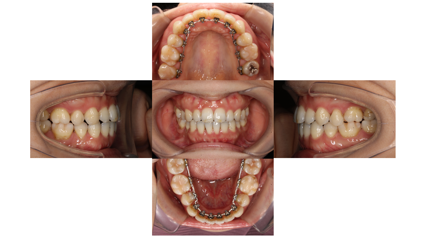
7か月経過
歯がある程度並んできたら最後の微調整をしていきます(一時的に下顎表側に装置を付けています)

