かみ合わせを治したい(通院期間:1年4か月/通院17回)

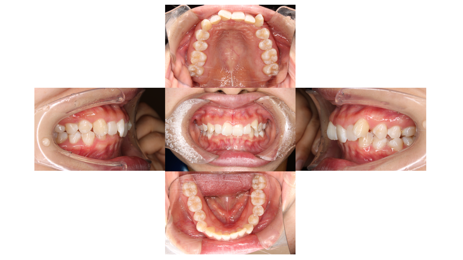
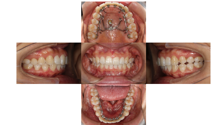
Before

After
年齢層 | 20代 |
---|---|
性別 | 女性 |
主訴 | 【主訴】かみ合わせが深い【診断・症状】過蓋咬合 |
治療費用 | 検査・診断:税込38,500円/裏側矯正治療(リンガル矯正):税込1,397,000円 |
治療期間 | 1年4か月(17回) |
抜歯 | 無(非抜歯) |
矯正の装置 | リンガル矯正 |
副作用・リスク | 歯肉退縮,歯根吸収,疼痛,咬合の違和感,装置の違和感,虫歯,歯肉炎 |
初診

装置装着後

上下裏側に装置がつきました
下の歯と装置が当たる場所があるので青い材料を歯に盛り、当たらないようにしています
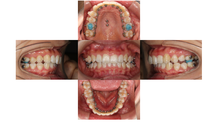
6か月経過

噛み合わせを良くするためにボタンを使用し、ゴムかけをしていきます
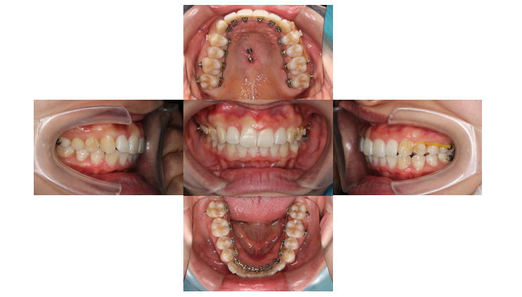
1年経過

歯と装置が当たらないようになったので青い材料を外します
右側から3番目の歯は他の歯と比べてねじれがある歯なのでゴムかけをして改善していきます
1年5か月経過

上あごのフックで最後の微調整をしていきます