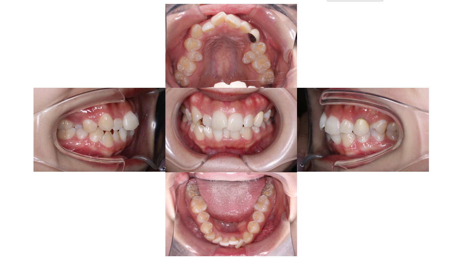
歯の凸凹を治したい(治療期間:1年11か月/通院期間22回)

Before

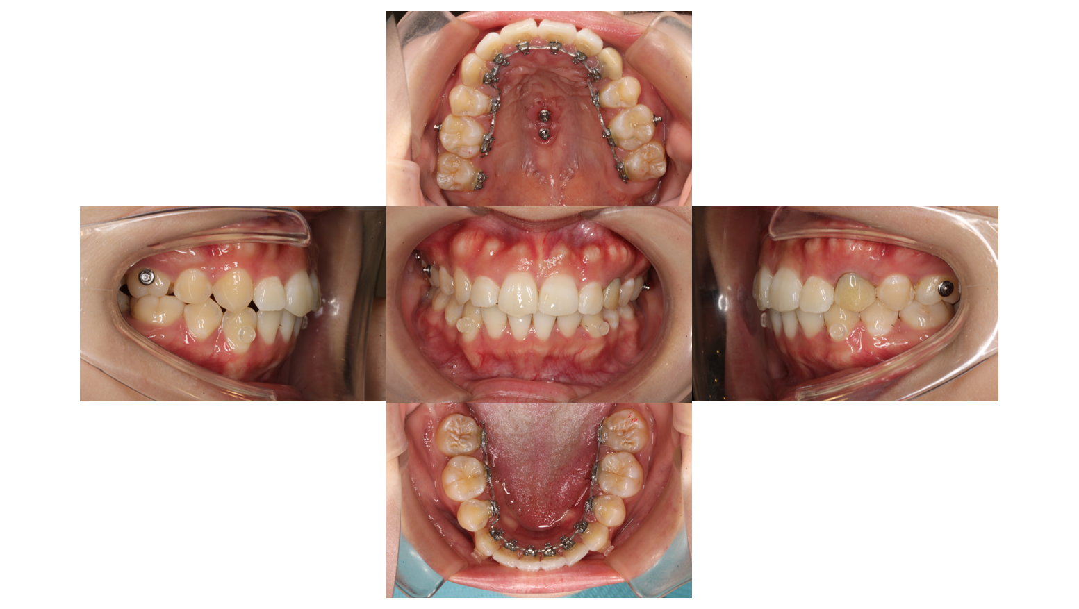
After
年齢層 | 20代 |
---|---|
性別 | 女性 |
主訴 | 【主訴】歯の凸凹を治したい 【診断・症状】上下凸凹 |
治療費用 | 検査・診断:税込38,500円/裏側矯正治療(リンガル矯正):税込1,397,000円 |
治療期間 | 1年11か月(22回) |
抜歯 | 有(上5,5)(下5,5) |
矯正の装置 | 裏側矯正(舌側矯正) |
副作用・リスク | 歯肉退縮,歯根吸収,疼痛,咬合の違和感,装置の違和感,虫歯,歯肉炎 |
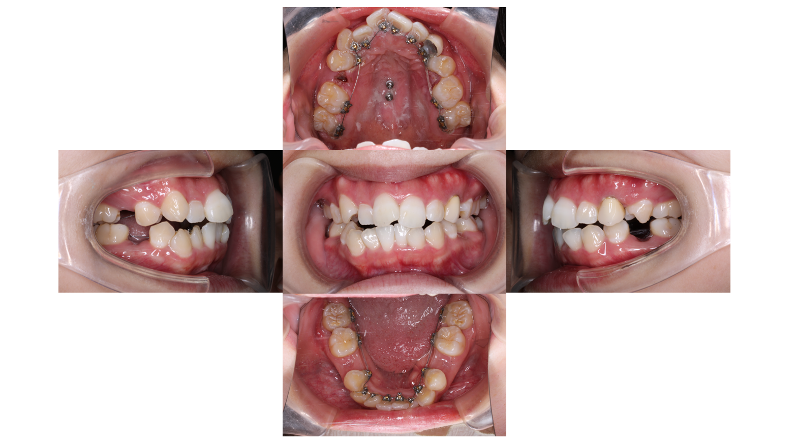
初診

装置装着後

上下裏側に装置がつきました
上あごについているネジは前歯を後ろに下げるために使用します
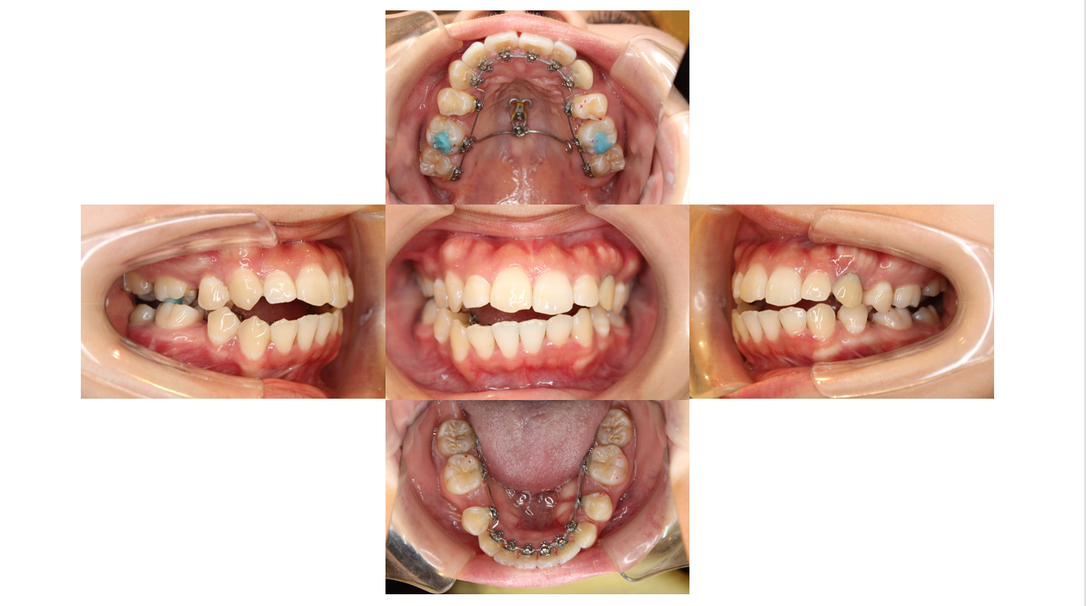
6か月経過

ある程度歯が並んで来たら太いワイヤーに交換していきます
下の歯と装置が当たらないように青い材料を盛ります
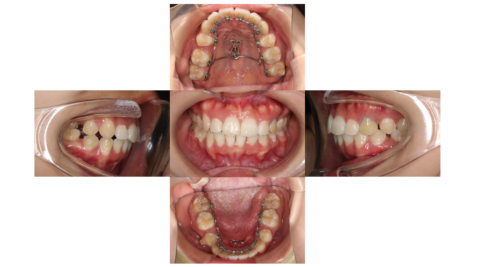
1年経過

前歯を後ろに下げるためにフックにゴムかけしていきます
1年11か月経過

全体的に隙間が空いてこないようにゴムかけをしていきます