歯の凸凹を治したい(治療期間:2年11か月/通院期間35回)

Before

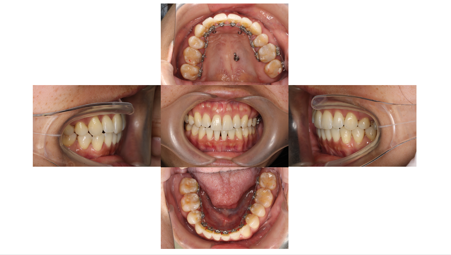
After
年齢層 | 30代 |
---|---|
性別 | 女性 |
主訴 | 【主訴】歯の凸凹を治したい 【診断・症状】上凸凹 |
治療費用 | 検査・診断:税込38,500円/裏側矯正治療(リンガル矯正):税込1,397,000円 |
治療期間 | 2年11か月(35回) |
抜歯 | 有(上4,4)(下右5) |
矯正の装置 | リンガル矯正 |
副作用・リスク | 歯肉退縮,歯根吸収,疼痛,咬合の違和感,装置の違和感,虫歯,歯肉炎 |
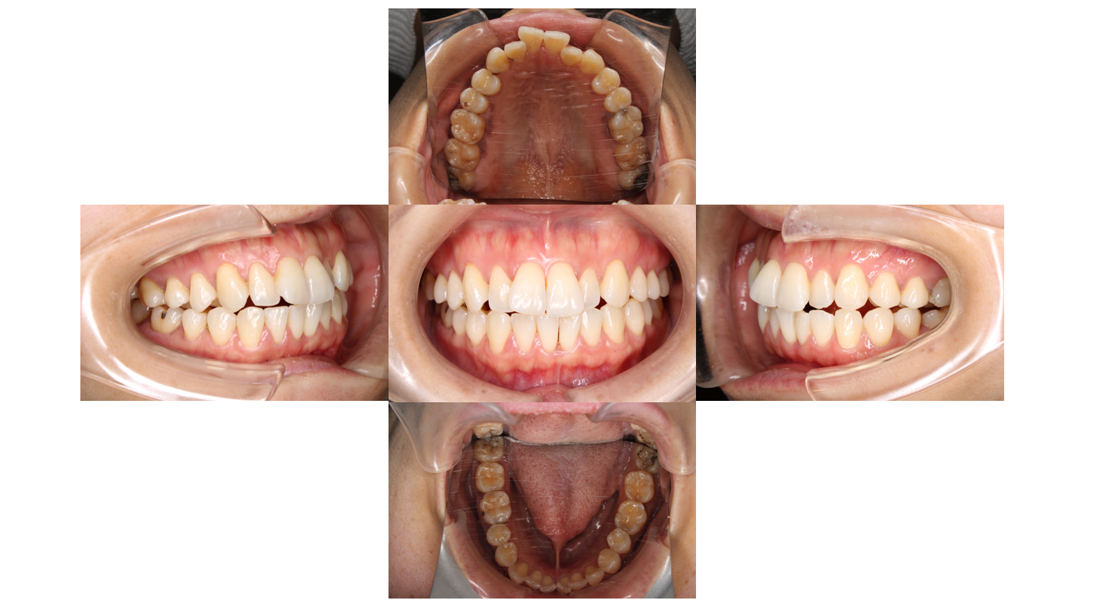
初診

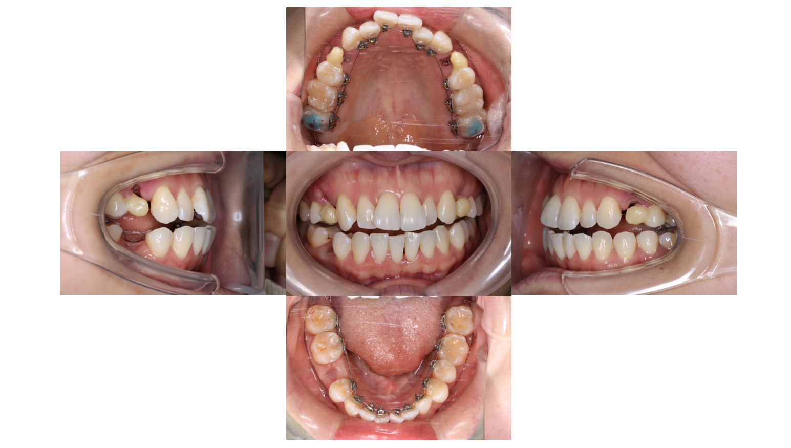
装置装着後

上下裏側に装置がつきました
下の歯と装置が当たらないように青い材料を盛っています
7か月経過

前歯のがたつきが改善したので前歯についていた小さい装置を大きい装置に変えています
1年6か月経過

左側は装置が当たらないのと奥歯で噛めているので青い材料を外しています
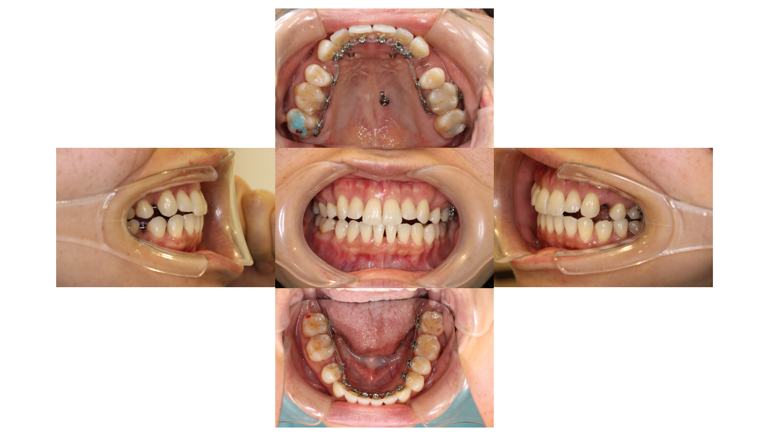
2年経過

フックからねじでゴムかけをして前歯を後ろに下げます
2年11か月経過

全体的に装置にゴムかけをして歯に隙間が空いてこないように調整します