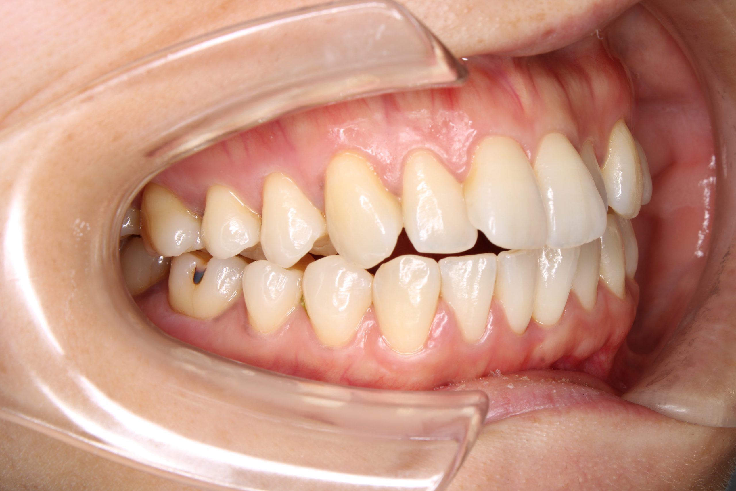
歯の凸凹を治したい(治療期間:2年11か月/通院期間35回)
年齢層 | 30代 |
---|---|
性別 | 女性 |
主訴 | 【主訴】歯の凸凹を治したい 【診断・症状】上凸凹 |
治療費用 | 検査・診断:税込38,500円/裏側矯正治療(リンガル矯正):税込1,397,000円 |
治療期間 | 2年11か月(35回) |
抜歯 | 有(上4,4)(下右5) |
矯正の装置 | リンガル矯正 |
副作用・リスク | 歯肉退縮,歯根吸収,疼痛,咬合の違和感,装置の違和感,虫歯,歯肉炎 |

Before

年齢層 | 30代 |
---|---|
性別 | 女性 |
主訴 | 【主訴】歯の凸凹を治したい 【診断・症状】上凸凹 |
治療費用 | 検査・診断:税込38,500円/裏側矯正治療(リンガル矯正):税込1,397,000円 |
治療期間 | 2年11か月(35回) |
抜歯 | 有(上4,4)(下右5) |
矯正の装置 | リンガル矯正 |
副作用・リスク | 歯肉退縮,歯根吸収,疼痛,咬合の違和感,装置の違和感,虫歯,歯肉炎 |
年齢層 | 30代 |
---|---|
性別 | 女性 |
主訴 | 【主訴】歯の凸凹を治したい 【診断・症状】上下凸凹 |
治療費用 | 検査・診断:税込38,500円/裏側矯正治療(リンガル矯正):税込1,397,000円 |
治療期間 | 7か月(9回) |
抜歯 | 無(非抜歯) |
矯正の装置 | リンガル矯正 |
副作用・リスク | 歯肉退縮,歯根吸収,疼痛,咬合の違和感,装置の違和感,虫歯,歯肉炎 |
年齢層 | 40代 |
---|---|
性別 | 女性 |
主訴 | 【主訴】出っ歯を治したい【診断・症状】上顎前突 |
治療費用 | 検査・診断:税込38,500円/ハーフリンガル矯正:税込1,287,000円 |
治療期間 | 1年11か月(20回) |
抜歯 | 有(上5) |
矯正の装置 | ハーフリンガル矯正 |
副作用・リスク | 歯肉退縮,歯根吸収,疼痛,咬合の違和感,装置の違和感,虫歯,歯肉炎 |
年齢層 | 20代 |
---|---|
性別 | 女性 |
主訴 | 【主訴】出っ歯を治したい 【診断・症状】上下凸凹、出っ歯(上顎前突) |
治療費用 | 検査・診断:税込38,500円/ハーフリンガル矯正:税込1,287,000円 |
治療期間 | 2年1か月(25回) |
抜歯 | 有(上4,4)(下4,4) |
矯正の装置 | ハーフリンガル矯正 |
副作用・リスク | 歯肉退縮,歯根吸収,疼痛,咬合の違和感,装置の違和感,虫歯,歯肉炎 |
年齢層 | 20代 |
---|---|
性別 | 男性 |
主訴 | 【主訴】出っ歯を治したい 【診断・症状】上下凸凹、出っ歯(上顎前突) |
治療費用 | 検査・診断:税込38,500円/裏側矯正治療(リンガル矯正):税込1,397,000円 |
治療期間 | 1年6か月(18回) |
抜歯 | 有(上4,4)(下4,4) |
矯正の装置 | 裏側矯正(舌側矯正) |
副作用・リスク | 歯肉退縮,歯根吸収,疼痛,咬合の違和感,装置の違和感,虫歯,歯肉炎 |
年齢層 | 20代 |
---|---|
性別 | 女性 |
主訴 | 【主訴】出っ歯を治したい 【診断・症状】上下凸凹、出っ歯(上顎前突) |
治療費用 | 検査・診断:税込38,500円/ハーフリンガル矯正:税込1,287,000円 |
治療期間 | 1年6か月(21回) |
抜歯 | 有(上4,4)(下4,4) |
矯正の装置 | ハーフリンガル矯正 |
副作用・リスク | 歯肉退縮,歯根吸収,疼痛,咬合の違和感,装置の違和感,虫歯,歯肉炎 |
年齢層 | 20代 |
---|---|
性別 | 女性 |
主訴 | 【主訴】出っ歯を治したい 【診断・症状】出っ歯(上顎前突) |
治療費用 | 検査・診断:税込38,500円/裏側矯正治療(リンガル矯正):税込1,397,000円 |
治療期間 | 1年7か月(19回) |
抜歯 | 有(上4,4) |
矯正の装置 | リンガル矯正 |
副作用・リスク | 歯肉退縮,歯根吸収,疼痛,咬合の違和感,装置の違和感,虫歯,歯肉炎 |
年齢層 | 20代 |
---|---|
性別 | 女性 |
主訴 | 【主訴】出っ歯を治したい 【診断・症状】上凸凹、出っ歯(上顎前突) |
治療費用 | 検査・診断:税込38,500円/ハーフリンガル矯正:税込1,287,000円 |
治療期間 | 2年(24回) |
抜歯 | 有(上4,4)(下5,5) |
矯正の装置 | ハーフリンガル矯正 |
副作用・リスク | 歯肉退縮,歯根吸収,疼痛,咬合の違和感,装置の違和感,虫歯,歯肉炎 |
年齢層 | 20代 |
---|---|
性別 | 女性 |
主訴 | 【主訴】出っ歯を治したい 【診断・症状】上凸凹、出っ歯(上顎前突) |
治療費用 | 検査・診断:税込38,500円/ハーフリンガル矯正:税込1,287,000円 |
治療期間 | 1年6か月(17回) |
抜歯 | 有(上4,4) |
矯正の装置 | ハーフリンガル矯正 |
副作用・リスク | 歯肉退縮,歯根吸収,疼痛,咬合の違和感,装置の違和感,虫歯,歯肉炎 |
年齢層 | 20代 |
---|---|
性別 | 女性 |
主訴 | 【主訴】上の歯が出ている 【診断・症状】出っ歯(上顎前突) |
治療費用 | 検査・診断:税込38,500円/ハーフリンガル矯正:税込1,287,000円 |
治療期間 | 1年5か月(16回) |
抜歯 | 有(上4,4) |
矯正の装置 | ハーフリンガル矯正 |
副作用・リスク | 歯肉退縮,歯根吸収,疼痛,咬合の違和感,装置の違和感,虫歯,歯肉炎 |
年齢層 | 20代 |
---|---|
性別 | 女性 |
主訴 | 【主訴】出っ歯を治したい 【診断・症状】上凸凹、出っ歯(上顎前突) |
治療費用 | 検査・診断:税込38,500円/ハーフリンガル矯正:税込1,287,000円 |
治療期間 | 1年8か月(20回) |
抜歯 | 有(上4,4) |
矯正の装置 | ハーフリンガル矯正 |
副作用・リスク | 歯肉退縮,歯根吸収,疼痛,咬合の違和感,装置の違和感,虫歯,歯肉炎 |
年齢層 | 20代 |
---|---|
性別 | 女性 |
主訴 | 【主訴】出っ歯を治したい 【診断・症状】上凸凹、出っ歯(上顎前突) |
治療費用 | 検査・診断:税込38,500円/ハーフリンガル矯正:税込1,287,000円 |
治療期間 | 1年10か月(24回) |
抜歯 | 有(上4,4) |
矯正の装置 | ハーフリンガル矯正 |
副作用・リスク | 歯肉退縮,歯根吸収,疼痛,咬合の違和感,装置の違和感,虫歯,歯肉炎 |
年齢層 | 20代 |
---|---|
性別 | 女性 |
主訴 | 【主訴】出っ歯を治したい 【診断・症状】上下凸凹、出っ歯(上顎前突) |
治療費用 | 検査・診断:税込38,500円/ハーフリンガル矯正:税込1,287,000円 |
治療期間 | 2年(29回) |
抜歯 | 有(上4,4)(下5,5) |
矯正の装置 | ハーフリンガル矯正 |
副作用・リスク | 歯肉退縮,歯根吸収,疼痛,咬合の違和感,装置の違和感,虫歯,歯肉炎 |
年齢層 | 20代 |
---|---|
性別 | 女性 |
主訴 | 【主訴】出っ歯を治したい 【診断・症状】上下凸凹、出っ歯(上顎前突) |
治療費用 | 検査・診断:税込38,500円/裏側矯正治療(リンガル矯正):税込1,397,000円 |
治療期間 | 2年3か月(27回) |
抜歯 | 有(上5,5)(下5,5) |
矯正の装置 | 裏側矯正(舌側矯正) |
副作用・リスク | 歯肉退縮,歯根吸収,疼痛,咬合の違和感,装置の違和感,虫歯,歯肉炎 |
年齢層 | 30代 |
---|---|
性別 | 女性 |
主訴 | 【主訴】出っ歯を治したい 【診断・症状】上下凸凹、口元が出てる |
治療費用 | 検査・診断:税込38,500円/裏側矯正治療(リンガル矯正):税込1,397,000円 |
治療期間 | 約2年9か月(36回) |
抜歯 | 抜歯:有(上4,4) |
矯正の装置 | 裏側矯正(舌側矯正) |
副作用・リスク | 歯肉退縮,歯根吸収,疼痛,咬合の違和感,装置の違和感,虫歯,歯肉炎 |
年齢層 | 30代 |
---|---|
性別 | 女性 |
主訴 | 【主訴】出っ歯を治したい 【診断・症状】上下凸凹、出っ歯(上顎前突) |
治療費用 | 検査・診断:税込38,500円/裏側矯正治療(リンガル矯正):税込1,397,000円 |
治療期間 | 約2年半(33回) |
抜歯 | 有(上4,4、下5,5) |
矯正の装置 | 裏側矯正(舌側矯正) |
副作用・リスク | 歯肉退縮,歯根吸収,疼痛,咬合の違和感,装置の違和感,虫歯,歯肉炎 |
年齢層 | 20代 |
---|---|
性別 | 男性 |
主訴 | 【主訴】出っ歯を治したい 【診断・症状】上下凸凹、出っ歯(上顎前突) |
治療費用 | 検査・診断:税込38,500円/裏側矯正治療(リンガル矯正):税込1,397,000円 |
治療期間 | 約1年半(20回) |
抜歯 | 有(上4,4のみ) |
矯正の装置 | 裏側矯正(舌側矯正) |
副作用・リスク | 歯肉退縮,歯根吸収,疼痛,咬合の違和感,装置の違和感,虫歯,歯肉炎 |
年齢層 | 20代 |
---|---|
性別 | 女性 |
主訴 | 【主訴】出っ歯を治したい 【診断・症状】上下凸凹、開咬、口元が出てる |
治療費用 | 検査・診断:税込38,500円/裏側矯正治療(リンガル矯正):税込1,397,000円 |
治療期間 | 約2年(26回) |
抜歯 | 有(上4,4) |
矯正の装置 | 裏側矯正(舌側矯正) |
副作用・リスク | 歯肉退縮,歯根吸収,疼痛,咬合の違和感,装置の違和感,虫歯,歯肉炎 |
年齢層 | 20代 |
---|---|
性別 | 女性 |
主訴 | 【主訴】出っ歯を治したい 【診断・症状】上下凸凹、出っ歯(上顎前突) |
治療費用 | 検査・診断:税込38,500円/裏側矯正治療(リンガル矯正):税込1,397,000円 |
治療期間 | 約2年半(33回) |
抜歯 | 有(上4,4) |
矯正の装置 | 裏側矯正(舌側矯正) |
副作用・リスク | 歯肉退縮,歯根吸収,疼痛,咬合の違和感,装置の違和感,虫歯,歯肉炎 |