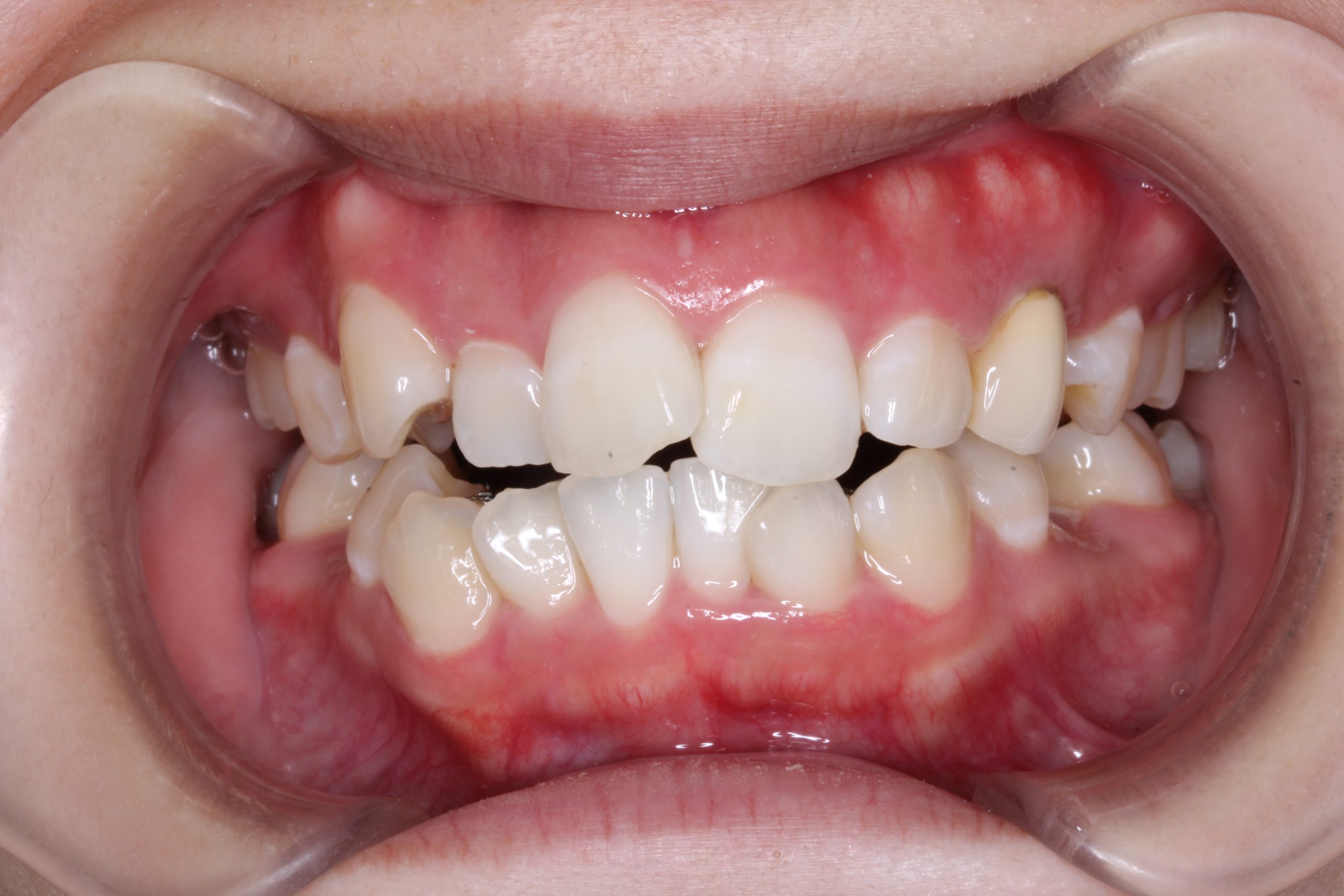
歯の凸凹を治したい(治療期間:1年11か月/通院期間22回)
年齢層 | 20代 |
---|---|
性別 | 女性 |
主訴 | 【主訴】歯の凸凹を治したい 【診断・症状】上下凸凹 |
治療費用 | 検査・診断:税込38,500円/裏側矯正治療(リンガル矯正):税込1,397,000円 |
治療期間 | 1年11か月(22回) |
抜歯 | 有(上5,5)(下5,5) |
矯正の装置 | 裏側矯正(舌側矯正) |
副作用・リスク | 歯肉退縮,歯根吸収,疼痛,咬合の違和感,装置の違和感,虫歯,歯肉炎 |

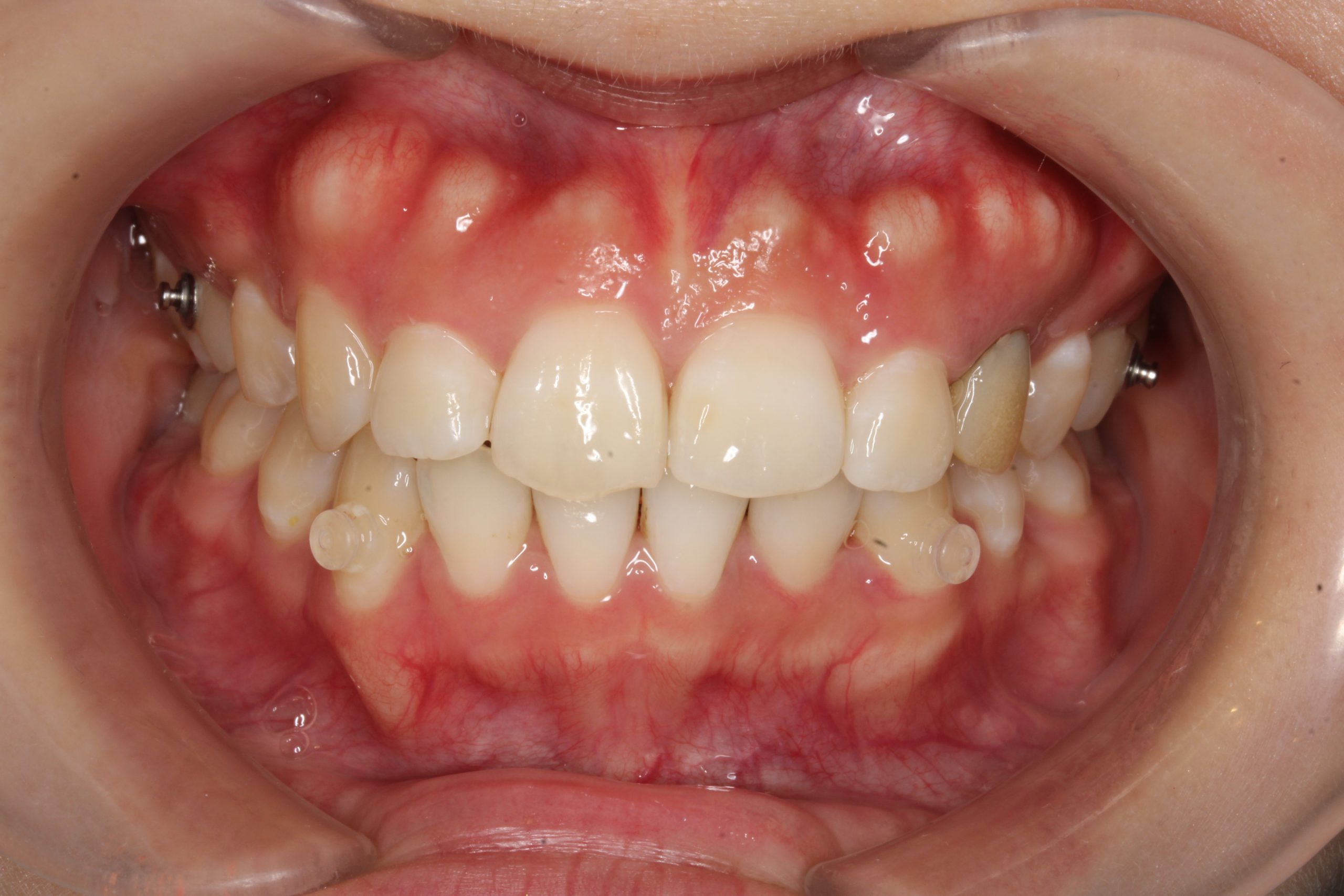
Before

年齢層 | 20代 |
---|---|
性別 | 女性 |
主訴 | 【主訴】歯の凸凹を治したい 【診断・症状】上下凸凹 |
治療費用 | 検査・診断:税込38,500円/裏側矯正治療(リンガル矯正):税込1,397,000円 |
治療期間 | 1年11か月(22回) |
抜歯 | 有(上5,5)(下5,5) |
矯正の装置 | 裏側矯正(舌側矯正) |
副作用・リスク | 歯肉退縮,歯根吸収,疼痛,咬合の違和感,装置の違和感,虫歯,歯肉炎 |
年齢層 | 30代 |
---|---|
性別 | 女性 |
主訴 | 【主訴】歯の凸凹を治したい 【診断・症状】上凸凹 |
治療費用 | 検査・診断:税込38,500円/裏側矯正治療(リンガル矯正):税込1,397,000円 |
治療期間 | 2年11か月(35回) |
抜歯 | 有(上4,4)(下右5) |
矯正の装置 | リンガル矯正 |
副作用・リスク | 歯肉退縮,歯根吸収,疼痛,咬合の違和感,装置の違和感,虫歯,歯肉炎 |
年齢層 | 40代 |
---|---|
性別 | 女性 |
主訴 | 【主訴】出っ歯を治したい【診断・症状】上顎前突 |
治療費用 | 検査・診断:税込38,500円/ハーフリンガル矯正:税込1,287,000円 |
治療期間 | 1年11か月(20回) |
抜歯 | 有(上5) |
矯正の装置 | ハーフリンガル矯正 |
副作用・リスク | 歯肉退縮,歯根吸収,疼痛,咬合の違和感,装置の違和感,虫歯,歯肉炎 |
年齢層 | 20代 |
---|---|
性別 | 女性 |
主訴 | 【主訴】かみ合わせが深い【診断・症状】過蓋咬合 |
治療費用 | 検査・診断:税込38,500円/裏側矯正治療(リンガル矯正):税込1,397,000円 |
治療期間 | 1年4か月(17回) |
抜歯 | 無(非抜歯) |
矯正の装置 | リンガル矯正 |
副作用・リスク | 歯肉退縮,歯根吸収,疼痛,咬合の違和感,装置の違和感,虫歯,歯肉炎 |
年齢層 | 20代 |
---|---|
性別 | 女性 |
主訴 | 【主訴】出っ歯を治したい 【診断・症状】上下凸凹、出っ歯(上顎前突) |
治療費用 | 検査・診断:税込38,500円/ハーフリンガル矯正:税込1,287,000円 |
治療期間 | 2年1か月(25回) |
抜歯 | 有(上4,4)(下4,4) |
矯正の装置 | ハーフリンガル矯正 |
副作用・リスク | 歯肉退縮,歯根吸収,疼痛,咬合の違和感,装置の違和感,虫歯,歯肉炎 |
年齢層 | 20代 |
---|---|
性別 | 男性 |
主訴 | 【主訴】出っ歯を治したい 【診断・症状】上下凸凹、出っ歯(上顎前突) |
治療費用 | 検査・診断:税込38,500円/裏側矯正治療(リンガル矯正):税込1,397,000円 |
治療期間 | 1年6か月(18回) |
抜歯 | 有(上4,4)(下4,4) |
矯正の装置 | 裏側矯正(舌側矯正) |
副作用・リスク | 歯肉退縮,歯根吸収,疼痛,咬合の違和感,装置の違和感,虫歯,歯肉炎 |
年齢層 | 20代 |
---|---|
性別 | 女性 |
主訴 | 【主訴】出っ歯を治したい 【診断・症状】上下凸凹、出っ歯(上顎前突) |
治療費用 | 検査・診断:税込38,500円/ハーフリンガル矯正:税込1,287,000円 |
治療期間 | 1年6か月(21回) |
抜歯 | 有(上4,4)(下4,4) |
矯正の装置 | ハーフリンガル矯正 |
副作用・リスク | 歯肉退縮,歯根吸収,疼痛,咬合の違和感,装置の違和感,虫歯,歯肉炎 |
年齢層 | 30代 |
---|---|
性別 | 女性 |
主訴 | 【主訴】噛み合わせが深い 【診断・症状】過蓋咬合 |
治療費用 | 検査・診断:税込38,500円/裏側矯正治療(リンガル矯正):税込1,397,000円 |
治療期間 | 1年(11回) |
抜歯 | 無 |
矯正の装置 | リンガル矯正 |
副作用・リスク | 歯肉退縮,歯根吸収,疼痛,咬合の違和感,装置の違和感,虫歯,歯肉炎 |
年齢層 | 20代 |
---|---|
性別 | 女性 |
主訴 | 【主訴】出っ歯を治したい 【診断・症状】出っ歯(上顎前突) |
治療費用 | 検査・診断:税込38,500円/裏側矯正治療(リンガル矯正):税込1,397,000円 |
治療期間 | 1年7か月(19回) |
抜歯 | 有(上4,4) |
矯正の装置 | リンガル矯正 |
副作用・リスク | 歯肉退縮,歯根吸収,疼痛,咬合の違和感,装置の違和感,虫歯,歯肉炎 |
年齢層 | 20代 |
---|---|
性別 | 女性 |
主訴 | 【主訴】出っ歯を治したい 【診断・症状】上凸凹、出っ歯(上顎前突) |
治療費用 | 検査・診断:税込38,500円/ハーフリンガル矯正:税込1,287,000円 |
治療期間 | 2年(24回) |
抜歯 | 有(上4,4)(下5,5) |
矯正の装置 | ハーフリンガル矯正 |
副作用・リスク | 歯肉退縮,歯根吸収,疼痛,咬合の違和感,装置の違和感,虫歯,歯肉炎 |
年齢層 | 20代 |
---|---|
性別 | 女性 |
主訴 | 【主訴】出っ歯を治したい 【診断・症状】上凸凹、出っ歯(上顎前突) |
治療費用 | 検査・診断:税込38,500円/ハーフリンガル矯正:税込1,287,000円 |
治療期間 | 1年6か月(17回) |
抜歯 | 有(上4,4) |
矯正の装置 | ハーフリンガル矯正 |
副作用・リスク | 歯肉退縮,歯根吸収,疼痛,咬合の違和感,装置の違和感,虫歯,歯肉炎 |
年齢層 | 20代 |
---|---|
性別 | 女性 |
主訴 | 【主訴】上の歯が出ている 【診断・症状】出っ歯(上顎前突) |
治療費用 | 検査・診断:税込38,500円/ハーフリンガル矯正:税込1,287,000円 |
治療期間 | 1年5か月(16回) |
抜歯 | 有(上4,4) |
矯正の装置 | ハーフリンガル矯正 |
副作用・リスク | 歯肉退縮,歯根吸収,疼痛,咬合の違和感,装置の違和感,虫歯,歯肉炎 |
年齢層 | 20代 |
---|---|
性別 | 女性 |
主訴 | 【主訴】かみ合わせが深い・歯の凸凹を治したい【診断・症状】過蓋咬合・上下凸凹 |
治療費用 | 検査・診断:税込38,500円/裏側矯正治療(リンガル矯正):税込1,397,000円 |
治療期間 | 1年7か月(19回) |
抜歯 | 有(上4,4) |
矯正の装置 | 裏側矯正(舌側矯正) |
副作用・リスク | 歯肉退縮,歯根吸収,疼痛,咬合の違和感,装置の違和感,虫歯,歯肉炎 |
年齢層 | 20代 |
---|---|
性別 | 女性 |
主訴 | 【主訴】出っ歯を治したい 【診断・症状】上凸凹、出っ歯(上顎前突) |
治療費用 | 検査・診断:税込38,500円/ハーフリンガル矯正:税込1,287,000円 |
治療期間 | 1年8か月(20回) |
抜歯 | 有(上4,4) |
矯正の装置 | ハーフリンガル矯正 |
副作用・リスク | 歯肉退縮,歯根吸収,疼痛,咬合の違和感,装置の違和感,虫歯,歯肉炎 |
年齢層 | 20代 |
---|---|
性別 | 女性 |
主訴 | 【主訴】八重歯が気になる 【診断・症状】上凸凹 |
治療費用 | 検査・診断:税込38,500円/ハーフリンガル矯正:税込1,287,000円 |
治療期間 | 1年8か月(20回) |
抜歯 | 有(上4,4) |
矯正の装置 | ハーフリンガル矯正 |
副作用・リスク | 歯肉退縮,歯根吸収,疼痛,咬合の違和感,装置の違和感,虫歯,歯肉炎 |
年齢層 | 20代 |
---|---|
性別 | 女性 |
主訴 | 【主訴】歯の凸凹を治したい 【診断・症状】上凸凹 |
治療費用 | 検査・診断:税込38,500円/ハーフリンガル矯正:税込1,287,000円 |
治療期間 | 1年(12回) |
抜歯 | 有(上4,4) |
矯正の装置 | ハーフリンガル矯正 |
副作用・リスク | 歯肉退縮,歯根吸収,疼痛,咬合の違和感,装置の違和感,虫歯,歯肉炎 |
年齢層 | 20代 |
---|---|
性別 | 女性 |
主訴 | 【主訴】かみ合わせが深い【診断・症状】過蓋咬合 |
治療費用 | 検査・診断:税込38,500円/裏側矯正治療(リンガル矯正):税込1,397,000円 |
治療期間 | 1年5か月(26回) |
抜歯 | 有(上4,4) |
矯正の装置 | 裏側矯正(舌側矯正) |
副作用・リスク | 歯肉退縮,歯根吸収,疼痛,咬合の違和感,装置の違和感,虫歯,歯肉炎 |
年齢層 | 20代 |
---|---|
性別 | 女性 |
主訴 | 【主訴】出っ歯を治したい 【診断・症状】上凸凹、出っ歯(上顎前突) |
治療費用 | 検査・診断:税込38,500円/ハーフリンガル矯正:税込1,287,000円 |
治療期間 | 1年10か月(24回) |
抜歯 | 有(上4,4) |
矯正の装置 | ハーフリンガル矯正 |
副作用・リスク | 歯肉退縮,歯根吸収,疼痛,咬合の違和感,装置の違和感,虫歯,歯肉炎 |
年齢層 | 10代 |
---|---|
性別 | 女性 |
主訴 | 【主訴】開咬を治したい 【診断・症状】開咬(オープンバイト) |
治療費用 | 検査・診断:税込38,500円/ハーフリンガル矯正:税込1,287,000円 |
治療期間 | 1年半経過(20回) |
抜歯 | 有(上4,4)(下4,4) |
矯正の装置 | ハーフリンガル矯正 |
副作用・リスク | 歯肉退縮,歯根吸収,疼痛,咬合の違和感,装置の違和感,虫歯,歯肉炎 |