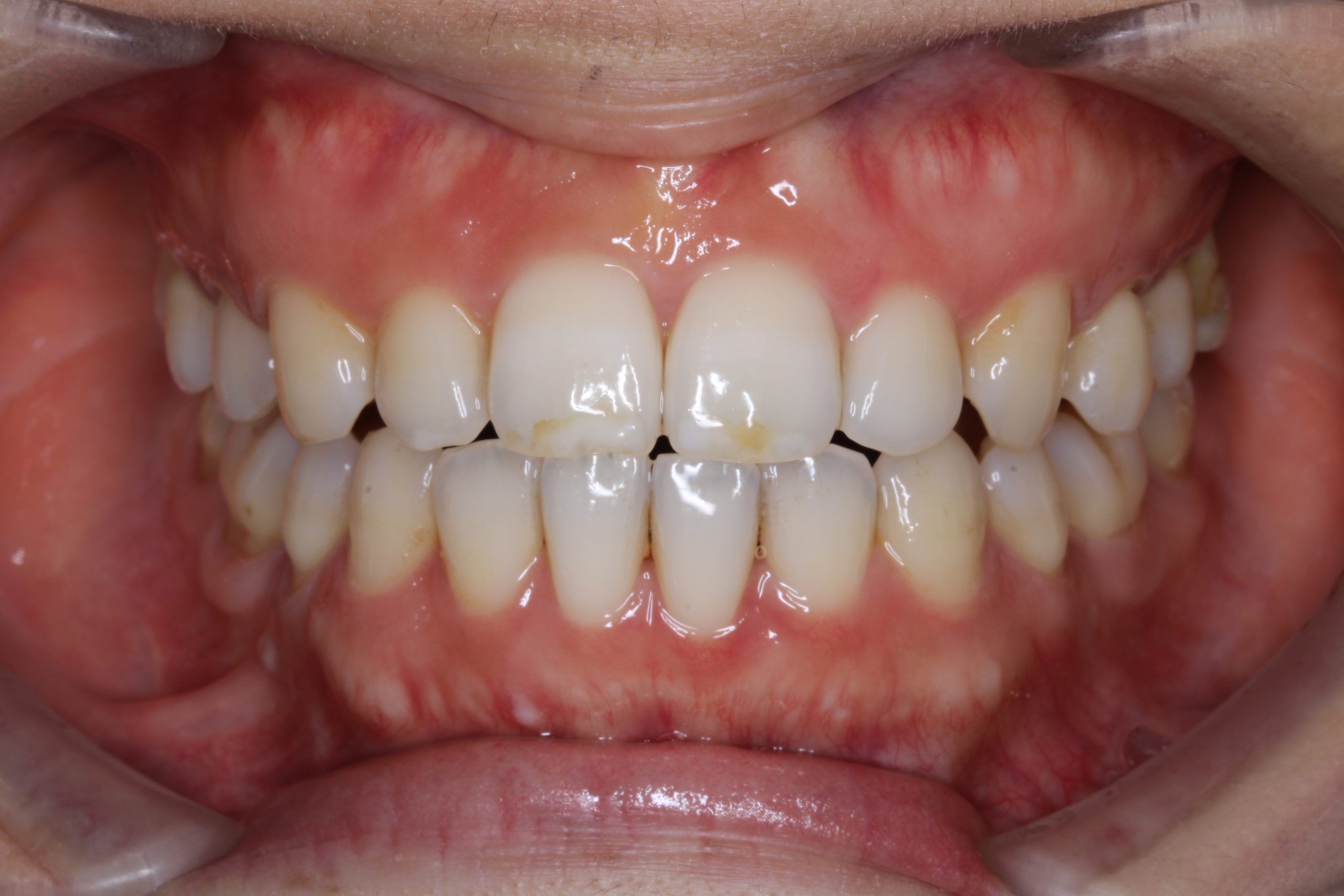
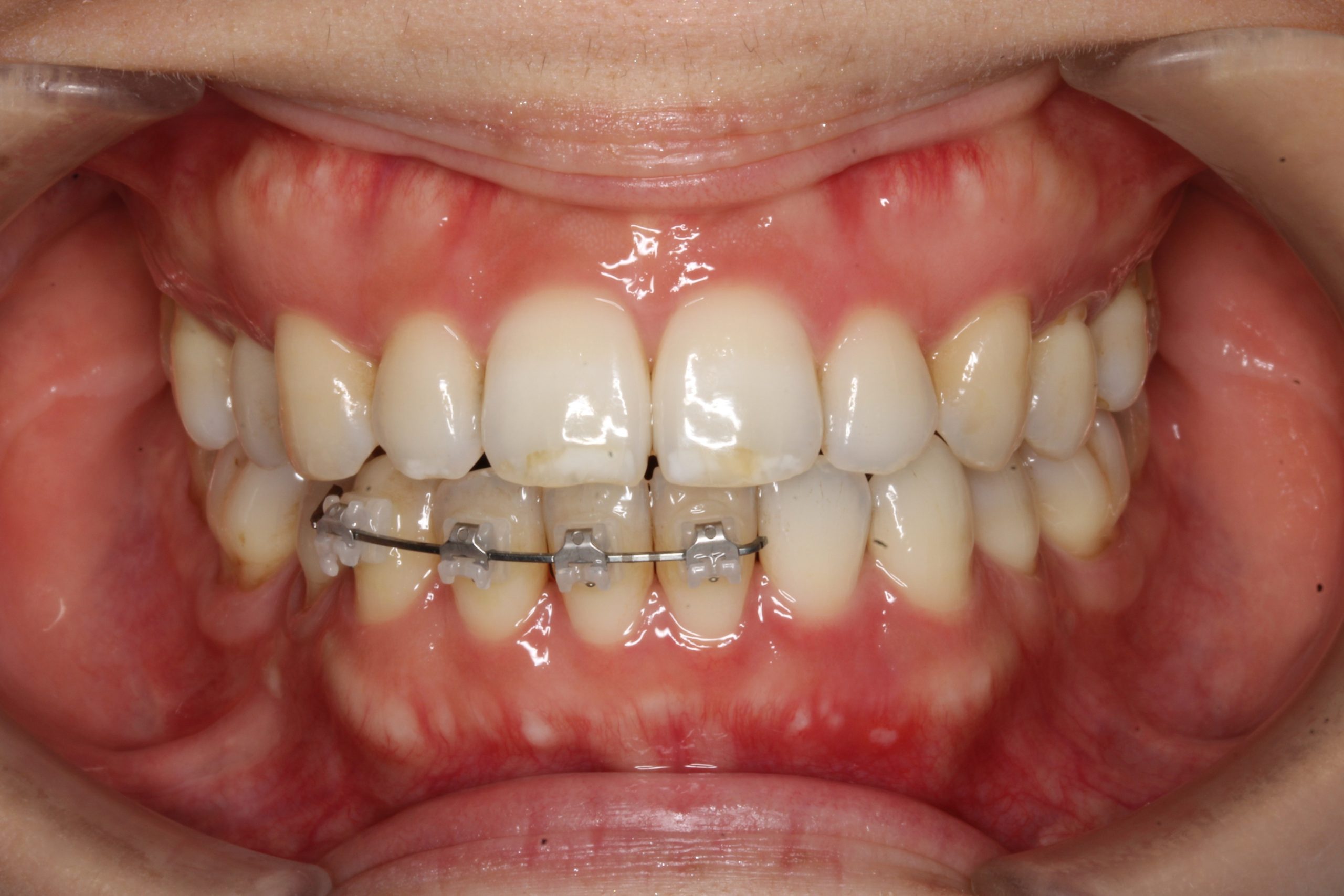
歯の凸凹を治したい(通院期間:7カ月/通院9回)
年齢層 | 30代 |
---|---|
性別 | 女性 |
主訴 | 【主訴】歯の凸凹を治したい 【診断・症状】上下凸凹 |
治療費用 | 検査・診断:税込38,500円/裏側矯正治療(リンガル矯正):税込1,397,000円 |
治療期間 | 7か月(9回) |
抜歯 | 無(非抜歯) |
矯正の装置 | リンガル矯正 |
副作用・リスク | 歯肉退縮,歯根吸収,疼痛,咬合の違和感,装置の違和感,虫歯,歯肉炎 |

Before

年齢層 | 30代 |
---|---|
性別 | 女性 |
主訴 | 【主訴】歯の凸凹を治したい 【診断・症状】上下凸凹 |
治療費用 | 検査・診断:税込38,500円/裏側矯正治療(リンガル矯正):税込1,397,000円 |
治療期間 | 7か月(9回) |
抜歯 | 無(非抜歯) |
矯正の装置 | リンガル矯正 |
副作用・リスク | 歯肉退縮,歯根吸収,疼痛,咬合の違和感,装置の違和感,虫歯,歯肉炎 |
年齢層 | 20代 |
---|---|
性別 | 女性 |
主訴 | 【主訴】かみ合わせが深い【診断・症状】過蓋咬合 |
治療費用 | 検査・診断:税込38,500円/裏側矯正治療(リンガル矯正):税込1,397,000円 |
治療期間 | 1年4か月(17回) |
抜歯 | 無(非抜歯) |
矯正の装置 | リンガル矯正 |
副作用・リスク | 歯肉退縮,歯根吸収,疼痛,咬合の違和感,装置の違和感,虫歯,歯肉炎 |
年齢層 | 30代 |
---|---|
性別 | 女性 |
主訴 | 【主訴】かみ合わせが深い【診断・症状】過蓋咬合 |
治療費用 | 検査・診断:税込38,500円/裏側矯正治療(リンガル矯正):税込1,397,000円 |
治療期間 | 1年4カ月(17回) |
抜歯 | 非抜歯 |
矯正の装置 | 裏側矯正(舌側矯正) |
副作用・リスク | 歯肉退縮,歯根吸収,疼痛,咬合の違和感,装置の違和感,虫歯,歯肉炎 |
年齢層 | 20代 |
---|---|
性別 | 女性 |
主訴 | 【主訴】歯の凸凹を治したい【診断・症状】上下凸凹 |
治療費用 | 検査・診断:税込38,500円/裏側矯正治療(リンガル矯正):税込1,397,000円 |
治療期間 | 1年(14回) |
抜歯 | 有(上2,2)(下5,5) |
矯正の装置 | 裏側矯正(舌側矯正) |
副作用・リスク | 歯肉退縮,歯根吸収,疼痛,咬合の違和感,装置の違和感,虫歯,歯肉炎 |
年齢層 | 20代 |
---|---|
性別 | 男性 |
主訴 | 【主訴】出っ歯を治したい 【診断・症状】上下凸凹、出っ歯(上顎前突) |
治療費用 | 検査・診断:税込38,500円/裏側矯正治療(リンガル矯正):税込1,397,000円 |
治療期間 | 1年6か月(18回) |
抜歯 | 有(上4,4)(下4,4) |
矯正の装置 | 裏側矯正(舌側矯正) |
副作用・リスク | 歯肉退縮,歯根吸収,疼痛,咬合の違和感,装置の違和感,虫歯,歯肉炎 |
年齢層 | 30代 |
---|---|
性別 | 女性 |
主訴 | 【主訴】噛み合わせが深い 【診断・症状】過蓋咬合 |
治療費用 | 検査・診断:税込38,500円/裏側矯正治療(リンガル矯正):税込1,397,000円 |
治療期間 | 1年(11回) |
抜歯 | 無 |
矯正の装置 | リンガル矯正 |
副作用・リスク | 歯肉退縮,歯根吸収,疼痛,咬合の違和感,装置の違和感,虫歯,歯肉炎 |
年齢層 | 20代 |
---|---|
性別 | 女性 |
主訴 | 【主訴】出っ歯を治したい 【診断・症状】出っ歯(上顎前突) |
治療費用 | 検査・診断:税込38,500円/裏側矯正治療(リンガル矯正):税込1,397,000円 |
治療期間 | 1年7か月(19回) |
抜歯 | 有(上4,4) |
矯正の装置 | リンガル矯正 |
副作用・リスク | 歯肉退縮,歯根吸収,疼痛,咬合の違和感,装置の違和感,虫歯,歯肉炎 |
年齢層 | 20代 |
---|---|
性別 | 女性 |
主訴 | 【主訴】かみ合わせが深い・歯の凸凹を治したい【診断・症状】過蓋咬合・上下凸凹 |
治療費用 | 検査・診断:税込38,500円/裏側矯正治療(リンガル矯正):税込1,397,000円 |
治療期間 | 1年7か月(19回) |
抜歯 | 有(上4,4) |
矯正の装置 | 裏側矯正(舌側矯正) |
副作用・リスク | 歯肉退縮,歯根吸収,疼痛,咬合の違和感,装置の違和感,虫歯,歯肉炎 |
年齢層 | 20代 |
---|---|
性別 | 女性 |
主訴 | 【主訴】かみ合わせが深い【診断・症状】過蓋咬合 |
治療費用 | 検査・診断:税込38,500円/裏側矯正治療(リンガル矯正):税込1,397,000円 |
治療期間 | 1年5か月(26回) |
抜歯 | 有(上4,4) |
矯正の装置 | 裏側矯正(舌側矯正) |
副作用・リスク | 歯肉退縮,歯根吸収,疼痛,咬合の違和感,装置の違和感,虫歯,歯肉炎 |
年齢層 | 20代 |
---|---|
性別 | 女性 |
主訴 | 【主訴】歯の凸凹を治したい 【診断・症状】上下凸凹 |
治療費用 | 検査・診断:税込38,500円/裏側矯正治療(リンガル矯正):税込1,397,000円 |
治療期間 | 2年(27回) |
抜歯 | 有(上4,4)(下右下4,左下5) |
矯正の装置 | 裏側矯正(舌側矯正) |
副作用・リスク | 歯肉退縮,歯根吸収,疼痛,咬合の違和感,装置の違和感,虫歯,歯肉炎 |
年齢層 | 20代 |
---|---|
性別 | 女性 |
主訴 | 【主訴】かみ合わせが深い【診断・症状】過蓋咬合 |
治療費用 | 検査・診断:税込38,500円/裏側矯正治療(リンガル矯正):税込1,397,000円 |
治療期間 | 2年3か月(40回) |
抜歯 | 有(上4,4) |
矯正の装置 | 裏側矯正(舌側矯正) |
副作用・リスク | 歯肉退縮,歯根吸収,疼痛,咬合の違和感,装置の違和感,虫歯,歯肉炎 |
年齢層 | 20代 |
---|---|
性別 | 女性 |
主訴 | 【主訴】開咬を治したい 【診断・症状】開咬(オープンバイト) |
治療費用 | 検査・診断:税込38,500円/裏側矯正治療(リンガル矯正):税込1,397,000円 |
治療期間 | 1年(11回) |
抜歯 | 非抜歯 |
矯正の装置 | 裏側矯正(舌側矯正) |
副作用・リスク | 歯肉退縮,歯根吸収,疼痛,咬合の違和感,装置の違和感,虫歯,歯肉炎 |
年齢層 | 20代 |
---|---|
性別 | 女性 |
主訴 | 【主訴】出っ歯を治したい 【診断・症状】上下凸凹、出っ歯(上顎前突) |
治療費用 | 検査・診断:税込38,500円/裏側矯正治療(リンガル矯正):税込1,397,000円 |
治療期間 | 2年3か月(27回) |
抜歯 | 有(上5,5)(下5,5) |
矯正の装置 | 裏側矯正(舌側矯正) |
副作用・リスク | 歯肉退縮,歯根吸収,疼痛,咬合の違和感,装置の違和感,虫歯,歯肉炎 |
年齢層 | 20代 |
---|---|
性別 | 女性 |
主訴 | 【主訴】かみ合わせが深い【診断・症状】過蓋咬合 |
治療費用 | 検査・診断:税込38,500円/裏側矯正治療(リンガル矯正):税込1,397,000円 |
治療期間 | 2年3か月(27回) |
抜歯 | 無(非抜歯) |
矯正の装置 | 裏側矯正(舌側矯正) |
副作用・リスク | 歯肉退縮,歯根吸収,疼痛,咬合の違和感,装置の違和感,虫歯,歯肉炎 |
年齢層 | 20代 |
---|---|
性別 | 女性 |
主訴 | 【主訴】歯の凸凹を治したい 【診断・症状】上下凸凹 |
治療費用 | 検査・診断:税込38,500円/裏側矯正治療(リンガル矯正):税込1,397,000円 |
治療期間 | 約2年2か月(25回) |
抜歯 | 有(上4,4)(下右下4,左下5) |
矯正の装置 | 裏側矯正(舌側矯正) |
副作用・リスク | 歯肉退縮,歯根吸収,疼痛,咬合の違和感,装置の違和感,虫歯,歯肉炎 |
年齢層 | 20代 |
---|---|
性別 | 男性 |
主訴 | 【主訴】すきっ歯を治したい 【診断・症状】空隙歯列 |
治療費用 | 検査・診断:税込38,500円/裏側矯正治療(リンガル矯正):税込1,397,000円 |
治療期間 | 1年5か月(19回) |
抜歯 | 無(非抜歯) |
矯正の装置 | 裏側矯正(舌側矯正) |
副作用・リスク | 歯肉退縮,歯根吸収,疼痛,咬合の違和感,装置の違和感,虫歯,歯肉炎 |
年齢層 | 20代 |
---|---|
性別 | 女性 |
主訴 | 【主訴】歯の凸凹を治したい 【診断・症状】上下凸凹 |
治療費用 | 検査・診断:税込38,500円/裏側矯正治療(リンガル矯正):税込1,397,000円 |
治療期間 | 2年7か月(27回) |
抜歯 | 有(上4,4) |
矯正の装置 | 裏側矯正(舌側矯正) |
副作用・リスク | 歯肉退縮,歯根吸収,疼痛,咬合の違和感,装置の違和感,虫歯,歯肉炎 |
年齢層 | 20代 |
---|---|
性別 | 女性 |
主訴 | 【主訴】歯の非対称を治したい 【診断・症状】右下2番先天欠損、上下凸凹、顎が曲がっている |
治療費用 | 検査・診断:税込55,000円/サージェリーファースト(裏側矯正):税込2,090,000円(+外科費用 約200万)(※外科代につきましては別途かかります) |
治療期間 | 約2年半(33回) |
抜歯 | 無(非抜歯) |
矯正の装置 | 裏側矯正(舌側矯正) |
副作用・リスク | 歯肉退縮,歯根吸収,疼痛,咬合の違和感,装置の違和感,虫歯,歯肉炎 |
年齢層 | 30代 |
---|---|
性別 | 男性 |
主訴 | 【主訴】歯の凸凹を治したい 【診断・症状】上下凸凹 |
治療費用 | 検査・診断:税込38,500円/裏側矯正治療(リンガル矯正):税込1,397,000円 |
治療期間 | 約3年半(45回) |
抜歯 | 有(上4,4、左下4) |
矯正の装置 | 裏側矯正(舌側矯正) |
副作用・リスク | 歯肉退縮,歯根吸収,疼痛,咬合の違和感,装置の違和感,虫歯,歯肉炎 |